爱美之人人皆有之,随着社会的不断发展,我们对美观的要求也渐渐提高,一口整齐洁白的牙齿会给你加分不少,但生活中避免不了磕磕碰碰,一不小心玩闹,游玩时,甚至运动时,总会有些意外,磕到牙齿什么的,一个不经意就会让我们进入牙齿缺失的队伍中,那么到底什么是牙齿缺失呢?牙体缺失到底有什么影响呢?缺失后又应该怎样修复呢?这些问题马上一一为您解答!

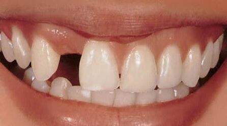
牙齿缺失顾名思义,可以大概理解为"先天或后天的因素导致牙齿数目变少",常见的缺牙原因是外伤和龋齿,还有一种是先天缺失某一颗牙,不过先天的缺失不多见,最常见的是前牙缺失,就是大家常说的门牙磕掉了,牙齿缺失不仅对美观有很大的影响,而且还对面容,口腔状况带来很大的影响。

某颗牙缺失,两侧牙齿会向缝隙里倾斜,会让牙齿的缝隙慢慢变大,牙齿的缺失,也会让对侧的牙齿伸长,这样一来,不仅不利于我们咀嚼食物,时间久了还会造成食物嵌塞,慢慢的颞下颌关系也会紊乱,甚至还会引起颞下颌关节的疾病,咀嚼效率不高,直接产生影响的就是我们的消化系统了,而且门牙缺失会对美观造成很大的影响,这样看来牙齿缺失的坏处还是蛮多的,这时您可能想问了,如果某颗牙齿缺失,怎么办呢?有什么好方法可以修复一下呢?

目前市面上牙体缺失的修复方法大概分为两类:传统修复和种植修复。传统修复一般分为活动义齿或者固定义齿,活动义齿不用磨除太多的牙体组织,但异物感明显,咀嚼效率一般,相比固定义齿,咀嚼效率高,异物感弱,但需要磨除较多的牙体组织,正常情况下需要磨除相邻两颗牙,部分病人可能牙髓敏感,修复前还需做根管治疗,传统修复方式由于长时间对牙槽骨的刺激,隔几年需重新去医院检查义齿就位是否完好,或者是否需要更换。

种植修复最早是从瑞士引进过来的,传到中国也有几十年的时间了,种植技术相对比较成熟,种植义齿在口腔界一直被誉为"第三副牙齿",它异物感小,磨碎食物效率高,当然,不会损耗其他牙齿,大大提高了生活质量,种植义齿通常情况下使用人工材料植入牙槽骨模拟牙根,上方通过其他固位方式固位牙冠,从而可以取代真牙,使用效果更佳,不过唯一缺点是价格稍高。
与传统修复相比,种植价格高一些,但使用感是最佳的,没有异物感,也不需要磨除其他牙齿,咀嚼效率大大提高。


以上是给大家介绍的牙齿缺失,牙齿也是我们身体的一部分,也是消化道的入口,牙齿不仅可以帮我们磨碎食物,一口洁白整齐的牙齿也为我们加分不少,每一颗牙都有它存在的意义,都有不一样的功能和作用,所以牙齿不能少哦,一口好牙不仅可以为我们形象加分,更重要的是它的功能,所以,从今天开始让我们一起保护好牙齿吧,保持好口腔卫生,定期检查牙齿,牙齿黑点等问题尽早解决,认真刷牙,饭后漱口,只有保护好牙齿,才不会缺失哦!
