
3个病例,8副图,带你读懂腹水……
作者丨朱小三 戴益琛 陈章兴 厦门大学附属成功医院 消化内科
来源丨医学界消化肝病频道
腹水又称腹腔积液,指因某些疾病所引起的腹腔内液体积聚过多,临床工作中经常碰到腹水的患者。引起腹水的原因较多,如肝硬化、结核性腹膜炎、恶性肿瘤、胰源性腹水等。正因腹水病因的多样性,临床诊断难易程度不尽相同。简单的腹水病例往往原因很快被明确诊断,但有些病例有时绞尽脑汁都找不到形成腹水的确切病因。对患者而言,同为腹水,但有时命运迥异。今天我给大家带来三份病例,诊断难易程度不等,将诊疗思维和体会跟大家一起分享。
1 病例1
患者男性,65岁,农民,2016年10月因腹胀就诊厦门市某三甲医院,门诊诊断“功能性消化不良”,予枸橼酸莫沙必利片及米曲菌胰酶片治疗后腹胀稍好转。2017年1月再次出现腹胀,遂再次就诊,门诊行腹部彩超检查提示腹腔积液,当时因患者儿媳生孩子家里繁忙未及时住院治疗。2017年2月自觉腹胀进行性加重伴纳差,无畏寒、发热,无咳嗽、咳痰,无腹痛、腹泻、黑便,遂就诊我院,门诊拟“腹水原因待查”收住我科。
患者30年前因胃溃疡出血在当地医院行远端胃大部切除术;平素无乙肝、酗酒及疫区疫水接触史。入院查体:腹膨,无压痛、反跳痛,移动性浊音阳性。
辅助检查
外院胃镜检查见吻合口粘膜充血水肿,残胃未见溃疡及肿物,如图1;
胸片未见异常;
腹部CT提示腹盆腔中量积液,初步考虑结核可能,如图2;
肠镜检查未见明显异常,如图3;
血常规、生化全套、肿瘤指标、肝炎病毒学指标、自身抗体谱均未见明显异常;
抗结核抗体弱阳性、血沉27mm/1小时末;
结核斑点试验阳性:ESAT-6 (抗原A )18×10^5 PMNCS、CFP-10 (抗原B)0×10^5 PMNCS;
腹水常规+生化提示Rivalta试验阳性、淡黄色、微混、白细胞计数1172、红细胞计数500、腹水蛋白53.4 g/L、ADA 7.5 U/L、腹水淀粉酶、CEA均正常;
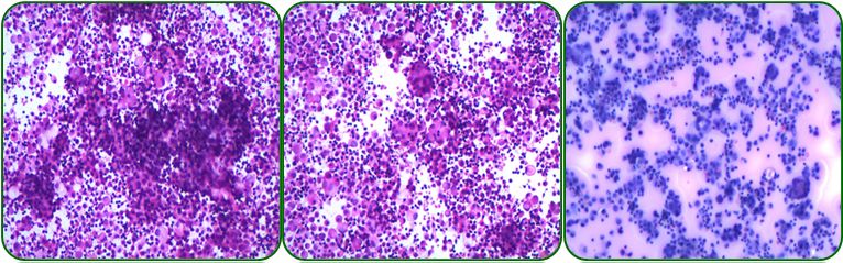
腹水培养及找肿瘤细胞未见异常,如图4。

图1 胃镜检查

图2 腹部CT检查

图3 肠镜检查

图4 腹水脱落细胞学检查
2 病例2
患者男性,28岁,于2016年06月初无明显诱因出现上腹部闷胀,进行性加重,无畏寒、发热,无恶心、呕吐,无腹痛、腹泻、黑便,于2016年07月初就诊我院,腹部彩超提示腹腔积液,门诊拟“腹腔积液”收住我科,病程中饮食、睡眠差,大小便正常。
既往无特殊阳性病史;查体:右下肺呼吸音低,可闻及少许湿性啰音,腹膨隆,全腹无压痛、反跳痛及腹肌紧张,肋下未及肝脾,移动性浊音阳性。
辅助检查
肺部及腹部CT提示右侧胸腔大量积液,右肺中下叶局限性膨胀不全、左肺上叶前段小结节影、纵隔稍肿大淋巴结、腹腔大量积液、盆腔少量积液、肝胆脾、胰腺及双肾CT平扫未见明显异常征象,如图5;
心电图及心脏彩超未见异常;
生化全套提示ADA 42.3 U/L、白蛋白 32.1 g/L、Na+ 133 mmol/L;
血常规、大便常规、血沉、肿瘤标记物、自身抗体谱未见异常;
腹水常规+生化提示Rivalta试验阳性、颜色淡黄、单个核细胞计数1159、红细胞计数2000、腹水蛋白46 g/L、ADA 63.3 U/L、腹水CEA正常;
腹水多次培养及找肿瘤细胞均未见异常。

图5 胸部及腹部CT检查
3 病例3
