近日,第18期援圭亚那医疗队妇产科副主任江源(来自南京市鼓楼医院)在乔治敦总医院为一名83岁的患者实施了单孔腹腔镜卵巢巨大肿瘤切除术。面对这一几乎看不出手术疤痕的手术,患者家属更是连连称赞!


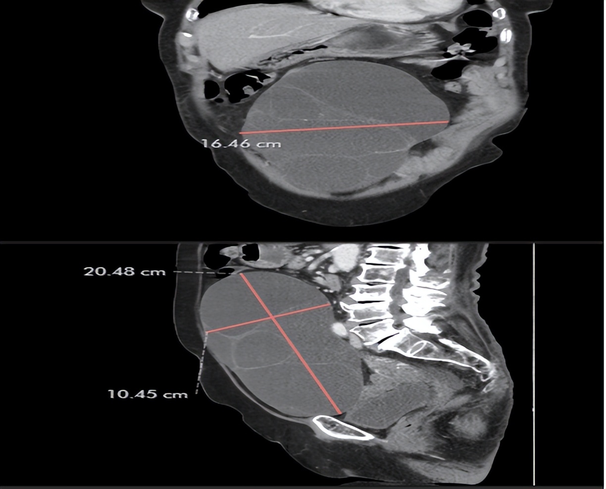
今年年初,患者因反复腹胀至医院检查发现腹部巨大肿瘤。后转至乔治敦公立医院进一步诊疗,查CT提示盆腔内巨大肿瘤大小20.4cmx16.4cmx10.45cm,相当于怀孕足月胎儿大小。当地医生计划实施开腹手术,但手术后会留有20cm的切口,创伤大。江源主任和医疗队影像科主任窦鑫一起会诊阅片后,分析认为患者虽然肿瘤巨大,但是其内部为囊液,可以进行单孔腹腔镜手术,先行吸除囊液,缩小肿瘤后进行卵巢切除,最大限度减少手术创伤。为了患者的后期快速恢复,江源主任与当地医生沟通后,决定采用经脐单孔腹腔镜下卵巢切除术。手术的切口选择了人体天然的皱襞——脐部,长度约2.5cm,吸除囊液约5000ml,成功的将该囊肿及卵巢切除。


由于是微创手术,患者术后恢复得非常快,术后第一天可以下床活动,第二天就恢复了正常饮食,第三天就出院休养!这么大的肿瘤,通过创伤小、恢复快的微创手术就轻松解决了,给当地医生也带来了很大的震撼,当地医生都纷纷给江源主任点赞,感慨道:“Chinese Doctor,Amazing!”

圭亚那因为长期缺少专业的宫腹腔镜培训,微创手术发展一直处于停滞状态,远落后世界平均水平。抵达圭亚那开展临床工作近4个月时间内,江源主任已经开展数十例各种妇科微创手术,短期内提升了当地医生腹腔镜技术。江源主任表示后期还将规划开展圭亚那腹腔镜技术培训班,进一步全面提高当地的微创技术,造福圭亚那民众。