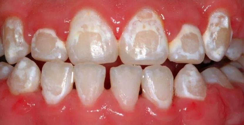
我相信许多做牙齿矫正的朋友,特别是那些用铁丝做正畸的朋友,在除去牙套后发现他们的牙齿整齐,但是牙齿周围,尤其是托槽周围,有白色斑点或小斑点。

牙齿表面的这些白垩斑点或牙斑是脱矿物质的牙齿。
为什么牙齿会脱矿质并产生白点?
牙齿表面的最外层是牙釉质,一种高度矿化的硬组织。如果不及时清洁牙齿,牙菌斑会积聚在牙齿表面。
当您进食时,食物中的糖会遇到牙菌斑中的细菌。细菌利用糖释放出腐蚀牙齿的酸。这些酸使牙齿珐琅质脱矿质。

牙釉质由排列紧密的羟基磷灰石晶体组成。当发生蛀牙时,牙釉质中的钙和磷会丢失,并且搪瓷中的孔会增加,从而改变蛀牙区域的折射率。

此外,蛀牙区域本身的表面相对较粗糙,在照射时光线会散射得更多,并且牙齿表面的颜色变成白色的粉笔样污点(粉笔),这就是我们通常所说的白点和白色斑点。

我们从牙齿表面看到的是牙齿的颜色变化。但是,在显微镜下,固体结构(牙釉质的结晶-羟基磷灰石的溶解)在牙齿表面下秘密地改变。这是蛀牙恶梦的根源。

不管有什么后果呢?
如果您认为这些白色斑点只是在让牙齿的颜值的降低了,那么问题并不大,因此您无动于衷。
那你错了,牙齿脱矿质实际上是用肉眼可以看到的最小龋齿状态,也是龋齿的前兆。我们必须从源头上防止牙齿腐烂,并及时处理牙齿上的白斑。当然,最好从一开始就注意口腔清洁,尤其是在正畸期间,一定要使用氟化物牙膏。您也可以每月去牙医处涂一次氟防护漆,这样可以大大降低这种情况的风险。

正畸的朋友们,不要将口腔卫生不当的后果归咎于托槽胶。支架用特殊的搪瓷胶固定,以将支架固定在清洁的牙齿表面上大约2年,对牙齿是没有伤害的。

正畸期间如何清洁牙齿入口→正畸期间如何有效刷牙(有视频和图片真相)
根据牙齿上的白斑,儿童是否缺钙尚不能准确判断,儿科医生应检查和判断,不要盲目补充钙。

父母可以做的是帮助他们的孩子上小学刷牙。儿童的小肌肉发育可能要到六,七岁时才会成熟。即使他们似乎正在用牙刷刷牙,也可能无法清洁刷牙。父母必须记住,每天睡觉前,他们必须帮助孩子彻底清洁牙齿,定期检查口腔并使用氟化物以保持孩子的口腔健康。
已经长出的白斑怎么治?
再矿化治疗
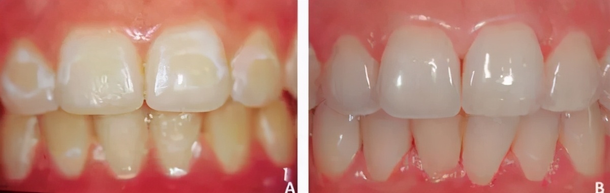
通常,去除牙套后,患者可以彻底清洁牙齿,并且唾液中的钙和磷离子可以使白垩化斑点矿化。临床上,氟化物和牙齿保护剂用于促进白垩斑的再矿化。大多数白垩斑在3个月内已得到明显改善,如果3个月后仍未消失,可以考虑进行以下治疗。

①牙齿漂白
使背景变白,并使白色斑点看起来不那么白。牙齿漂白是一种使用漂白剂作用在牙齿上以改变牙齿颜色的治疗方法。漂白和微粉碎的组合应用可以达到良好的美学效果。但是,牙齿漂白后可能会出现牙齿敏感性,因此必须考虑美白反弹。

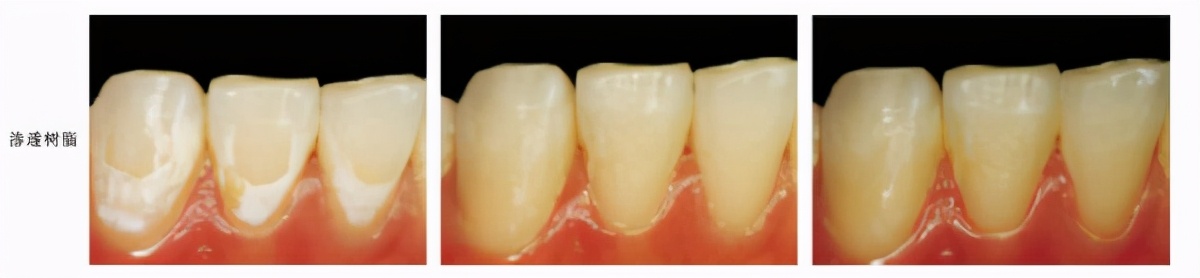
②树脂渗透
渗透树脂是一种牙齿的填充材料。它是一种可渗透到牙釉质中的液体树脂,不仅对病变表面形成了一种屏障,可阻止酸性物质侵入病变内部。它既美观又易于操作,花费时间短,治疗后即刻出现效果,但就诊次数却更多。

与其他方法相比,树脂渗透技术的侵入性更小,可以保留更多的牙齿组织,使其成为首选的治疗方法。但是,许多诊所和医院可能没有这种材料,并且对医生的要求相对较高。
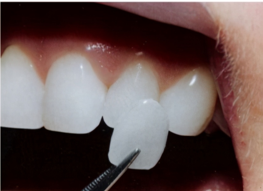
③ 贴面修复
如果颜色变化太严重而无法影响外观,也可以做修复贴面。当然,具体治疗方法需要医生具体分析情况。

我提醒大家仔细刷牙,特别是如果在括号内看到白色斑点,则必须注意这一点,掌握正确的刷牙方法,使用氟化物牙膏,并仔细刷牙以防止牙齿继续发育。
如果觉得这篇文章不错,就请收藏或分享给好友吧。添加雅悦齿科为好友,学习更多爱牙护齿科学方法。公众号:yyck2001