患者女性,29岁,患者于2010年06月23日无明显诱因出现上腹部胀痛,进食后明显,疼痛与体位及心情变化无关,不向他处放射,伴恶心、反酸,无呕吐、呕血,无腹泻、黑便,遂就诊厦门市某三甲医院,诊断“功能性消化不良”,予奥美拉唑、莫沙比利、多酶片治疗后症状无好转,遂行腹部彩超检查提示腹腔积液,为进一步诊治,遂就诊我院,门诊拟“腹腔积液”收住院。病程中饮食及睡眠差,大小便正常,近期体重有增加,具体不详。
既往无特殊阳性病史;查体:腹稍膨,剑突下轻压痛,无反跳痛及肌紧张,肝脾肋下未触及,移动性浊音阳性。
辅助检查
血常规示中性粒细胞76.9%、血红蛋白104 g/L、白细胞6.25×10^9 /L;
生化全套、血沉、大便常规未见异常;
胃镜、肠镜未见异常,如图6;
肺部CT提示双肺纹理增多、左侧胸腔少量积液,如图7a-b;
腹部彩超示腹腔积液,如图7c。

图6 胃镜、肠镜检查

图7 胸部CT及腹部彩超检查
临床思维分析
这3例腹水患者诊断看似简单,但诊断起来还是有点费力,首发症状均为腹胀,门诊因腹胀前来就诊的患者较为常见,大部分患者的确是功能性消化不良。但有两种情况的腹胀患者需要医生高度警惕:
1. 患者腹水量较少,腹胀症状轻,相关检查未做,这时临床医生容易出现漏诊、误诊,按照功能性消化不良给予治疗;
2. 患者不愿意配合医生的检查,就诊时直接要求医生开点药吃,甚至直接点名要吃某某药,医生被患者牵着鼻子,服药后疗效欠佳或者停药后腹胀加重。
这两种情况实属不妥,需要临床医生仔细判断,完善腹部的检查,这是对患者的负责、也是对自己的保护。
例1患者第1次门诊就诊时被当作功能性消化不良给予治疗,症状加重后再次门诊就诊时行腹部彩超提示腹腔积液,但因为患者家中有急事耽误住院进一步检查,1个月后腹胀厉害才就诊我院,入院后围绕腹水展开鉴别诊断。诊断依然遵循常见病到少见病的临床思维。
肝硬化腹水是我们首先该考虑的疾病,但患者既往无肝炎、疫区疫水、长期酗酒等病史,且入院后查体肋下未触及脾脏、无蜘蛛痣、肝掌及脐周“海蛇头”样改变,肝炎病毒学检查、肝功能未见异常;腹部CT也未见肝硬化征象,因此首先排除肝硬化。
结核性腹膜炎也是常见引起腹水的原因。该例患者入院后行抗结核抗体弱阳性、血沉稍快,尤其腹部CT报告提示结核腹水可能,乍看上去很像结核性腹膜炎。我们临床医生给患者诊断疾病,不能用“可能”或者“很像”等等词汇,需要确切告诉患者你的病就是某某病。
再仔细询问病史患者近期无午后低热、咳嗽咳痰、盗汗等结核中毒征象,患者也无与开放型肺结核患者接触,胸片未见结核灶,因此结核性腹膜炎诊断依据不足,需要进一步对腹水检查。
腹水多次找结核杆菌及抗酸染色均未发现结核杆菌,判断结核另一个常用的指标为腺苷脱氨酶,又称ADA,其广泛存在人体各种组织中,以胸腺、脾脏及其它淋巴组织中含量较高,血液及腹水中ADA主要存在于红细胞、淋巴细胞中,T淋巴细胞含量最高,结核引起的腹水患者ADA活性显著增高,可能是结核性腹水中T淋巴细胞被结核分支杆菌激活,从而导致ADA活性升高,但该患者腹水ADA及血清ADA均正常。
为此,我们进一步行结核斑点实验检查,结果为阳性,结核斑点试验目前在临床应用较多,其为判断有无结核感染的一个重要指标,结核斑点试验敏感性95.3-98.8%、特异性94.1-100%,这样的数据我们不能轻易排除结核感染。本例患者有结核感染不支持的点,也有支持结核感染的依据,如此高的特异性和敏感性的结核斑点实验阳性,我们没有理由不考虑该患者为结核性腹膜炎。
为此,我们进一步行PPD试验,24小时、48小时和72小时的结果均为阴性。结核斑点试验和PPD试验结果冲突,查阅文献后了解结核斑点试验的意义有三种情况,其一:患者体内正感染结核杆菌;其二:患者既往有结核菌感染,经过治疗后好转;其三:患者体内感染结核杆菌,目前结核杆菌处于休眠状态。对照该患者的临床表现及实验室影像学检查以及上述分析,不考虑正在感染结核杆菌,由此可见结核斑点试验临床意义有限。综上所述,该患者不考虑结核性腹膜炎引起的腹腔积液。
