上了年纪不仅眼皮慢慢往下掉,原来的双眼皮直接塌成内双,眼袋问题也越来越严重。每天都没心情照镜子,老是用"老了都是这个样子"来安慰自己。身边有个朋友和我的情况差不多,前段时间去做了眼袋和提眉,看起来真是年轻了好多,我就"心动"了。

手术方案:提切眉 + 经下睑緣切口中面部提升术
可能有些求美者对"经下睑緣切口中面部提升术"不是很了解,事实上,它综合眼袋术和经颞部切口的中面部提升术各自的优点,通过下睑缘切口达到修复眼袋,轻微变浅鼻唇沟,恢复面部年轻化的一种手术方法。

(术后10天眼周改善后反馈图)

(术后10天中下面部改善后反馈图)
是不是显年轻了好多?
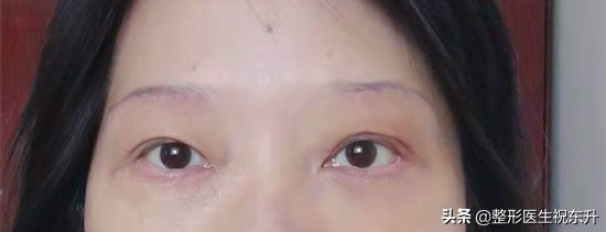
现在已经把线拆掉了,自我感觉变化蛮大的,淤青、肿胀之类的都消退了很多,但是还是能看到一点痕迹,不过问题不大。
现在眼睛已经不怎么肿了,虽然没完全恢复,我对这个结果还是很满意的。
其实,手术之前我对疤痕问题比较担心,毕竟是在脸上动刀,不知道术后疤痕会不会很明显。没想到手术做的这般精致。现在双眼皮也能看到了,眼睛变好看了不少,法令纹也有所改善,说实话自我感觉年轻了好几岁。
之前还怕会影响视力什么的,真的是多虑了,我朋友也说我这个手术做的挺好的。改变真的挺大的。
至于术后护理注意事项:
术后护理遵守医嘱就没事,饮食上多吃富含蛋白质的食品和水果、蔬菜。注意休息,保证足够的睡眠,术后一周内不要过度用眼。
避免剧烈运动,不能撞击到伤口。洗脸也要注意,不能碰到水,以免影响创口愈合。
欲了解更多提切眉、祛眼袋的相关问题,可关注头条号:整形医生祝东升。