最近有新妈妈问到,新宝宝的大便问题。并且觉得可以从新宝宝的大便中了解到很多的宝宝是否健康的信息。
并提出了自己宝宝答辩的问题。
今天,我们就以此话题,来说一下新生儿十分担心的一种大便问题吧。

新生儿各种大便
首先,大便有助于我们判断宝宝健康
不管是成人还是宝宝,胃肠消化系统是我们判断身体是否健康的一种很常见的方法。
的确可以从大便中看到很多有用的信息,帮助我们判断还是是否健康,但大多数情况下,还是用来判断胃肠道问题、消化吸收问题、营养问题等。
吃母乳的孩子大便呈黄色或金黄色,均匀如软膏样,但无臭味,便次较多,一般每天2~4次,有的多达7~8次,这叫做生理性腹泻。
父母不必担心,这都属于正常现象,到小孩长到一定时期这种腹泻会自动消失。
大家有没有发现,新妈妈的朋友圈或各种群里,经常会出现宝宝大便的相关信息啊~

大便还有双色的呢~
真可谓,一言不合就发便!!!
本篇重点:新生儿黑便,准确点,柏油样大便!

妈妈们有没有发现这样的大便
这种大便,一般出现在成年人情况中,也算不少见~
这种大便都是一些血红蛋白铁出现在胃肠道中不能消化吸收所致。

上消化道溃疡、出血等
例如:吃了消化不良的东西,引起上消化道胃肠炎症可能出现。

想不想吃呢~
例如:吃了鸡血、鸭血等含铁丰富的食物可能出现。
但,如果出现在只吃奶奶的宝宝情况下,请注意!
宝宝本身很少可能出现原发性的胃肠疾患的情况~也不会进食动物血的食物。
如果出现这类情况,请您想起来一个名词:新生儿出血!
本病大都发生在出生后2-3天,很少在出生7~10天后。
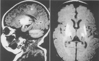
出血多在脐部和消化道,也可在鼻部成肾脏,严重的可发生颅内出血.
出血量一般不多,消化道出血最为常见,大便中有少许血,出血量多时,大便可呈柏油样或吐出血液,面色苍白,甚至休克。

新生儿颅内出血
其原因,通常会使凝血异常。例如:DIC、缺乏VK、血小板减少症
DIC:一些重症新生儿,随时可能出现的问题。一般都会受到医院医生、护士的特殊照顾;在一开始医院进行检查、抽血时就可能发现。家长不必太多担忧
血小板减少:妈妈可能本身患有一些先天免疫性的疾病,在孕期一般一声就会筛查做出防范了
缺乏VK:这倒是容易被很多家长遗漏、忽略、忽视。
为什么新生儿会容易出现维生素K缺乏呢?
其实VK在我们的自然界广泛存在,很多食物中都会出现。
1 宝宝的食物来源于母亲,如果母亲服用一些药物,是会导致的
母孕期使用双香豆素等口服抗凝药、阿司匹林、磺胺、苯妥英钠、利福平、异烟肼、长期单纯母乳喂养(人乳含维生素K 15μg/L、牛乳60~80μg/L)等均为病因
2 宝宝肝脏、胰脏发育不足,胆汁分泌不足~
3 宝宝的胃肠道益生菌不足,不能合成VK~
这些都可能是其原因。
预防、治疗的办法很简单~
根据情况的轻重缓急,可以采用以下办法
1 妈妈进行药物调整(在医生指导下)
2 妈妈多吃一些菠菜、花椰菜、莴苣、动物肝脏、动物血等食材的食物
3 妈妈口服补充含有VK的膳食补充剂(在医生、营养师指导下)
4 宝宝直接注射vk注射剂(在医生、临床营养师指导下)

看起来很爽口哦~
参考资料:【实用新生儿学】