脑出血是指非外伤性脑实质内血管破裂引起的出血,最常见的病因是高血压、脑动脉硬化、颅内血管畸形等,常因用力、情绪激动等因素诱发,故大多在活动中突然发病,临床上主要表现为意识障碍、肢体偏瘫、失语等神经系统的损害。

一、内囊出血:
是最常见的出血部位。其典型临床表现为对侧"三偏"(偏瘫、偏身感觉障碍、偏盲)。内囊出血范围较大,神经损害症状较重。但若出血偏于内囊外侧,主要损害外囊部位,则临床症状多较轻些,多无意识障碍,偏瘫也轻,预后较好。

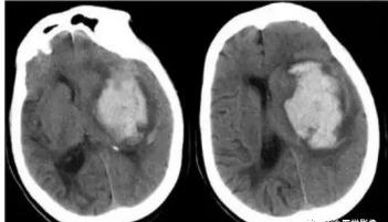
左侧基底节区较大范围高密度影,边界清晰,周围可见低密度水肿,左侧侧脑脑室消失闭塞,中线结构右移。
二、丘脑出血:
如属一侧丘脑出血,且出血量较少时,表现对侧轻瘫,对侧偏身感觉障碍,特别是本体感觉障碍明显。如果出血量大,受损部位波及对侧丘脑及丘脑下部,则出现呕吐咖啡样物,呕吐频繁呈喷射状,且有多尿、尿糖、四肢瘫痪、双眼向鼻尖注视等症。病情往往危重,预后不好。

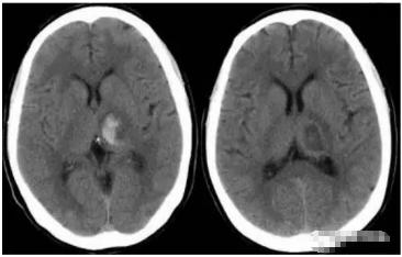
左侧丘脑高密度影,边界清晰,周围可见水肿,有占位效应,隔期复查,血肿吸收,呈边界清晰的低密度影。
三、脑叶出血:
也称为皮质下白质出血,可发生于任何脑叶。除表现头痛、呕吐外,不同脑叶的出血,临床表现亦有不同。
如:额叶出血可出现精神症状,如烦躁不安、疑虑,对侧偏瘫、运动性失语等;顶叶出血则出现对侧感觉障碍;颞叶出血可出现感觉性失语、精神症状等;枕叶出血则以偏盲最为常见。脑叶出血一般症状均略轻些,预后相对较好。

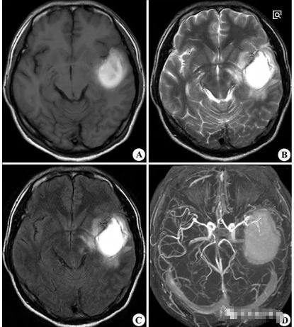
左侧颞叶高密度影,呈短T1长T2信号,周围可见长T1长T2水肿信号。
四、桥脑出血:
桥脑是脑干出血的好发部位。早期表现病处侧面瘫,对侧肢体摊,称为交叉性瘫。这是桥脑出血的临床特点。如果出血量大,则影响对侧,出现四肢瘫、瞳孔缩小、高热、昏迷等症;如果血液破入第四脑室则出现抽搐、呼吸不规则等严重症状,预后多不好。

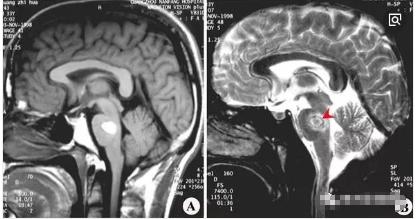
桥脑可见短T1混杂t2信号,边界清晰,有轻度占位效应。
五、小脑出血:
若出血量少,临床表现常常是先出现头晕,继则有剧烈头痛、频繁呕吐、走路不稳、讲话不清;如果出血量大,压迫延髓生命中枢,严重者可突然死亡。

右侧小脑半球见短T1短T2信号,DWI呈低信号,内见小片状高信号。有占位效应,周围可见水肿。
六、脑室出血:
一般分为原发性和继发性。原发性脑室出血为脑室内脉络丛破裂出血,较为少见。继发性者是由于脑内出血量大,穿破脑实质流入脑室。
临床表现为呕吐、多汗、皮肤发紫或苍白。发病后1~2小时便陷入深昏迷、高热、四肢瘫或呈强直性抽搐、血压不稳、呼吸不规律等。病情多为严重,预后不良。

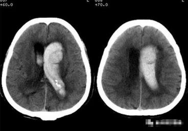
左侧侧脑室内见大片状高密度影充填,少许进入右侧侧脑室。
脑出血后遗症危害:
1、脑出血后遗症对家庭的危害:脑出血后遗症病人需要照顾,重度病人有三分之一需要别人照顾,所以给家属造成很大的负担。
2、主要表现是运动性失语,是指患者可以听懂别人说的话,却不能表达出自己的意思。感觉性失语是指无语言表达障碍,不仅听不懂别人说的话,也不知道自己在说什么。命名性失语是指看到某件物品,可以表达出它的用途,但却叫不上名称。
3、脑出血后遗症还可表现为头晕、头痛、失眠、恶心、呕吐、注意力分散、耳鸣、眼花、多汗、走路不稳、颈项酸疲乏、食欲减退、记忆力下降、痴呆等等。
4、偏瘫是脑出血后遗症中最常见的一个表现,主要包括一侧肢体肌力减弱,活动不便或是不能完全自如活动,经常出现同侧肢体感觉障碍如冷热、疼痛等感觉轻微或完全不知,还可能伴有同侧的视力障碍。