甲状腺癌根据组织病理学分类主要包括甲状腺乳头状癌、滤泡状癌、髓样癌和未分化癌四种,其中前两者都属于分化型甲状腺癌(Differentiated thyroid cancer,DTC)。分化型甲状腺癌大部分进展缓慢,俗称:“懒癌”,常常被认为是“恶性肿瘤中预后最好的肿瘤”,大量的研究确实也证实了这一观点。但是,这需要有一个前提条件,必须规范化的手术方案+规范化的TSH抑制治疗+/-规范化的术后碘131清甲清灶辅助治疗策略。如果没有规范化诊治甲状腺癌,放任不管,其预后并不乐观。DTC可以发生颈部淋巴结转移和肺部、骨头、脑等远处转移。

本期科普先来讲诉甲状腺癌远处转移之“肺部转移”。
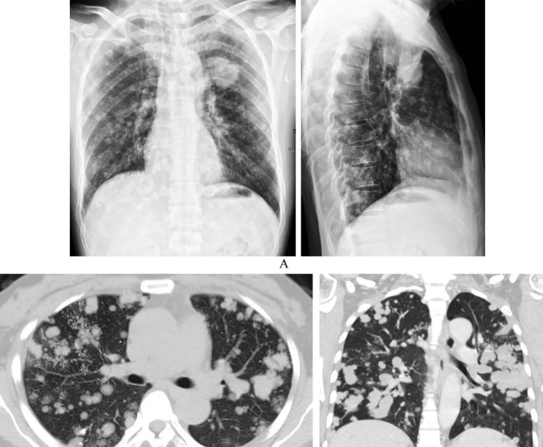
DTC发生肺部转移的胸部CT检查特征,主要分为(1)单发肺部结节(孤立);(2)多发肺小结节(直接≤1cm);(3)多发肺大结节;(4)双肺弥漫性转移灶。

单纯DTC肺部转移患者在接受碘131治疗的预后优于合并其他远处转移患者(骨、脑),单纯肺转移关心的10年生存率为73.6%。,而合并其他骨、脑转移的患者10年生存率低至34.3%。直径≤1cm的肺小结节转移患者的预后优于大结节(直径>1cm)肺转移患者,研究提出胸部CT没有肺转移(阴性)患者10年生存率达90.9%,小结节肺转移患者生存率为68.9%,而大结节肺转移患者仅为30.6%。(备注:数据来自2019年第八届中国医师协会外科医师分会甲状腺外科医师委员会官方报告数据)。

DTC肺部转移治疗策略:
(1)单发肺部结节(孤立性肺转移灶)应该优先考虑肺部病灶手术治疗,无论其是否摄碘。
(2)多发肺小结节碘131治疗效果较好,尤其是40岁以下、亲碘的肺小结节患者。大多数患者经过多次治疗后病灶消失,达到临床治愈。
(3)多发大结节肺转移灶治疗效果不如多发小结节,但大多数患者治疗后结节大小变小,部分消失,临床病情明显缓解(气喘、呼吸困难等)。因此,只要甲状腺肺转移能摄取碘131,就是治疗的指针。
(4)双肺弥漫性转移者,经过多次碘131治疗后,可能导致肺纤维化和放射性肺炎并发症,应该注意控制碘131给药剂量。
DTC肺转移患者碘131治疗后应注意观察疗效,一般做胸部CT检查来评估。
当然,分化型甲状腺癌肺转移患者除了碘131治疗外,还有外照射、靶向治疗等,但首先必须先规范化甲状腺手术治疗和终生口服优甲乐TSH抑制治疗。

分化型甲状腺癌肺部转移的预后:一般来说,决定肺部转移治疗疗效的影响因素有:(1)摄碘功能;(2)患者年龄;(3)转移病灶的大小(直径);(4)是否合并其他远处转移灶。
本期到此结束,后期还会讲诉甲状腺癌伴“肺”转移的外照射治疗(续),以及靶向药物治疗,并且还有讲到“骨”、“脑”等部位的远处转移治疗决策。想了解更多可以【关注】林医生聊健康或者【咨询】林医生。
注:以上部分医疗来源《中国临床肿瘤学会(CSCO)持续/复发及转移性分化型甲状腺癌诊疗指南-2019