老王是一位62岁的前列腺增生患者,进入中年以后老王就一直有排尿的问题。当然老王属于 能“熬”能“忍”的那一类 ,从有夜尿次数增加症状开始,老王一直就没有到医院就诊过。直至此次单位体检, 发现肾功能指标中肌酐772μmol/L时 ,他才意识到可能身体出现了大问题。最先老王认为肾功能问题,首先选择了肾内科就诊。 但是最后诊断为“前列腺增生”,老王才第一次意识到,原来这是前列腺增生的问题。

采取治疗方式并不是前列腺增生的治疗,反而先选择了 “血液透析” !
当得知要进行 血液透析的时候 ,老王那一瞬间崩溃了,他很后悔,为什么不早日去看!
那今天我们就一起来看看 “前列腺增生最终会会怎么样?会血液透析吗?往往是自己拖出来的”。
前列腺增生最终会进展到什么阶段?
前列腺增生随着病程延长,慢慢的膀胱为了克服排尿的阻力,逼尿肌增强开始出现代偿性的肥大, 但这并不是真正的增强肌肉,而是平滑肌纤维增生 。慢慢的膀胱形态就开始出现了变化,增生的肌束纵横交错,成为粗大的网状结构。也就是彩超中经常能看到的一个描述,叫 膀胱小梁小室形成。

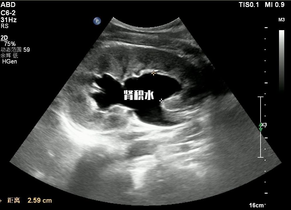
在这一过程中,膀胱内的压力开始增高, 当导致输尿管末端的活瓣作用丧失的时候,就会发现膀胱输尿管反流。就会逐步加重肾积水,慢慢的开始肾功能损害。

由于这一病程变化是一种慢性的过程,这个时候患者往往没有腰疼或者其他的不适,所以很多患者真当发现的时候, 往往肾功能已经受到不可逆的损伤! 甚至有部分患者需要接受血液透析治疗!

什么是血液透析?
血液透析现在也是越来越常见了, 我国目前现有慢性肾脏病患者1.2亿!全球有9.1%的人口患有慢性肾脏病, 这其中有一部分患者会进展到终末期肾脏病。而对于终末期的患者血液透析、腹膜透析和肾移植就是主要的治疗方式。这其中血液透析是更为主要的治疗方式。全球血液透析人数超过260万,预计2030年人数还会翻一番。

血液透析是指 应用物理、化学或免疫等方法清除体内过多水分及血中代谢废物、毒物、自身抗体、免疫复合物等致病物质,同时补充人体所需的电解质和碱基,以维持机体水、电解质和酸碱平衡。
前列腺增生一旦需要透析是不是没治了?
和肾内科因为肾病需要终生透析不同的是, 前列腺增生导致肾功能损伤是因为有了肾积水,才导致了肾功能损伤。所以前列腺增生导致的是肾后性的肾功能损伤。
当患者正确面对前列腺增生, 采取解除梗阻的相关操作后, 当肾积水情况缓解后,一般患者的肾功能都能得到不同程度的恢复。

但是否能让肾功能完全恢复正常,还是取决于肾脏损伤的时间!
最后在这里给大家一个很重要的忠告,那就是即使你再不愿意接受前列腺增生的手术甚至口服药物治疗,也希望你能做到定期监测,避免出现肾积水的情况。一旦出现肾积水,请立即积极处理!
我是韶云鹏医生,一个专注医学科普的医生,如果文章对您或身边人有用,感谢点赞关注转发,谢谢!#谣零零计划#
(此处已添加医疗卡片,请到*今条头日**客户端查看)