什么是牙外伤
牙外伤是仅次于龋齿造成儿童牙齿缺损的第二大疾患。儿童处于生理心理发育阶段,心智发育尚不健全,加之儿童的活动性强,常发生碰撞、跌倒等,极容易造成牙外伤。

牙外伤的危害
01 乳牙外伤的危害
乳牙外伤后主要需要考虑对继承恒牙胚的影响,由于儿童的上前牙区(即门牙)的继承恒牙位于乳牙的根尖部,乳牙的外伤可以直接伤害恒牙胚,导致继承恒牙畸形阻生等问题。所以不要以为乳牙早晚要脱落就置之不理,影响到恒牙可就晚啦!

02 恒牙外伤的危害
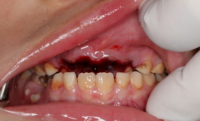
恒牙外伤可以造成牙齿折断、松动或移位,影响咀嚼功能,如果处理不及时,可能会造成牙髓炎症甚至根尖周组织炎症,严重的话牙齿将不能保留。恒牙早期缺失对儿童的牙齿、咬合甚至颌骨的发育产生影响!同时对孩子造成心理影响,不容小视!

牙外伤的正确处理方式
宝宝牙齿受到剧烈撞击时,一定要带孩子及时到正规医院口腔科或者正规口腔医院就医,如果宝宝牙齿完全脱落,一定要记得手持牙冠部,用冷水简单冲洗,把牙齿放回牙槽窝内,再带孩子进一步诊治;也可以放在冷牛奶、生理盐水里尽快带去医院就诊。

牙外伤的预防
家长要注意对孩子的看护和安全的保护;对儿童骑自行车、滑轮等项目,应该使用头盔等防护措施。必要时,可佩戴运动防护牙托。

