南阳新野县52岁的冯女士,2020年8月份开始,经常间断性咳嗽,有时会有少量白痰。
最开始以为是感冒引起的,就去社区诊所瞧了瞧,开了几盒 苏黄止咳胶囊 服用。
吃了一段时间不见效,诊所就给加了消炎药 头孢地尼胶囊, 咳嗽依然不见减轻—— 一旦劳累或精神紧张,就容易咳嗽,就是话说多了,也很容易诱发咳嗽,晚上睡前,咳嗽尤为严重。就这样折腾了半年时间。
见诊所止不住她的咳嗽,怕拖下去引发肺部感染,她决定去县医院看看。2021年2月底,在当地县医院,被诊断出肺部小结节,并建议她随访观察三个月。
一听到这里,冯女士紧张了,额头上渗出冷汗。
医生见状告诉她,不必太过担心,结节一般都是良性,大多数肿瘤细胞按一定时间倍增,不会在三个月之内就长得很快,所以只要在医生指导下进行定期随访观察,密切注意肺部结节的变化,再决定采取相应的措施。

观察期正是中医介入的好时机
冯女士可不愿在未知的等待中,饱受担惊受怕的煎熬,她决定主动出击,寻求中医的帮助。
她其实并不懂,她只是歪打正着了,命中了一条积极的路——通常发现早期肺结节以后,现代西医学一般都是观察它的发展,然后再给出解决方案,基本是等到结节有变化再做处理。
而西医建议的这段观察期,如果采用中医疗法,就可以提前介入,充分发挥中医药的独特优势,对症消除或稳定肺结节,从而尽可能降低癌变的风险。
于是,就这么因缘和合,她在2021年3月中旬,找到了我。
我的诊疗过程
3 月18日,冯女士走进我的诊室,在我的询问下,开始给我描述她的症状——抛开前文说到的持续了半年之久的咳嗽,1个月前,她因感冒后,咳嗽加重,喉痒,干咳少痰,昼夜均咳,食欲不振,大便干结。
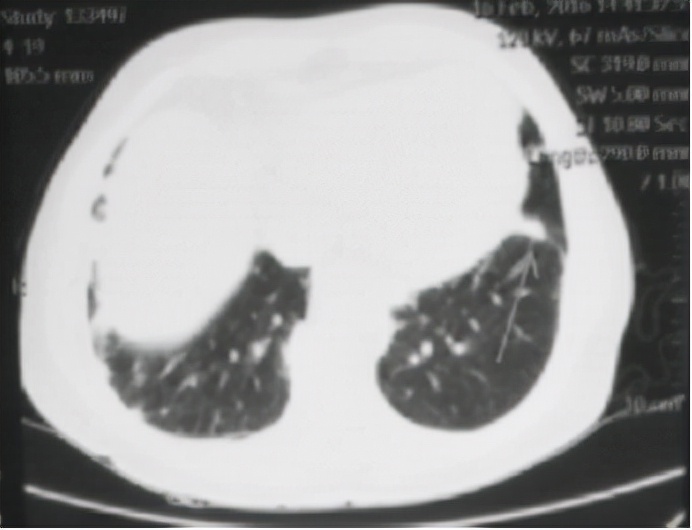
察看她随身带来的胸部CT报告,上面显示,两肺散在炎症,左肺下叶小结节 ( 见下图 ) 。

接着察看了她的舌象和脉象:舌偏红苔薄,脉小弦细。四诊合参我辨证冯女士为风痰犯肺,邪郁化热。治宜祛风化痰,清肺止咳。
处方如下: 桑白皮、桔梗 、法半夏、南沙参、生石膏、紫菀 、款冬花、炙麻黄、杏仁、炒黄芩、金银花、射干、葶苈子、瓜蒌皮、甘草等。共21剂,水煎服。
三星期过后复诊,冯女士说,服药后咳嗽大大缓解,咽中仍有痰,咯吐不畅,鼻塞不通,不闻香臭,大便干结。再次察看了她的舌象和脉象:舌质淡红苔薄白,脉小弦。治法仍以祛风化痰止咳为主。因热退,原方去石膏、金银花,加苏叶、牛蒡子和白芷,祛风、利咽、通窍。共14剂。
两周之后三诊,冯女士诉说,晨起仍有咳嗽,咽中有痰,咳吐不畅,鼻塞不通,大便干结,平素两眼干涩,视物模糊。舌红苔薄,脉小弦。辨证为肝肾亏虚,风痰阻肺,上实下虚。
因此转方以补益肝肾,祛风化痰,利咽通窍为治法。
方药:桑叶、杏仁、僵蚕、瓜蒌仁 、生地黄、桔梗、法半夏、紫菀、枸杞子、山萸肉、苏子、莱菔子、枳壳、远志、苍耳子 、炙甘草等。14剂,水煎服。
此后,患者坚持每半月一复诊,治疗总以补益肝肾、祛风化痰为主。治疗期间冯女士曾先后新添头晕、肢麻、牙痛、腰痛、皮肤红斑等症状,均随症状加减而愈。
2021年11月30日,冯女士复查胸部 CT;
①左肺上叶下舌段少许陈旧性病灶;
②前片所示左肺下叶小结节未见显示,考虑炎性结节吸收 ( 见下图 ) 。
结节吸收,一般人可能从字面意思上不太明白,让我来告诉你——它的意思就是说, 结核结节缩小或者消失了,冯女士再也不用担惊受怕了。
