
第二十八期
LVIS支架作为新型编织型支架,以网眼小著称,因其网眼小,所以对颅内动脉瘤开口具有更确切的保护作用,能够更有效地防止弹簧圈逃逸或突出;也因其网眼小,所以能够提供更优越的血流导向,有助于防止动脉瘤远期复发;同时因其网眼小,所以在辅助栓塞动脉瘤时,宜首选平行式技术(即释放支架压住预置于动脉瘤腔内的弹簧圈导管,然后输送弹簧圈栓塞动脉瘤),而尽量避免顺序式技术(即弹簧圈导管穿过已释放支架的网眼进入瘤腔栓塞之)。但是,在实际操作中,我们有时还是难免要应用顺序式技术作为平行式技术的补充。比如,平行式技术的弊端是支架压住微导管,使管头移动受限,当栓塞尾声动脉瘤腔存在弹簧圈无法进入的死腔时,可能需要撤出微导管,应用顺序式技术使微导管穿过支架网眼进入死腔;或者,在应用平行式技术栓塞过程中,微导管头被顶出瘤腔,难以再经支架外围引入瘤腔内的适宜位置时,不得不采取顺序式技术使微导管经支架内部穿网眼进入瘤腔。我们常用的EnterPrise或Solitaire支架网眼较大,Neuroform支架是开环式支架,所以这三类支架还是比较容易穿网眼的,LVIS支架虽然是网眼很小号称半密网的编织型闭环支架,但由于网丝可以被微导管拨开,所以穿网眼的顺序式操作也并非完全不可行。那么,诸位是否遭遇过微导管头死活穿不过LVIS支架网眼的窘境呢?反正我是经常遭遇,怎么办?打个稍沾情色的比方,隔靴尚能搔痒,隔着渔网袜更没问题。

举例说明。
患者女性,80岁,以SAH于2017.5.20急诊入院,CTA示基底动脉顶端动脉瘤。

2.17.5.27 DSA+栓塞
左椎动脉正位造影可以看到指向左方的子瘤。

左椎动脉造影三维重建和测量

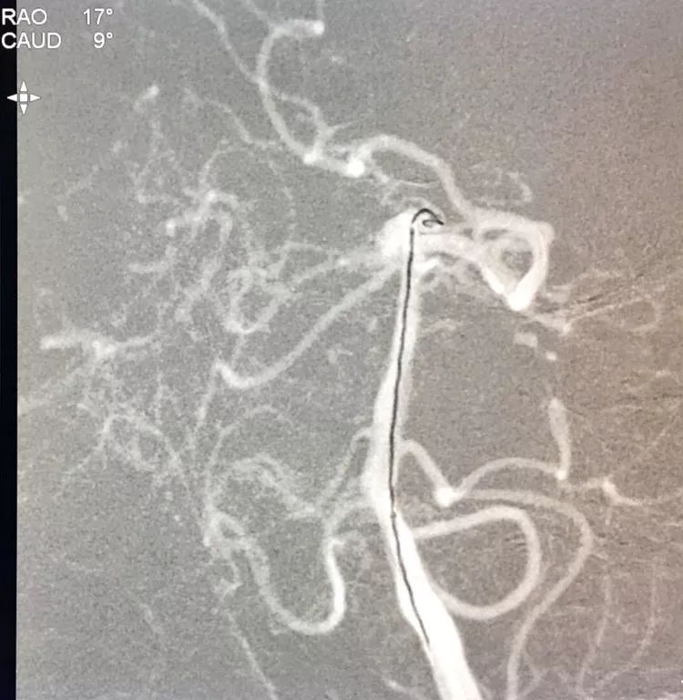
左椎动脉工作位路图

Sychro14微导丝携Headway21支架导管经左椎动脉-基底动脉进入右侧PCA,因瘤颈主要累及右侧PCA,故计划支架跨基底动脉顶端动脉瘤释放于右侧PCA-基底动脉内。

