2020年1月28日,为应对新型冠状病毒疫情,深圳市第二人民医院迅速成立了发热隔离病区(后更名为隔离病房),由呼吸与危重症医学科张敏主任和荀细辉护长、施睿副主任以及大内科各科一线医生和全院各科护士组成,轮班负责接收发热门诊拟诊新型冠状病毒感染或NCP和需要住专科临时隔离区筛查COV-ID2019的患者。在这敏感和特殊的时期,肺CT只要有间质性改变的患者,在收住院之前或住院期间,都需谨慎排除病毒肺炎。隔离病房除了帮助发热门诊确诊新型冠状病毒感染/NCP外,也帮助相关科室扛起"一切肺炎"(指的是肺CT怀疑病毒肺,但实际并不是NCP)的排查工作,让此类患者能够顺利去到专科安心治疗,也消除了各专科医护人员潜在感染的风险和焦虑情绪。

隔离病房日常工作缩影

确诊新型冠状病毒感染或NCP的案例
以下为排除"一切肺炎"临床工作的缩影:
吴某某,内分泌科门诊诊断糖尿病足,需要收住院专科治疗。患者此次就诊的目的就是要治疗糖尿病足,但是门诊肺CT显示右肺叶磨玻璃影,需排除新型冠状病毒肺炎,所以收到隔离病房进行筛查。经过两次筛查结果均为阴性,确认没有感染新冠肺炎后,转到内分泌科继续专科治疗糖尿病足。患者对整个处理流程表示满意。

田某某,多次我院血液科和消化科住院,诊断骨髓增生异常综合征及肝硬化等多种疾病。消化科住院期间,突然发热,2月27日复查肺CT显示双肺新发广泛肺泡内渗出(磨玻璃密度灶),感染性病变可能性大,不排除是病毒性肺炎。患者本身就是易感人群,如果是新冠肺炎,可能会造成消化科的值班医护人员和在院内其他患者感染。为消除隐患,决定将田某某转到隔离病房,边进行原发病治疗,边筛查病毒核酸排查。期间血小板降低至14x10*9/L,隔离病房给予紧急输血小板治疗。两次病毒核酸检测结果为阴性,排除感染新冠肺炎,抗感染、利尿等综合治理后,患者未再发热,全身浮肿有消退,一般生命征尚稳定,3月1日复查肺CT提示双肺多发炎症,较前吸收减少,予以转回消化科继续专科治疗。整个过程顺利,患者及家属都表示满意。

莫某某,2月20日,因脑血管意外,急诊科筛查COV-2019核酸阴性后收住神经内科。患者入院后生活不能自理,给予胃管鼻饲饮食。此类患者多有吸入性肺炎,入院时NEUT高,给予常规抗感染后控制。2月27日复查肺CT显示右肺新发磨玻璃密度灶,感染性病变可能性大。如果是NCP ,势必会造成医护人员和在院患者感染冠状病毒的风险。隔离病房的院内专家及时给予指导,鉴于病史、肺CT变化及急诊科筛查病毒核酸阴性综合考虑,当时NCP的证据不足,考虑脑血管意外后会厌声门功能障碍容易误吸、胃管鼻饲后半卧位时间不够容易返流和平卧位后喜好右侧卧位容易返流到右侧肺等有关。建议给予单间隔离观察,加强气道和鼻饲管护理,定期翻身,给予针对性抗感染等综合治理,3月3日复查肺CT:新发感染灶明显吸收,第2次和第3次COV-2019病毒核酸检查结果均为阴性,随后解除隔离。

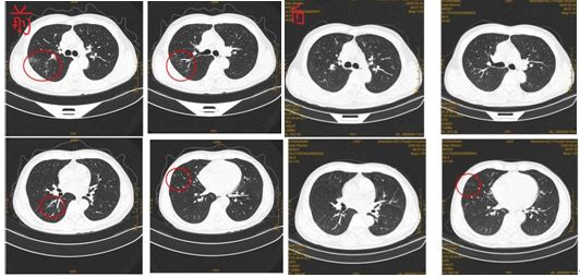
钱某某,1月17日耳鼻喉科就诊肺CT发现:右肺中叶及右肺下叶磨玻璃结节影,转到胸外科就诊。2月19日胸外科复诊复查肺CT:右肺新发感染性病变,病毒性肺炎可能;右肺中叶及下叶磨玻璃结节影,大致同前。而接诊的胸外科医生事后出现发热,不能排除该患者是NCP并传染给外科医生。因此,将该患者收到隔离病区进行筛查患者和经验性抗感染治疗。庆幸的是,该患者3次病毒核酸均阴性,按照支原体肺炎治疗后临床和肺CT均好转。发热的外科医生随后好转,病毒核酸检查结果也是阴性,虚惊一场。


类似这样事情,每天都会在隔离病房上演,面对疫情,我们一定会不辱使命,坚决完成任务,直到春暖花开、战"疫"最终胜利那一刻,用我们的专业和担当书写抗"疫"答卷。
供稿:深圳市第二人民医院呼吸与危重症医学科
深圳市第二人民医院健康宣教科