病例一
病史:59Y;女;主诉:头晕、头痛伴恶心3年,检查发现颅内占位10天
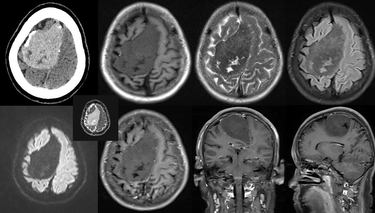
图像:

影像表现:
CT:右额部大脑镰旁见不均匀高密度灶,较大截面约7.3X5.6cm,内见不规则低密度区,边界清边缘见点片状钙化,病变宽基底附着于颅骨内面及大脑镰,并沿大脑镰下缘向对侧延伸,左侧侧脑室受压,邻近脑组织受压推移,脑实质内未见明显异常密度灶。
MRI:右额部大脑镰旁见长短T1等长T2 异常混杂信号灶,FLAIR呈等低信号,其内见斑片状高信号DWI 未见扩散受限,大小约 7.9X5.0X3.8cm,边界清,周围脑实质及左侧侧脑室明显受压推移,中线结构向左侧移位,增强扫描病灶未见明显强化。双侧半卵圆中心另见多发斑点、片状等长T1长T2信号灶,FLAIR 呈高信号,DWI 未见弥散受限,增强扫描未见异常强化灶。
诊断:
CT:右额部大脑镰旁占位性病变,符合脑膜瘤 CT表现,必要时 MI检查;
MRI:右额部大脑镰旁占位性病变,考虑非典型脑膜瘤MRI表现脑多发缺血灶。建议结合临床。
病理:软骨瘤
学生发言:
A:CT钙化,坏死,密度高;MRI T2低,弥散不受限,不强化。受限定位脑外,良性(病程慢,无强化,有钙化)。脑外的跑不了,那最多的肯定脑膜瘤,不强化说明就是不典型呗,OK,脑膜瘤了,下一个;
B:不强化,感觉很软,有钙化,时间久,畸胎瘤可能性也是有的,虽然不像胆脂瘤,但还是考虑畸胎类肿瘤,就因为不强化,和有钙化,和病程;
C:脑膜瘤的话,是不是要考虑鉴别下血管周,血管周不均匀,可见流空,弥散偶有受限,窄基底。。(A:你别说话了,脑膜瘤,下一个)
D:和骨头近距离,有钙化,骨源性考虑下,脊索瘤或者软骨瘤(C:你也别说话了,软骨类肿瘤这种信号?下一个吧)
病例二
病史:男;年龄:69Y主诉:1个多月前突发右侧肢体不受控抖动,行走不稳
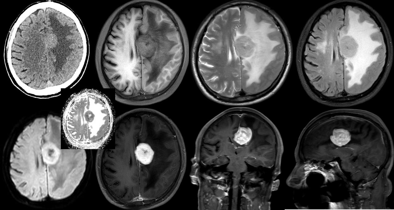
图像:



影像表现:
CT:左侧额叶大脑镰旁见一大小约2.2X28m类圆形略高密度团块,CT值43.7Hu,边界尚清,以宽基底接于大脑镰,周围额顶部脑白质内见大片低密度水肿区。双侧基底节区、放射冠区、侧脑室周围白质及皮层下区见多发斑点状、斑片状低密度灶。左侧侧脑室较对侧宽。部分脑沟、脑裂、池增宽。中线结构尚居中。
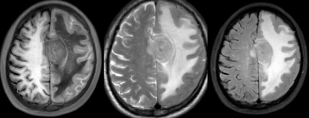
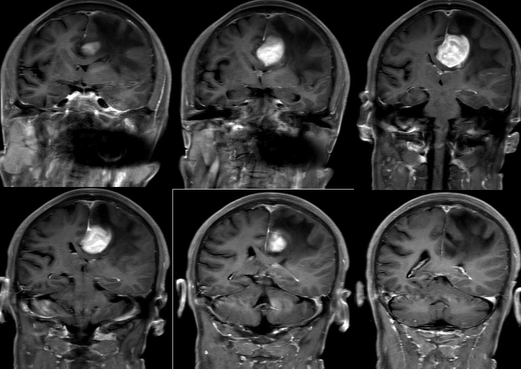
MRI:左侧颅底区可见金属伪影干扰。左侧额部大脑镰旁见一类圆形等长 T1 等长 T2异常信号T2 Flair 呈近等信号,中心见点状长T1短T2信号灶,病灶大小约3.3X3.7X3.cm,DWI(b=1000)及ADC 图示病灶轻度扩散受限,增强扫描呈明显不均匀强化,邻近部分硬脑膜可见线状强化,病灶周围脑实质见大片状长 T1 长 T2水肿信号,周围脑实质及双侧侧脑室受压变窄,左侧大脑半球脑沟裂变浅,中线结构右移。脑桥、双侧基底节区、双侧侧脑室旁白质、右侧放射冠及皮层下见多发斑点状、斑片状等长T1长T2异常信号灶,T2Flair 高信号,DMI未见明显扩散受限。右侧上颌窦粘膜增厚。
MRS示:病变区域Cho峰明显增高,NAA峰明显减低。
诊断:
CT:左侧额叶占位性病变,符合脑膜瘤CT 表现,建议增强 MRI检查以除外胶质瘤;
MRI:左侧额部大脑镰旁占位性病变,符合肿瘤 MRI表现,理学检查;脑膜源性肿瘤可能性大,请结合临床。
病理:淋巴瘤。
学生发言:
A:感觉脑内淋巴瘤,强化明显,肿瘤小,水肿很大,强化明显,弥散受限,嗯嗯。
B: 你告诉我周边的脑脊液环绕是啥?你说那个脑膜尾症是周边脑膜血管我能理解,你和说这是脑内的?来,你给我理解理解;水中多,要么是肿瘤压倒静脉,要么是分泌一些物质导致,(要是压迫动脉会脑梗)所以这弥散,信号不均,你可以和血管周鉴别,所以还是脑膜来源。
C:转移瘤?黑色素瘤?
老师总结:
①:以后不典型的脑外肿瘤要多方位看看骨窗,要么看看骨质改变,要么看看是不是它的来源;
②:第二个应该是脑膜间质淋巴来源,还是脑外的;
③:非典型脑膜瘤和脑膜瘤不典型表现不是一回事,前者是真有这个名字。