Echelon10(直头)微导管用Sychro14微导丝引入瘤腔内。

先送入一段弹簧圈

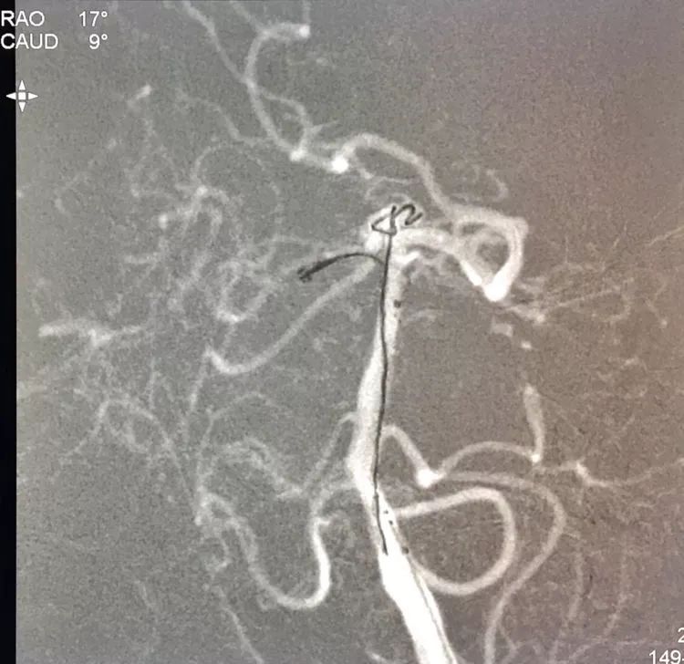
将LVIS支架(3.5×15)跨瘤颈释放于右侧PCA-基底动脉内

在支架保护下输送弹簧圈栓塞瘤腔

此时从工作位(右斜17°反汤9°)看弹簧圈分布致密,微导管头已被顶到瘤颈处

工作位造影看动脉瘤栓塞满意,子瘤已不显影,是不是可以收手了呢?

旋转增强器透视观察各个投照角度弹簧圈的分布情况,侧位透视发现瘤腔后部的弹簧圈分布疏松,形成死腔,看来革命还未成功,同志尚需努力呀!

回头再观察左椎动脉造影的三维成像,发现瘤腔确实有向后方突出的分叶,明确弹簧圈团后部的空虚处仍是瘤腔的一部分

此刻微导管的管头被支架压在瘤腔前部,显然无法再深入到瘤腔后部的死腔,这根直头的微导管该结束使命了,

换用一根新的Echelon10微导管,头端塑成C型,以Arvigo14微导丝引导(先前的Sychro14微导丝的头端已经有损了),经LVIS支架内部接近瘤腔后部的死腔,但微导丝可以进入死腔,微导管头死活钻不进去,被LVIS支架的网丝挡住去路,怎么办?那就隔着渔网袜挠痒!

微导管头顶在支架网眼处,投送一枚1.5-2的小圈,一开始弹簧圈走行入载瘤动脉(支架)内,用扭具调整弹簧圈头端的行进方向,并随之微调微导管头的方向和张力,圈终于成功钻入死腔!

再投入一枚1.5-3的小圈

继续钻入一枚1.5-2的小圈

嗯,完美收官!

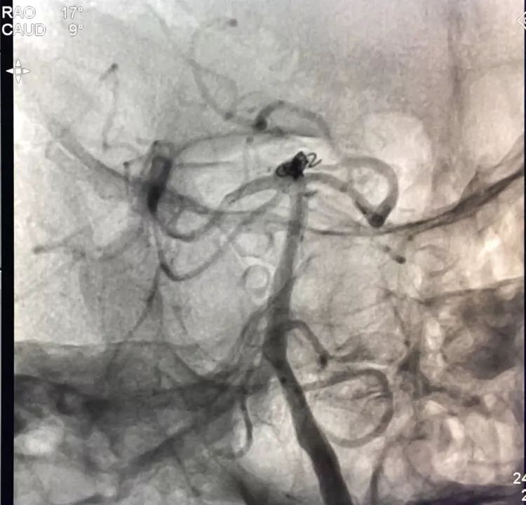
回到工作位造影,显示基底动脉顶端动脉瘤完全栓塞,基底动脉顶端四根血管畅通。

术后左椎动脉正位、侧位的造影和蒙片

挠痒挠个正着,舒服!

柳暗花明专栏