椎管狭窄是怎么回事呢?
脊柱的中央有椎管,椎管容纳着脊髓。脊髓上连大脑,下连各种感受器及肌肉等,传递各种信息给大脑,又将大脑发布的各种“命令”传递到外周,因而脊髓有着重要的功能。如果脊髓损伤,则会引起脑不能控制横断而以下的肢体运动,出现肢体功能障碍。

什么是椎管狭窄?
椎管狭窄主要是由于椎间盘突出以及椎管先天发育不良而导致椎管内容积小于正常值,椎管本身或神经根内径狭窄,脊神经或马尾神经收到压迫,从而出现一系列临床症状的一种疾病。

椎管狭窄的本质
椎管狭窄的本质其实就是容纳脊髓的空间发生的变化,狭窄的意思就是空间、容积变小了,压迫神经或神经,引起缺血、缺氧性改变,导致脊髓或神经支配的区域出现运动、感觉异常。可以比喻本来很宽敞的房间住的很舒服,当居住的空间变小了,自然就有拥挤、压抑的感觉,肯定觉得不舒服。
椎管狭窄的分类
为什么椎管会变小呢?按照病因分为以下几类。
1、先天性椎管狭窄(发育性或特发椎管狭窄)。
2、后天性椎管狭窄(获得性椎管狭窄)
1)退变性椎管狭窄,最常见。由于椎间盘、骨、关节退行性变及其继发改变所致的狭窄。
2)脊椎滑脱:由于先天性或后天性因素引起峡部断裂而继发。
3)损伤性:损伤后骨折脱位后引起椎管狭窄。



临床症状
1、颈椎椎管狭窄
(1)头晕,头痛,颈部疼痛,多为酸痛、胀痛。四肢的感觉麻木,上肢放射痛,可有放电样及烧灼样疼痛。
(2)肢体活动、大小便功能障碍、四肢无力、肌肉萎缩,严重狭窄轻微外力影响下可出现截瘫、大小便*禁失**等。会阴区麻木,性功能下降。
2、胸椎椎管狭窄
(1)胸背部疼痛,疼痛常持续难以缓解。椎管狭窄节段以下躯干感觉麻木,常出现束带感。双下肢肢体感觉麻木、无力。
(2)因胸椎管解剖结构较颈椎管及腰椎管狭窄,因此下肢麻木、无力症状出现较早。步态出现不稳、跛行。
3、腰椎椎管狭窄
(1)疼痛、肌体无力腰椎管狭窄常见于反复发作的腰背部疼痛,臀部及下肢放射痛,随后出现下肢麻木无力,肌肉萎缩。疼痛性质多种多样,可为酸痛、麻痛、胀痛、放电样及烧灼样疼痛。
(2)马尾神经受压症状。小便不净,大便不能自控,会阴区麻木,性功能下降。
(3)间歇性跛行。这是椎管狭窄的特征性表现。走路时出现间歇跛行,站立或蹲坐休息后好转。
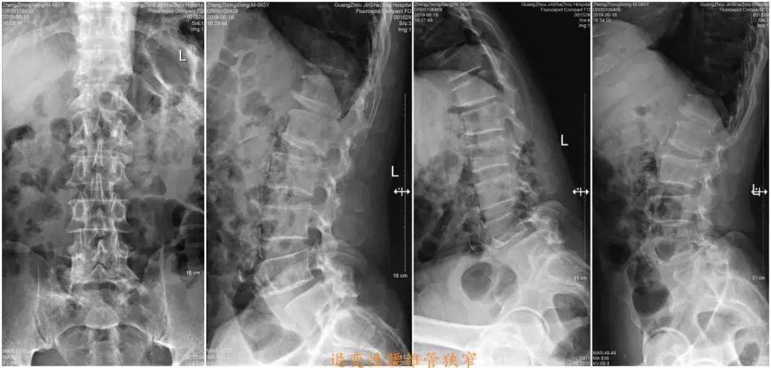
影像学检查



治疗
1、急性期适当卧床休息,一般2-3周。
2、理疗、牵引、止痛药与舒筋活络药物均可酌情使用。
3、手术治疗:对于椎管狭窄的治疗是针对脊柱骨骼结构的治疗。
1)手术指征:症状较重者,经过半年以上非手术治疗无效,影响正常生活和工作。或有明确的神经传导障碍,尤其是某些肌肉无力和萎缩。
2)椎板切除、神经根减压是基本的手术方式。




如果有椎管狭窄症或者其他骨病问题,可以在评论或者私信告诉我,出诊之余会抽空为大家回复。