“原以为眼睛出了毛病,没想到竟然是脑动脉瘤,多亏医生及时发现,不然可真危险了!”来自肇庆的吴阿姨感慨道。不久前,吴阿姨因突发眼睑下垂到医院就诊,幸亏医生识破病魔伪装,揪出“真凶”,及时解除险情。

家住肇庆的吴阿姨今年62岁,在10月8日早上起床时,她发现两眼之间的鼻根处十分疼痛,还有明显的压迫感,十分难受。吴阿姨也没耽搁,当即就到当地卫生站就诊。输液后,症状并没有好转,疼痛感逐渐蔓延至左边的太阳穴和后脑勺。
一波未平一波又起,次日起床时,吴阿姨发现自己左边的上眼皮有些下垂,而且无论她怎样努力,都无法抬起。一系列的不适引起了吴阿姨注意,马上又到上级医院做了检查。当地医院头颅CT平扫结果未见明显异常,吴阿姨再次接受了输液治疗,但症状无明显好转。
又过了几天,吴阿姨左眼皮下垂的情况越来越严重。为寻求进一步诊治,10月13日,吴阿姨在家人陪同下来到广东三九脑科医院就诊。
我院神经外三科主任金鑫接诊时,发现患者左侧眼睑完全下垂,左侧瞳孔直径约3.5mm,对光反射消失。患者入院后,金鑫及时为其安排完善相关检查。

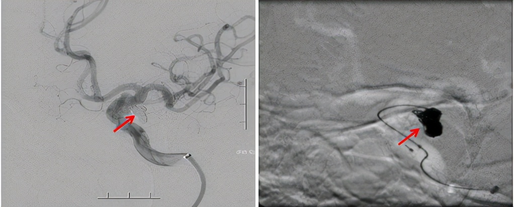
术前影像检查
颅脑DSA血管成像(半球脑动脉)检查结果提示左侧后交通动脉瘤,大小约4.5mm×7.5mm,瘤体朝下、朝内生长。“根据相关检查结果,怀疑患者左侧眼睑下垂为颅内动脉瘤压迫动眼神经受损所致,且目前动脉瘤形态不规则,体积较大,破裂风险较大。”金鑫介绍。
完善术前相关检查,未见明显手术禁忌症,最终神经外三科团队在全麻下为患者实施脑血管造影术及脑动脉瘤栓塞术。


术后复查
颅内动脉瘤是颅内动脉壁上的异常膨出,该病可发生于任何年龄,是一种致残致死率较高的脑血管疾病。对此类病人,应当明确诊断、及时治疗,才能获得满意效果。颅内动脉瘤的主要临床症状有反复的头晕、头痛,由于患者常伴有高血压病史,严重时会使薄弱的动脉壁发生破裂,进而形成脑出血。“本案例中,由于患者左侧后交通动脉瘤体积比较大,导致患者出现头晕、头痛、动眼神经麻痹、眼睑下垂等症状,任由其发展下去可能会引起生命危险。”金鑫介绍,动脉瘤一旦破裂,第一次出血的死亡率达40%,第二次出血的死亡率为60%~70%。因此,他提醒,一旦发现脑动脉瘤,要早密切随诊,防止延误病情。