"医生,最近牙齿照镜子发现牙齿上出现黑色小三角,去医院一检查原来是牙周炎导致的牙龈萎缩,该怎么办呢?"
最近,很多读者来问我有关于牙周炎导致的牙龈萎缩该怎么办的问题。今天我们就来科普一下关于牙周炎与牙龈萎缩两三事,深受牙周炎牙龈萎缩折磨的你,这篇文章需要好好看。

相信随着年龄的增长,很多人都渐渐的发现自己的牙齿也悄悄的发生了变化。吃饭的时候,突然变得敏感了,吃刺激的食物,会有点酸痛,有时候,还会出现出血的症状,牙齿开始变长,出现了可怕的"黑三角",牙齿好像有点"骨质疏松"了,随后牙齿开始松动。
其实,如果你出现牙齿出现以上情况,你的牙齿的牙龈正在萎缩的道路上,一去不复反了。

因为人年纪增大,牙龈乳头会随着年龄发生轻微萎缩,只是不同的人萎缩程度不同,牙龈萎缩是全世界中年人必然经历的牙病之一。
由于日常人们对口腔护理的不到位,牙龈萎缩的现象也正在年轻化。许多人都认为牙龈萎缩是一种牙齿疾病,实际上,它属于牙周炎的一种症状。换句话说,牙周炎也是引起牙龈萎缩的主要原因之一。

那么,牙周炎是怎么把牙龈折磨的逐渐萎缩的呢?
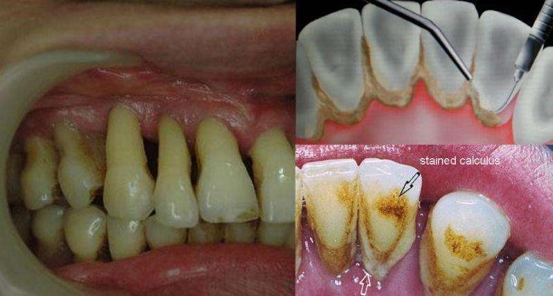
口腔里是细菌群的常驻基地,牙菌斑、微生物细菌群长期接受食物残渣的能量在肆意生长繁衍,日常如果不注意保持口腔卫生,牙缝里堆积的食物残渣就会产生牙菌斑等细菌群,接着相继会产生牙结石等各种细菌来侵蚀牙齿,牙龈也被连累不断的收到牙菌斑牙结石的刺激,出现红肿及周围炎症,形成牙周炎。
牙周炎形成的时间相对缓慢,早期并没有疼痛的表现,并且不被别人发现,但当炎症发展到了一定程度之后,牙槽骨被吸收,牙龈也承受不住了,开始萎缩。

牙龈一旦萎缩,就是不可逆的。
难道我们就这么看着牙龈一步一步的萎缩下去,而束手无策吗?
发现问题,置之不理,问题只会更加严重。

牙龈萎缩导致牙根伸长/松动
找出原因之后,对症下药,及时止损最重要。
对于牙周炎产生的牙龈萎缩,要首先了解牙周炎的具体状况,去医院进行洗牙/龈下刮治,再进行牙周炎治疗,根据牙周炎的程度状况不同,一般会采用洁治、刮治、跟面平整等基础治疗。
牙周炎较为严重的患者,需要接受牙周手术并配合药物治疗。对于已经伤及牙根,并出现敏感现象问题,要及时做脱敏治疗。

等待牙周炎症治疗之后,还要定时去医院观察牙齿牙龈变化情况。
除此之外,还要保证做好以下几点。
1.保持好良好的口腔卫生,选择软毛牙刷,拒绝野蛮刷牙的方式,避免日常牙龈损伤。 2.造成牙周炎牙导致龈萎缩的现象罪魁祸首就是牙菌斑、牙结石等细菌群,有时刷牙并不能彻底清洁,定期去洗牙才是关键。 3.时刻观察口腔牙齿变化,定期去医院做口腔检查。 4.发现问题,拒绝拖延,及时去医院检查。

牙齿和牙龈的关系犹如"唇亡齿寒"这句成语一般,只有牙龈健康,牙齿才能坚固。
所以牙龈萎缩可不是件小事情,一定要及时治疗避免进一步恶化,不然你将失去的是一颗颗牙齿。不要以为牙齿是小事,不危及生命就不注意牙齿健康,牙齿是决定生活质量的第一道门,如果牙齿不好,吃东西不香,生活质量就会直线下降,一颗牙齿这么重要,不要失去了之后才感叹种植牙的昂贵!

我是牙科医生黄征难,35年从业经历,如果你有任何口腔问题,欢迎在主页私信咨询,或评论留言!可以私信牙片,我来帮你免费问诊!