不知何时起,烤瓷牙已经风靡一时,受到很多人的追捧,但在追捧的同时,很多人都对烤瓷牙可谓是又爱又恨,最初烤瓷牙可以帮助缺损的牙齿得到修复,有了它缺损牙齿变完整了似乎也有些变美了,每次微笑都能够展现出自信的笑容。但是时间久了,有部分的人的烤瓷牙开始变了,一点点露出黑色的牙龈线,还有一些人的烤瓷牙甚至产生崩坏的现象,甚至还产生了更为严重的口腔疾病,很多人在烤瓷牙"变质"期间由爱生恨。

烤瓷牙变质的真相
然而受人追捧的烤瓷牙为什么会出现这种现象呢?其实这是由于早期做的烤瓷牙技术并不完善,早期烤瓷牙的内冠材料大多采用金属材料,在烤瓷牙的内部这种金属是不易透光的,光线不能在烤瓷牙的内部很好的折射到达烤瓷牙颈部,时间一久,便产生暗淡发黑的情况。除此之外,部分廉价的烤瓷牙材质因具有金属化学性质不稳定而产生发黑的状态。同时还跟医生的技术有关,如果技术不到位,烤瓷牙没有完美契合牙龈留有缝隙,那么就会产生磨损牙龈,产生黑线,使得烤瓷牙变质。
所以并不是所有的烤瓷牙安装后就可以肆意放任不管它了,需要随时观察佩戴烤瓷牙后的情况,发现有情况就及时治疗止损。


如果出现以下几种情况,你需要尽快拆除你的烤瓷牙。
黑线隐隐约约的出现了
这种现象是佩戴烤瓷牙最常见的一种,很多人在选择烤瓷牙的材质时,价格便宜的往往是首选,但殊不知一分价钱一分货,一些非贵金属的烤瓷牙的材质不能在口腔环境中完美的适应,长期佩戴后,会与口腔内部的唾液与食物产生有色的氧化物,而从外观上看,牙龈处慢慢的发黑,好像出现了一条一条的黑线,远看就像牙缝变大了一样,不仅非常难看,若不及时拆除,这种黑色的氧化物会慢慢的造成牙齿疾病,产生严重的牙龈炎、牙周炎,甚至产生严重的疼痛。


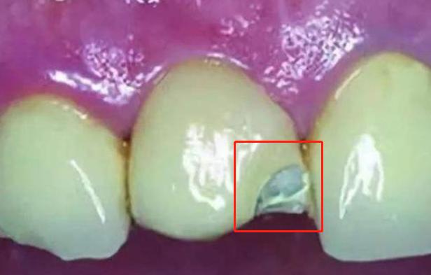
突然间崩瓷了
所谓崩瓷,就是在佩戴烤瓷牙的一段时间后,烤瓷牙突然掉了一块,严重影响美观,在崩瓷之后,烤瓷牙内部金属外露,时间久了会与口腔中的唾液食物残渣产生化学反应,影响身体健康,不仅如此,在烤瓷牙崩瓷之后,有时还产生内部刮伤流血现象,所以如果有一天你的烤瓷牙崩瓷了,那么就意味着它宣布下岗了,不必再挽留了,否则受伤生病产生牙齿疼痛的都是你在承受。


出现龋齿
佩戴烤瓷牙之前是健康的牙齿,在佩戴烤瓷牙之后,牙齿慢慢变成龋齿,这时你需要注意了,也许你的烤瓷牙在佩戴的过程中产生了问题,你需要及时的去医生那里做一个完备的检查,视情况而定。
众多周知,在佩戴烤瓷牙的时候要经历磨牙、做牙模、佩戴牙冠等过程,在这些过程中都需要精确的操作,如若产生一点差错,就会导致烤瓷牙与真牙之间不能紧密结合,那么这就意味着,烤瓷牙佩戴失败了,因为接下来,是一场牙齿的灾难。由于烤瓷牙与真牙之间存在缝隙,每次进食,细菌有了良好的繁衍基地,同时还是清洁死角,无法完全清理干净,它们慢慢腐蚀真牙,形成龋齿。这时,请不要在意烤瓷牙是否好看,请立即拆除,不然接下来将会面对一口坏牙的局面。

牙齿比之前变得敏感了
配戴烤瓷牙之后,突然感觉牙齿变敏感了,这种情况常常被忽视,但是也需要被重视,出现这种情况一般跟在烤瓷牙制备的过程中速度过快使牙髓造成轻微损伤。需要提醒大家的是,在佩戴烤瓷牙之前需要仔细检查牙齿状况,保证牙周牙龈健康的情况下再佩戴烤瓷牙,如果牙龈红肿、出现萎缩的状况,需要及时拆除。
牙齿整齐在微笑时会展现出自信的笑容,但牙齿健康更为重要,因为牙齿会陪伴我们很久,并且是不可缺少的,在爱美的同时,记得时刻保护好它。