近年来胰性腹水的报道越来越多,胰性腹水形成的常见原因为胰腺假性囊肿与腹膜腔相通或者破裂的假性囊肿与胰管相交通,但该患者无胰腺炎病史、腹水淀粉酶正常,腹部CT未见胰腺囊肿等改变,因此胰性腹水诊断依据不足,暂不考虑胰性腹水。
据统计约有60%腹水为癌性腹水,那么该例患者是不是癌性腹水呢?癌性腹水常见原因有:消化道来源、泌尿生殖道及其它原发灶来源等。首先消化道来源:多见消化道恶性肿瘤腹膜转移导致的腹水,本例患者胃肠镜检查、腹部CT未见消化道恶性肿瘤;血清及腹水CEA均正常,暂不考虑消化道肿瘤;泌尿生殖道来源:多见肾癌、前列腺癌、膀胱癌等;患者尿常规未见血尿、血TPSA、FPSA正常;腹部CT未见泌尿系占位,多次腹水未找到癌细胞,因此暂不考虑泌尿系来源的肿瘤,那么有没有可能是恶性淋巴瘤、腹膜间皮瘤或者其它的肿瘤。
除了恶性肿瘤引起的腹水外,会不会是少见的疾病,如梅格氏综合征、乳糜性腹水、布-加综合征、结缔组织病等。
梅格氏综合征:患者多为女性,一般有三大病症,盆腔肿瘤(绝大多数是卵巢纤维瘤)、腹水、胸水,肿瘤破裂可出现血性腹水,该例为男性患者,腹部CT未见盆腔实质性占位,因此不考虑梅格氏综合征。
乳糜性腹水:一般为丝虫病性肉芽肿、淋巴结结核、肿瘤、外伤等阻塞或压迫胸导管与乳糜池所致,乳糜液为白色液体,但该患者腹水颜色非白色,腹水常规未见乳糜样物质,暂不考虑乳糜性腹水。
布-加综合征:由于各种原因所致的肝静脉和邻近的下腔静脉狭窄闭塞,肝静脉和下腔静脉血液回流障碍,产生肝大及疼痛、腹水,肝脏功能障碍等临床表现,需行腹部血管CTA检查明确,该患者无腹痛、肝功能检查正常、腹部CT未见肝增大,综合分析亦不考虑布-加综合征。
结缔组织病:询问病史患者无口腔溃疡、脱发、关节肿痛、皮损改变等,且自身抗体谱未见异常,因此不考虑结缔组织病所致腹腔积液。
经过一番分析后诊断仍然毫无头绪,一时间诊断陷入僵局,患者及家属着急,每次查房患者和家属不停的问是什么原因,尽快明确诊断迫在眉睫。患者就诊最主要症状为腹水,既然是腹水,我们就在腹水上下功夫。两次腹水检查情况:腹水常规Rivalta试验阳性,细胞数超过500,显然是个渗出液;引起渗出液的腹水有结核、肿瘤、结缔组织病、感染性疾病等。常规分析又排除了上述疾病。接下来怎么办呢?对于疑难腹水我们还有最后的杀手锏,腹腔镜和PET-CT检查。
但患者既往行过胃大部切除术,另外患者儿媳生孩子家里比较忙,再次行腹部手术患者难以接受;PET-CT检查费用较高,患者经济困难,难以接受。在这种窘境下,我们不得不静下心来重新回顾患者所做的检查及病史特点。
就在这个时候我们突然发现外院胃镜有点蹊跷,如图1吻合口粘膜有点问题,粘膜粗糙隆起,由于是在外院做的胃镜我们不能全面评估吻合口情况,因此建议患者重新复查胃镜,如图8。复查胃镜发现吻合口前壁黏膜隆起,表面稍粗糙,于是做了病理活检。病理结果提示低分化腺癌,部分为印戒细胞癌。到此为止,该患者诊断才算明确:残胃癌、腹盆腔转移。既然诊断明确了,治疗就有据可依。
恶性腹腔积液多见于晚期肿瘤患者,治疗原则为控制肿瘤进展及对症支持治疗。该患者大量腹水,予纠正低蛋白血症及利尿治疗;与此同时行肿瘤针对性治疗,该患者予紫杉醇+替吉奥联合化疗,配合腹腔灌注化疗,不幸的是患者于4个月后死亡。

图8 复查胃镜检查
