“什么,矫正还要拔牙?”
“拔牙矫治后还会有缝么?”
“还需要镶牙么?”
在正畸门诊中,
当医生建议拔牙矫正时,
患者及家长常常会提出这样的疑问,
今天我们就来聊聊
正畸拔牙后牙缝的那些事儿。
矫正为什么要拔那么多牙?

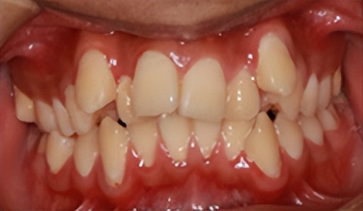
需拔牙矫治的牙齿拥挤病例
现代人随着食物精细程度的增加,咀嚼运动不断减少,咀嚼肌肉退化,颌骨也变小,没有足够的空间容纳所有的牙齿,易造成牙齿的错位拥挤。
再加上东方人面型的特点,大约有60%-70%的人群需要通过拔牙来提供空间排齐牙列,内收前牙,改善侧貌。


矫正经典拔牙模式: 拔除上下左右4颗双尖牙
为了实现矫治后上下牙列能有良好的尖窝咬合关系,通常上下牙列都需要拔牙。尽管有些病例看上去排齐牙列或内收前牙需要的间隙并不多,但是为了达到矫治后牙弓的左右对称,上下中线居中对齐,所以需要左右两侧同时拔牙。
因此,临床最常规的矫治方案是上下左右各拔除一颗双尖牙,共4颗牙齿。当然,如果口腔内恰恰有龋坏或缺失的牙齿,医生则会根据诊断分析的结果调整拔牙方式。
拔牙矫治后还有缝么?
还需要镶牙么?



随着牙齿移动、拔牙间隙完全关闭
一般来说,正畸拔牙以后的间隙可以被两个方面的牙齿移动所关闭,一方面前牙向后移动,另一方面是后牙向前移动。
根据模型测量和X线影像分析结果,如果牙列拥挤严重或前突,则需要拔牙间隙更多的用于前牙往后移动;如果后牙咬合关系不佳,则通过后牙更多地向前移动来调整。
正畸医生通过矫治器的作用有效控制牙齿移动,最终将拔牙间隙完全关闭,因此是不需要镶牙的。
拔这么多牙齿会有影响吗?
牙缝关闭后还会复发么?

科学正确的拔牙矫正不会影响健康,相反,拔牙矫正可以将错位的牙齿排齐,牙齿直立于牙槽骨,有利于牙齿的健康,矫治后尖窝交错的咬合能够提高咀嚼效率。


矫治结束需戴的几种保持器类型
拔牙间隙关闭,咬合精细调整后牙套可以拆除,但这并不意味着矫治的结束。牙齿虽然移动到了理想的位置,但是牙齿周围的骨骼和纤维韧带的变化还没有结束,牙齿有退回到原来位置的趋势,所以在牙套拆除后应遵医嘱需佩戴保持器,定期复查,否则易复发,又未被及时发现,牙缝有可能重新出现。
专家名片

姓名:李志华
科室:口腔正畸二科
职称:主任医师、教授,博士生导师
专长:儿童及成人口腔错合畸形的综合性矫治,尤其擅长伴有成人牙周病患及颞下颌关节紊乱症患者的正畸治疗、成人骨性错颌畸形的正畸治疗。
坐诊时间:院本部周三下午、周六上午;世贸路门诊部周二晚上。
专家名片

姓名:葛红珊
科室:口腔正畸二科
职称:主任医师、副教授,硕士生导师。
专长:成人和青少年各类错合畸形的诊治、早期错合畸形的预防矫治以及正畸与牙周、修复、种植、口外等多学科的联合诊疗。
坐诊时间:院本部周二下午、周五上午;世贸路门诊部周四下午。
作者:南昌大学附属口腔医院正畸二科 李坤
通讯员:熊晨溪 陈尚文
编辑:黄萌楣
审校:陈师睿
核发:谢涛
图片:本文部分图片来源于网络,版权归原作者所有,如有侵权请联系我们删除。