确诊“肩袖撕裂”了,该怎么办呢?

首先“肩袖损伤”的患者需要明白一点!!
肩袖撕裂了靠养是不能重新长上的。好比
自行车的“链条”断了,除非维修才能恢复链条的连续性。

[对于肩袖撕裂的治疗大体分为两类]
一是关节疼痛症状的治疗
二是改善功能的治疗
缓解疼痛症状的治疗,简单来说就是“治标”
1.休息、制动;
2.尽量停止使肩袖发力的动作:导致疼痛的动作不做,如搬抬重物、上举擦拭玻璃等活动,避免加重肩袖撕裂;
3.药物:在医生的正确指导下,可适当使用消炎止痛药物内服、外敷等;
4.配合超声波等理疗:该治疗方案较适合肩袖部分撕裂或小撕裂、暂时拒绝手术或合并内科疾病不能满足手术患者。通常经过上述措施“养”一段时间后,肩关节疼痛会有所缓解;
但一定记住,肩关节不痛了,不等于肩袖损伤好了!!
而只是代表肩关节内部炎症较前减轻了,如果你活动得多了,肩膀可能又痛起来了。
保守治疗这种症状反复的过程,患者要有心理准备!
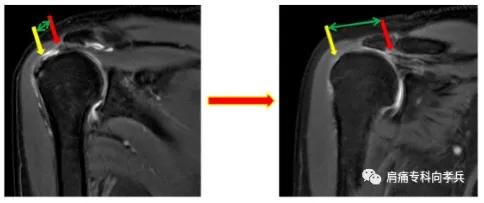
而且需要定期到门诊复查,必要时通过肩关节MR评估肩袖损伤的进展情况,及时调整治疗方案。
经保守治疗效果不佳、肩袖撕裂经MR确认撕裂进展、肩袖损伤较大或对肩关节功能要求较高的患者,建议进行微创治疗,改善肩关节功能。
敲黑板‼️
门诊中常常见到很多“肩袖损伤”患者道听途说,肩袖损伤当肩周炎治疗,拼命进行吊双杠、爬墙等锻炼。
肩袖损伤患者进行非医生指导下的无知锻炼,不止徒劳,而且使原本撕裂的肩袖裂口继续扩大,加重病情,甚至微创手术都不能修复。