例2为青年男性患者,我第一次见到患者时心中就为他捏了一把汗,瘦瘦的,肚子大的跟足月产妇似的。该患者腹水伴体重下降,头脑里马上出现两个诊断:肿瘤和结核,尤其现在的恶性肿瘤呈年轻化。是肿瘤还是结核导致该患者腹水要看患者是不是走运了,因为这两个诊断的预后截然相反,一个是致死性的,另一个是治愈性的。
既然这个患者经了我的手,我争取尽快给他一个明确诊断,而非可能是结核。毫无疑问,本例临床分析的切入点依然是腹水。分析思路类似例1,先分析常见病。肝硬化腹水首先排除:患者无肝炎病史,肝炎病毒学指标阴性,腹部CT未见肝叶比例失调、肝脏表面形态光滑、无脾脏增大,因此不考虑肝硬化腹水。
但如果稍加留心会容易发现生化全套腺苷脱氨酶(ADA)较高,戴益琛主任每次查房时嘱我们年轻医生所有腹水穿刺生化检查均需要查腹水ADA,就好比腹痛的患者最好都要查下血清淀粉酶一样,该例患者腹水ADA亦较高。诊断就倾向于结核感染,于是检查结核斑点试验,结果回报阳性:ESAT-6 (抗原A ) 11×10^5 PMNCS、CFP-10 (抗原B) 20×10^5 PMNCS,为进一步证实结核菌感染存在,遂立即行PPD试验,24小时后PPD试验处可见一硬结,大小16 mm。
基本该患者诊断结核感染,那到底是肺结核还是结核性腹膜炎,我们还需要进一步了解。肺部CT提示右侧胸腔大量积液,右肺中下叶局限性膨胀不全,右侧不能排除有无结核病灶,大量胸水可干扰观察,一般建议胸腔穿刺后复查肺部CT或胸片;如果不是肺结核,结核性腹膜炎会导致这样大量胸水吗?答案是肯定的,结核性腹膜炎导致腹腔大量积液很好理解,但腹腔大量腹腔积液也可以导致胸水。
查阅文献发现有以下几点原因:1)膈裂孔单向活瓣,腹水被胸腔负压抽吸;2)大量腹水将膈肌上台,导致胸腔内淋巴回流增加,淋巴管压力升高,导向胸腔淋巴管破裂;3)胸腔受压导致胸腔内脏血流的奇静脉半奇静脉压力高,因此极易产生胸腔积液,而且右侧胸水多见。
本例患者结核菌感染可以导致体内高代谢,腹水导致肠道蠕动能力下降,食欲较差,因此容易出现低蛋白血症,该患者生化全套提示白蛋白较低,低蛋白血症也会加重胸腔、腹腔积液。患者出院后就诊结核专科门诊,予正规抗结核治疗,同时辅以利尿、纠正低蛋白血症及加强营养支持治疗,2个月后腹水消失,定期门诊复查腹水未再复发。
例3是一年轻女性患者,主诉上腹部胀痛,进食后明显,乍看上去很像餐后不适综合症,属于功能性胃肠病的一种。大体上有两种可能,胃肠道动力较差,胰腺分泌的消化酶正常,这种患者仅给予促进胃肠动力的药物即可;另一种是胃肠动力正常,但是因为种种原因导致胰腺外分泌功能障碍,消化酶分泌较少,患者也可出现腹胀,消化功能较差,食欲欠佳,这类患者可给予复方消化酶等药物,当然少数患者是混合型的,胃肠动力较差,消化酶分泌也减少,治疗采用促进胃肠动力联合补充消化酶。
这一类功能性胃肠病患者临床越来越多见,前几天给一例长期腹泻的患者做胶囊内镜检查,胶囊检查前常规胃肠镜检查未见异常,患者吞服胶囊后11分钟就到达十二指肠球部,不到1个半小时就通过回盲部进入大肠。
回归本例患者在门诊给予促进胃肠动力及补充消化酶治疗效果欠佳,因此行腹部彩超检查,提示腹腔积液,门诊收住院进一步检查。由于患者上腹部胀痛,进食后明显,查体剑突下轻压痛,毫无疑问胃镜检查必须做,腹腔积液患者也需要排除肠道肿瘤,因此肠镜也需要完善,所幸的是胃肠镜检查均未发现异常。
常规胸片检查提示胸腔积液,因此进一步行肺部CT检查,提示肺部CT提示双肺纹理增多、左侧胸腔少量积液,似乎本例和例2非常相似,同时胸腹腔积液。完善了腹部彩超、肝炎病毒学和PPD试验等检查,初步排除了肝硬化和结核菌感染,也未发现肿瘤征象。那么到底是什么原因呢?
