本文转自微信公众号:肺结节前沿
作者简介:张勇,复旦大学附属中山医院呼吸科副主任医师、博士。擅长肺部结节的人工智能(AI)良恶性鉴别、疑难肺部结节的鉴别诊断、肺部磨玻璃结节(GGN)的定性与分级(腺瘤增生-原位癌-微浸润-浸润性腺癌)、肺部磨玻璃结节的浸润风险评估,手术时机的选择、肺部结节的磁导航支气管镜活检及微创消融、肺部肿瘤的诊治(靶向,免疫,放化疗)。
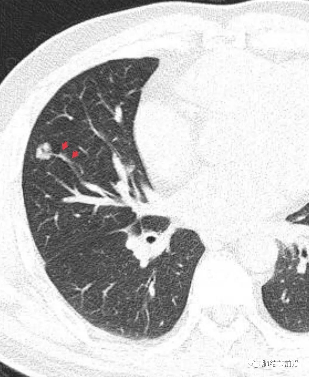
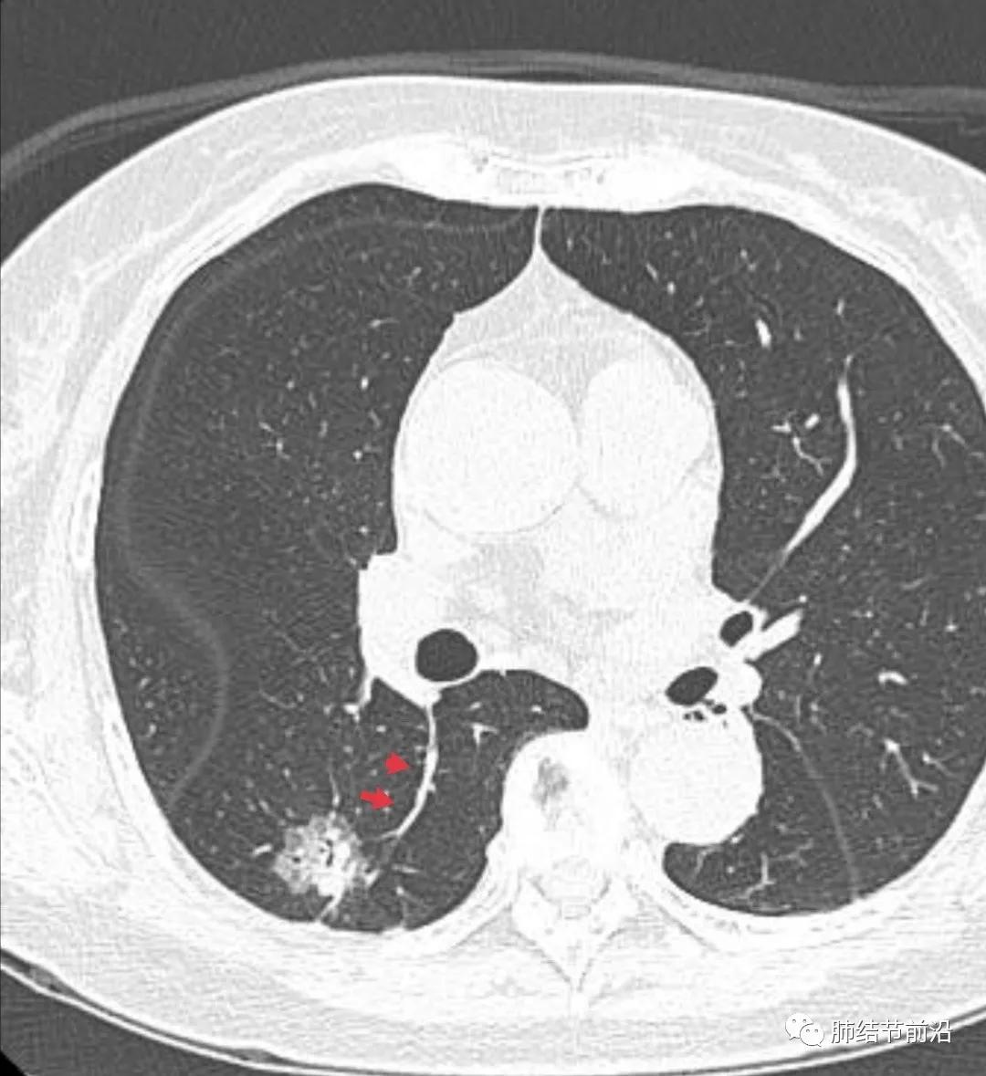
肿瘤组织需要氧供,新生血管是肿瘤的特征之一。传统的鉴别肺结节良恶性的标准之一就是血管集束征。然而在磨玻璃结节释放的血管生成因子并不强烈,新生血管不明显。则表现为诱导血管弯曲,出现明显有别于正常血管的弯曲现象,并向结节生长,称之为"血管弯"。这是肿瘤性磨玻璃/半实性结节很常见的特异性现象,出现这种表现,诊断磨玻璃/半实性结节为早期肺癌十拿九稳。“血管弯”名词引用自武汉市人民医院谭先华主任。
病例1:血管弯曲

病例2:血管弯曲

病例3

病例4

病例5:明显的血管弯曲指向病灶

“血管弯”是肿瘤血管征之一,在早期磨玻璃结节中多见。也是张国祯教授所说“血管移动-联通”中的血管移动表现。也和华山医院张鼎教授所说“蜻蜓点水征”类似。我还是觉得武汉市第五人民医院的谭先华主任所说“血管弯”最为形象。
另外,“血管弯”也可以用于鉴别原位癌和微浸润腺癌。出现这种征象,说明肿瘤已经超过了原位腺癌,至少处于微浸润腺癌阶段,有今后生长加速的风险。
下期预告:肺结节读片(4)实性结节没有毛刺,是好事还是坏事?