局部消融是续外科切除、放疗、化疗之后的又一杀灭肿瘤的利器。其核心要义是精准,在影像(CT、超声为主)的引导下将消融针准确刺入病灶的合适部位,利用物理的、化学的,热的、冷的作用杀灭肿瘤。消融的种类和原理参见《肿瘤消融的*器武**有那般》。
与传统外科的开膛剖腹不同,消融治疗的显著特点是微创。把大切口转变为小针眼,最大限度减少对人体“元气”的扰动。目前在肝、肺、骨与软组织等实体瘤的应用十分成熟。

病历1。女,47岁,8年前右乳癌手术,后长期内分泌治疗,罹患脂肪肝。2017年11月来诊,磁共振示肝右叶第V段2.2cm病灶。行穿刺活检,病理证实为高分化肝细胞癌。予以肝动脉化疗栓塞联合射频消融。术后连续磁共振随访,病灶彻底毁损。至今无瘤生存。注意,术后的磁共振或超声会描述“病灶较前明显增大”,这并不是进展,本来就要求毁损范围要大于病灶,只要消融区始终无强化就说明彻底毁损了。

病历2。男,22岁,自幼罹患乙肝,未规律治疗。2020年8月来诊,磁共振提示第VI段直径3.4cm病灶,甲胎蛋白升高42.26μg/L。2020年9月行肝动脉化疗栓塞序贯微波消融。术后病灶彻底毁损。该患者不如病历1幸运,稳定16月后,202201复诊第VIII段出现新病灶。不过不要紧,消融的微创性决定了其可重复性,近期再次予以微波消融。这个病历说明,所谓的根治是指彻底毁损已经形成的病灶,但并不改善肿瘤发生的环境(深层次原因),因此有复发风险,要定期复查。

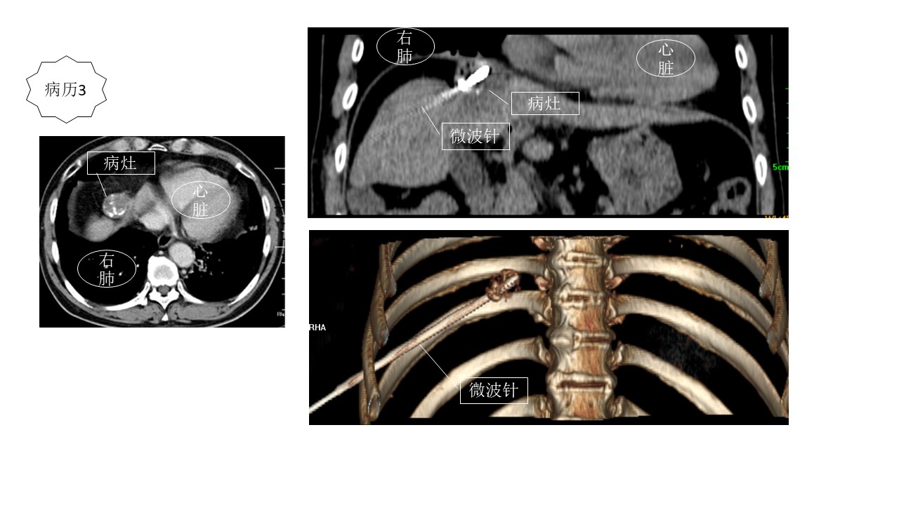
病历3。男,58岁,乙肝、肝硬化、肝癌。外科切除后复发。病灶位于膈顶,紧邻心脏,且被右肺包饶。我们利用电磁导航系统,从右肋下倾斜穿刺,准确布针,彻底消融。

病历4。女,66岁,过分养生保健,恐惧肿瘤。频繁中药灌肠,致肠穿孔。外科手术修复,致输尿管损伤,肾积水。遂行肾造瘘。因新冠疫情,入院前需胸部CT检查,无意中发现右肺毛玻璃结节。体质虚弱,难以耐受外科手术。遂在影像引导下,行肺活检+微波消融。术后病理为腺癌,病灶彻底毁损。

病历5。女,23岁,左胫远端骨样骨瘤。此为良性肿瘤,但可导致疼痛,尤以夜间痛明显。虽然口服水杨酸类药物可缓解,但长期服药伤胃。2013年01行CT引导的射频消融,术后疼痛消失。这么小的病灶,藏在骨皮质下,外科手术不仅损伤大,还很难找到。但影像引导的消融可精准布针。

病历6。男,90岁,PET/CT提示右胸壁肿块,伴多处淋巴结肿大,疼痛难忍。穿刺活检,病理为恶性间叶源性肿瘤。行微波消融后,疼痛缓解,肿块张力减轻,缩小。此为姑息性治疗,以改善症状为主。
