第四次全国口腔健康流行病学调查显示,12岁儿童恒牙龋患率为34.5%,比十年前上升了7.8个百分点。5岁儿童乳牙龋患率为70.9%,比十年前上升了5.8个百分点。农村高于城市。儿童患龋情况已呈现上升态势。

什么是奶瓶龋?
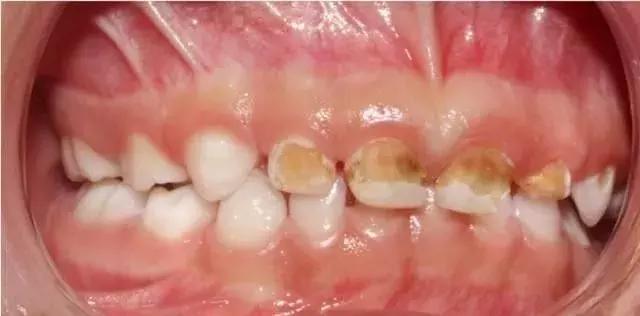
奶瓶龋最初在上颌乳切牙的唇面龈缘处出现白垩色斑点或带状脱矿,而后逐渐向下向旁边蔓延,侵蚀邻近的牙面形成环状龋,呈棕褐色,并最终发生牙冠折断,仅留下残根。

需要说明的是孩子牙齿脱矿,就需要使用护牙素,护牙素能够帮助重建牙釉质缺损失 ,降低牙本质敏感 ,为高龋齿风险和有特殊需要的人群提供专业牙齿保护,吞咽安全。

奶瓶龋的发生不仅使乳牙的切割功能大大降低,而且随着病变加重,会引起牙髓及牙根尖病变,这时孩子会感到剧烈疼痛或牙龈肿胀、流脓,严重的还会影响恒牙的发育。
让孩子抱着奶瓶,就去上床睡觉,几周,几个月下来就会这样,妈咪不重视也不去医院治疗。。。

一旦因龋蚀严重无法治疗,而将乳牙过早拔除,就会引起恒牙萌出秩序错乱甚至恒牙不齐,给孩子的牙齿发育带来不良影响。因此,一旦发现孩子有奶瓶龋的迹象,应及早带孩子去医院诊治。

为预防龋齿,从宝宝1岁开始,就要逐渐减少使用奶瓶的次数,最晚不超过1岁半。戒断奶瓶时可改用鸭嘴杯代,之后再过渡到水杯。
如何预防奶瓶龋
下面是几种保护我们孩子的牙齿避免奶瓶龋的方法、
1、首先使幼儿戒除用奶瓶吸奶诱导入睡的习惯,如果在孩子睡觉时必须使用奶瓶,只用白水!
2、不要将牛奶、果汁或其他甜水如软饮料放入奶瓶,这些液休都含有蔗糖,会危害孩子的牙齿。
3、一周岁后停止使用奶瓶,可训练用杯子喝奶,喝完奶后可再给少量白开水。
4、让孩子养成喝白开水的习惯,以稀释口内及牙间隙残留的奶汁而起到清洁口腔的作用。
5、使用牙线清洁乳牙邻面,每日至少一次。
6、孩子长出第一颗乳牙后,就应开始为孩子刷牙。最好是饭后和睡觉前进行,每日至少两次。
7、三岁以下儿童也可用儿童含氟牙膏刷牙(重点是牙膏的量是米粒大小,这样程度的量即便吞咽下去也不会对孩子造成伤害。),三~六岁必须选用儿童含氟牙膏(牙膏用量是豌豆大小)。
8、控制幼儿每次使用奶瓶的时间,一般限在10~15分钟以内,千万不要让孩子含着奶瓶睡觉。
9、从孩子长出第一颗乳牙后开始,应每隔3个月就带孩子去医院检查一次牙齿。
10、六岁之前都应该由家长帮孩子刷牙。(那些幼儿园有龋齿的,并不是没有刷牙,而是没有认真仔细到位的刷牙,完全达不到刷牙的效果,所以尽管刷了,但还是龋了。)
如何正确刷牙
从出第一颗牙开始就要刷牙,用婴儿的指套牙刷和儿童牙刷。一定要培养孩子刷牙习惯,告诉孩子刷牙的重要性。建议每天2次,午睡前也可以刷1次。
●巴氏刷牙法
首先把牙膏均匀地涂抹在牙齿表层。牙刷和牙齿呈45°角,牙刷压进牙龈沟,轻轻用力,震颤几下,然后向下把东西都刷出来。

在牙面上打圈,可以按照一定的顺序来,不要忘了后牙的窝沟哦。

刷牙时间要大于2分钟,家长要给宝宝准备含氟牙膏:三岁以内牙膏不超过米粒大小;三岁以上牙膏有黄豆大小即可。