
作者:韩志安、丁明祥、谢兵、王泽群、赵东海
单位:中山市人民医院 脑血管介入科
病例资料
患者女性,41岁,以头痛伴呕吐10小时入院,入院后查体无特殊,神清,精神稍差,肌力5级,颈稍抵抗。头颅CT少量蛛网膜下腔出血。
诊疗过程比较曲折:历经2次造影、2次开颅、2次栓塞。
最后恢复良好,无遗留神经功能障碍。
三个月后DSA复查未见复发。
治疗节点
2018年1月24日:第一次SAH入院
2018年1月25日:第一次DSA造影,阳性但未栓塞
2018年1月31日:第二次DSA造影,阳性与第一次变化不大。
2018年2月13日:第二次脑室出血入院
2018年2月13日:造影见动脉瘤明显变大,行第一次行动脉瘤栓塞术。
2018年2月13日:动脉瘤栓塞术后,行第一次开颅—钻孔引流术。
2018年4月7日:第二次开颅—行脑室腹腔分流术
2018年5月4日:入院复查造影,见瘤颈复发,第二次行动脉瘤栓塞术
患者历经2次造影、2次开颅、2次栓塞
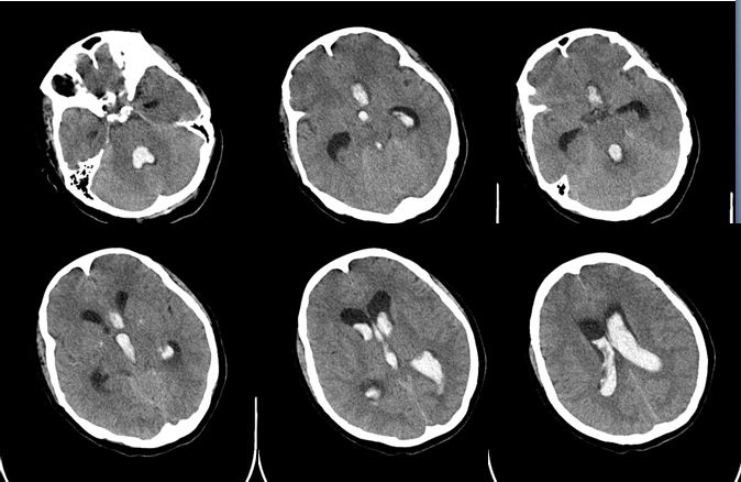
第一次出血入院CT

第一次1月25日 DSA—未行栓塞

第二次1月31日 DSA—未行栓塞(变化不大)

出院两周后,再次脑室出血入院
患者出院后一切正常,无特殊。
2018年2月13日下午突发:头痛、昏迷入院
查体:昏迷,GCS 8分,双侧瞳孔直径3mm,对光反射迟钝
辅查:CT左额叶见大小21mm×11mm血肿,脑室系统积血
2018年2月13日 CT

三次造影动脉瘤变化(相差三周时间)

2-13 —动脉瘤栓塞(瘤体明显增大)

钻孔引流术后CT

3-18 CT —脑积水

2018年5月4日,第二次支架辅助下栓塞

历经2次造影、2次开颅、2次栓塞

三个月后复查,未见复发,患者恢复良好

问题
反思:第一次造影发现小动脉瘤是否应即刻栓塞,以避免二次出血?
教训:两周内第二次出血,动脉瘤明显增大,怎样解释?
疑惑:第一次栓塞后,再次复查弹簧圈散开,原因?假性动脉瘤?
最终结果:复查造影动脉瘤未见复发,弹簧圈又回缩成一团。患者恢复良好。
