腹膜后转移性淋巴结的增生或是复发往往会使得治疗功亏一篑,这对肿瘤控制及生存质量有很大影响。如果可以有效治疗腹膜后转移性淋巴结,患者将获得更长的生存期。腹膜后淋巴结切除通常是具有挑战性的,因为这些淋巴结通常位置较深,接近或侵犯周围血管系统、胆管、肠道或胰腺组织,使得手术风险增高,切除率减低。而外部放射治疗( external beam radiotherapy,EBRT) 通常受到周围正常组织或器官耐受性的限制,这使得先前对局部区域的放疗变得困难。此外,伴有腹膜后淋巴结转移患者的一般情况通常较差,因此姑息性化疗可能也不是最佳的补救治疗方法。
近距离放射治疗是许多复发性和转移性恶性肿瘤最有前途的补救治疗方法之一,在过去 20 年里得到了广泛的发展。影像技术引导下125I植入内照射治疗对腹膜后淋巴结转移瘤患者可以减轻转移瘤引起的症状,并且控制肿瘤发展,可延长患者生存期。其确切的疗效、较小的手术创伤、较低的并发症尤其适合于不适合手术、化疗或放疗的患者。
典型病例
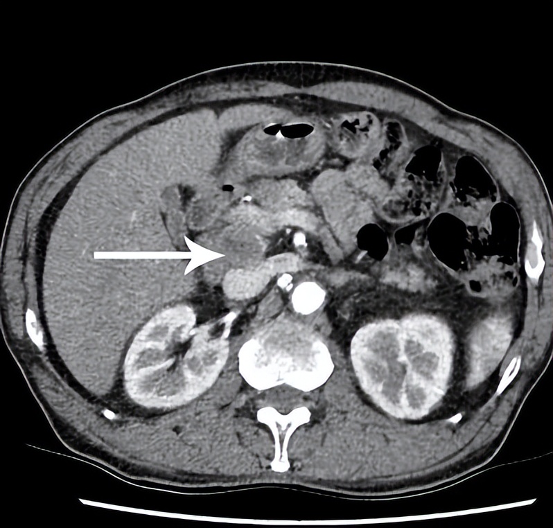
患者,陈某,食管癌动脉化疗栓塞术后2年余,患者复查时发现肝门部淋巴结肿大。为求进一步治疗转移淋巴结,选择放射性粒子植入治疗。

术前CT显示肝门部淋巴结转移瘤的位置(箭头),淋巴结直径大于2cm

DynaCT导向下,采用粒子植入针,经皮、经胃穿刺至靶肝门部淋巴结。

穿刺到位后,根据内放疗计划,透视下植入放射性粒子15颗。

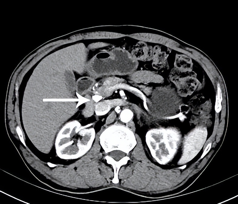
术后半年复查,淋巴结完全消失,仅见粒子聚集影。