从前面看大腿前侧突出
从身后看小腿特别粗
而且站久了膝盖疼
走路、跑步时小腿会先累……

也许许多人会认为这是正常的现象。其实,这很可能是--膝关节超伸。

什么是超伸
膝超伸,英文是Hyperextended knee,膝反弓,膝关节伸展幅度过大,超过185°,从解剖上讲,是胫骨的顶端相对于股骨向后滑动使得膝关节向后过度打开,侧面看呈后凸的弧形。通俗的讲就是,关节的伸展超过了合理的幅度。

如图所示,就是腿部显现明显的反向弯折,这个弯折就是超伸,或叫过伸。

形成原因
1 先天因素:家族遗传、韧带松弛、活动度过大
2 后天因素:
·外力导致的损伤
·运动项目的特殊性导致
·不良的身体姿势
·步态异常(如臀大肌无力,支撑期膝关节过度伸直)

判断方法
区分是否是小腿肌肉发达而形成的肌肉凸出:利用重垂线,一端固定在股骨大转子,沿着重垂线往下,另一端固定在踝骨上,观察腓骨小头是否明显在垂线后

超伸是膝关节疼痛的主要诱因
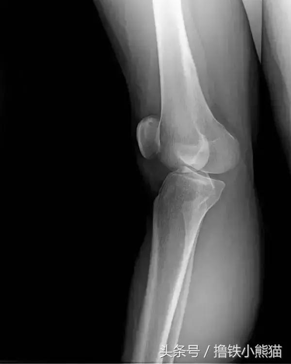
下面是一张膝关节超伸的X 光片,从光片中能看出关节前侧和髌骨与股骨(大腿骨)之间的缝隙都很小。

而正常的状态应该是两个骨头在关节面均匀接触的,整个支撑面上的重力应该是平均分布的,超伸时则加重了关节前侧的压力,从而诱发膝关节疼痛。
膝关节超伸的危害
1 导致膝盖疼痛
静止或运动时膝盖骨都会过度靠近股骨,出现过度摩擦,时间长的话会导致膝盖疼痛。

2 无法完成一些动作
膝盖超伸的姿态无法完成一些高冲击的动作,比如跳跃、快速跑等,会提高前交叉韧带损伤的危险。
3 会使小腿变的更粗
腓肠肌长在小腿上,却与大腿连接,膝关节超伸时,膝关节就会向后,使腓肠肌上下两端变长,当膝盖前侧难受时,就本能的使腓肠肌发力,将膝关节拉回原位。所以,膝关节超伸时,小腿肌肉会过多发力以维持身体姿势,长时间如此,就会导致小腿变粗。

膝关节超伸怎么办
如果比较明显,症状比较突出,比如膝关节疼痛难忍,那么最好的办法就是做手术;如果只是轻度的超伸,可以通过下面的运动项目矫正改善。
足底筋膜放松
▼

加强柔韧性
▼


提高髋关节的灵活稳定
▼

拉伸股四头肌
▼

加强小腿肌肉的力量
▼

加强膝盖周围的肌肉力量
▼

行进间箭步蹲
▼

单腿平衡硬拉
▼

此外,像小幅度屈伸膝,*退倒**爬行,*退倒**上楼梯等都有助于改善膝关节超伸。
腿粗是可以拯救的,所以,行动起来吧!