就在一个阳光明媚的周四早上,当时的画面历历在目,查房时无意中发现患者脸颊部皮肤发红,这时脑子里突然闪过结缔组织病,再询问病史患者近期有脱发和反复口腔溃疡。年轻女性患者,多浆膜腔积液,心里默默肯定是系统性红斑狼疮,于是行自身抗体谱试验检查。
我们医院规定每周一和周三查自身抗体谱,抽血时是星期四,也意味结果还要等四天,这四天对我、对病人来说都是煎熬,如果还不能查出原因患者及家属就要出院了。目前医学还不发达,很多疾病无法诊断和治疗,但心里还是有种无法言语的难受。漫长的四天等待结束了,自身抗体谱结果:抗RO-52抗体、抗SSA抗体阳性、抗Sm抗体、抗SSB抗体弱阳性;随后查补体C3 0.14 g/L、补体C4 0.02 g/L。
Sm抗体是一个回顾性的指标,在诊断系统性红斑狼疮(SLE)中具有较高的特异性和敏感性。本例患者抗SSA抗体阳性、抗Sm抗体、抗SSB抗体均阳性,按照美国风湿病学会1997年推荐的SLE分类标准(颊部红斑、盘状红斑、光过敏、口腔溃疡、关节炎、浆膜炎、肾脏病变、神经病变、血液学疾病、免疫学异常及抗核抗体),该分类标准的11项中,符合4项或4项以上者,在除外肝硬化、结核感染、肿瘤等后,诊断SLE。
请风湿内科会诊,该患者符合5项(颊部红斑、口腔溃疡、多浆膜腔积液、C3及C4补体下降及抗核抗体阳性),予泼尼松片等治疗,半个月左右胸腹水明显减少,1个半月后腹水消失。治疗到此没有完全结束,还需要告知SLE的预后,SLE可以累及多脏器、长期服激素治疗的副作用以及病情有可能复发等,嘱患者定期就诊风湿内科门诊。
诊疗体会
1
结核斑点试验阳性≠结核感染 ,例1和例2结核斑点试验均阳性,但例1诊断残胃癌,该检查仅给临床提供参考,需要结合患者临床表现及其它检查综合分析,如有无结核中毒征象、寻找结核感染的原发灶、完善PPD试验。不能单凭这一个指标的异常给病人下武断性的诊断。在我刚毕业工作那会,一个腹痛病人CA199非常高,达5000 U/ml,我很肯定的告诉患者家属是胰腺癌,谁知胰腺CT未见异常,第2天腹痛消失再复查CA199正常,壶腹部结石坎顿也可以引起CA199增高,自行排石后CA199降至正常。
2
内科学教材胃癌章节中指出毕Ⅱ式胃大部切除术后10~15年发生残胃癌概率约2.5%。因此,胃大部术后仍然需要警惕发生胃癌的可能,既往有做过远端胃大部切除的患者也需要定期复查胃镜。另外,胃镜检查时发现可疑之处需活检,本例患者吻合口粘膜粗糙隆起,尤其合并腹水,第1次胃镜检查时就应该取活检,活检是对病人的负责也是对医生自己的保护。
3
疑难疾病的诊断需要细致的分析。例1是笔者重新审视胃镜报告时发现的端倪,该胃镜报告在厦门水平相对较高的三甲医院完成的,如果深信该胃镜报告,没有对之提出疑义。那么该患者不得不采用腹腔镜或者PET-CT这样的终极*器武**了。例3如果不是偶然一次查房中发现脸颊部皮肤异常,也不会那么快想到是系统性红斑狼疮,8年前我们医院条件有限,很快给患者明确诊断实属不易,而且是无意中发现疾病的蛛丝马迹,从而顺藤摸瓜找到元凶。
4
腹水找肿瘤细胞阳性率较低,不利于对病情的诊断。事实上临床中很多腹水患者最后诊断为恶性肿瘤,但腹水找肿瘤细胞始终为阴性。对于这种情况,我们的经验是腹水穿刺前先将膨胀的腹部左右来回摇一摇,这样操作可以将沉淀的肿瘤细胞摇漂浮起来,这时候穿刺腹水找肿瘤细胞的阳性率大大增高。