陆博,口腔医学博士,苏州口腔医院副主任医师,擅长美学正畸。热衷于用简单浅显的文字,为您打开口腔知识大门,欢迎关注。
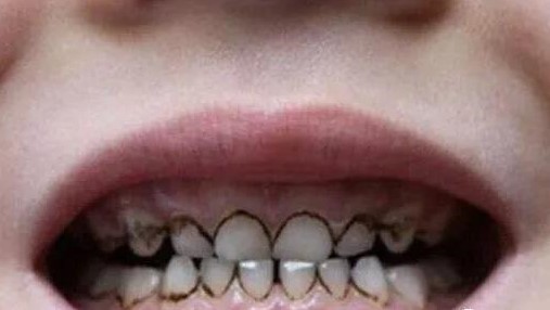
不少家长会发现这样的情况:孩子明明很认真刷牙,但牙齿一周却总是有一圈黑色的线。家长以为这是蛀牙,其实不是。
那这是什么?
从医学的角度来看,这是"色素沉淀"。

但是有家长会疑惑了:色素沉淀是需要时间的,因此成人牙齿黑色素沉淀很正常。但小孩子年纪这么小,怎么会有这玩意呢?
其实,造成色素沉淀的因素有很多,有些甚至令人匪夷所思,比如抗生素吃多了也会导致这种情况。具体哪几种原因呢?
一、造成儿童牙面色素沉着的原因
1.牙齿清洁不到位
虽然大部分学者认为是色素沉淀是口内细菌的原因造成的,但最常见的原因就是没认真刷牙,尤其是只刷牙齿底部,靠近牙龈的部分没刷,就会有色素沉淀。

2.孕期和儿童早期摄入过多富含铁离子的食物,会促进口内产色素菌群的生长。因此孕妇怀孕时,也别过分吃某一类物质,再好也要控制量。
3.抗生素的的频繁使用,可能会打破了口腔内的菌群平衡,致使产黑色素类杆菌数量增加,从而导致色素沉积。
当然,抗生素的坏处不止这一个,也希望宝爸宝妈不要贪图方便,慎用抗生素。
二、"黑线"会变成蛀牙吗?
明确地说:不会!
虽然口腔里的细菌总数比地球人类总和都要多,但是每类细菌都是"各司其职"的。负责破坏牙齿,引起蛀牙的细菌叫"牙菌斑",并不是黑线的主要成分——放线菌。

再加上色素沉着儿童的唾液有更好的缓冲能力、更高的钙、钠、蛋白质等,从而降低了龋病的发生率。
但是,不会引起蛀牙,并不代表可以放任不管哦!
三、怎么去除"黑线"?
洗牙。
什么?孩子也能洗牙?
当然!儿童也是可以洗牙的。如果色素量沉淀较多,会影响美观,那家长就可以带孩子去医院进行洗牙,用专业的超声波仪器去除黑色素,并且不会伤害牙齿。

总之,虽然黑色素沉淀不会导致龋齿,但有了肯定不是好事。它的出现,某种意义上口腔卫生不佳的表现,所以还是要使用含氟牙膏好好刷牙,保证口腔卫生。
当然,如果宝宝的牙齿有了黑色,最好找专业牙医鉴别一下是色素沉着还是龋齿,千万不要弄错不能耽误治疗!
PS:如果您觉得本文对您有帮助,欢迎关注、评论,为您和家人的口腔健康之路扫雷。