膝关节作为人体重要的活动、承重关节,只要它出现问题,我们将无法完成日常行动或者出现某些功能障碍。
在医院中,常常有一些中老年朋友,他们年龄集中在50、60岁,都是腿部疼痛,而且疼的方式类似。都是走平路时膝关节不怎么疼,或是根本毫无症状。但是只要一上下楼梯、蹲起的时候,膝关节就出现剧烈疼痛,有时还伴随着清脆的声音,十分影响生活。

这到底是为什么呢?是病吗?医生一文说清。
一,这种莫名的疼痛是怎么回事?
为了回答这个问题,首先我们来了解一下我们的膝关节。在膝关节前方,又一块小小的游离骨,它的名字就叫“髌骨”。别看这块骨头小小的好像不堪重用,但是我们能站起来,可全靠这块骨头。
历史上杰出的军事家孙膑遭受同门嫉妒和陷害后,被挖掉的就是两块“髌骨”,从那以后,孙膑就丧失了站立的能力,可想而知髌骨对直立行走有多么很重要。

当人体中完成“站立”的动作时,膝关节需要完成以下动作,第一,股骨远端在胫腓关节组成的关节盘上的半月板上向后滑动。第二,胫骨向前滑动。这两个过程中如果去掉了髌骨,那么股骨就会直接脱臼,人也无法站立。
当人体蹲下时,股骨远端向前滑动、胫骨向后滑动,如果没有髌骨在前方充当屏障的作用,我们的股骨也会脱臼,依旧无法站立。
同时,髌骨也在运动中保护我们的股骨和胫骨,减少骨头的过度活动、磨损,避免膝关节脱位。
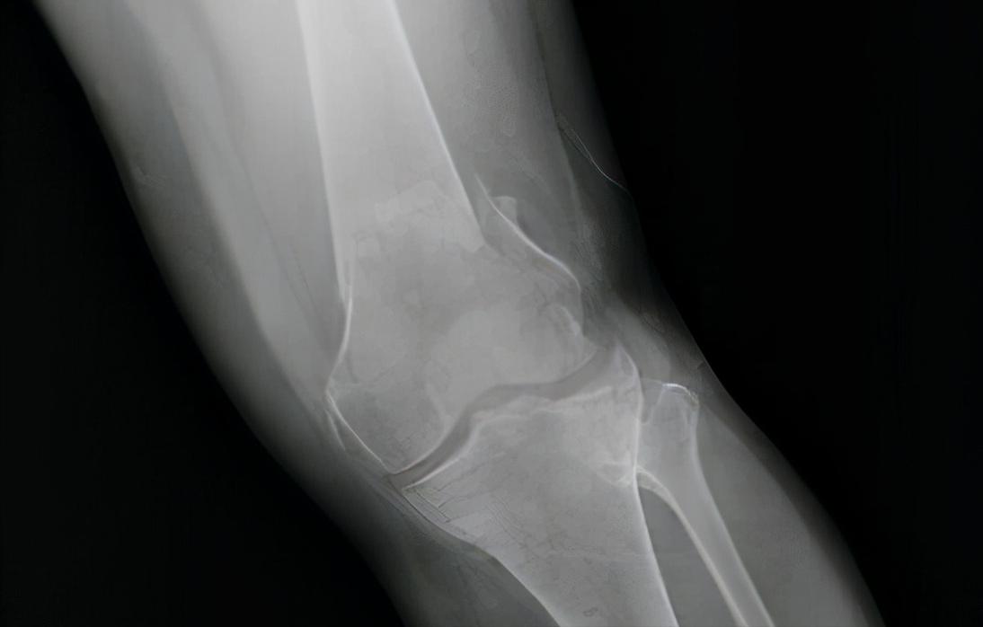
而来医院求医问药的老大爷、老大妈们有什么问题呢?做了CT后我们发现,他们的髌骨关节的软骨在积年累月的股骨撞击下,只剩下薄薄的一层了,股骨远端已经和髌骨“撞”在了一起,因此当他们上楼梯时,才会有清脆的骨摩擦的声音。

而且,我们还能在他们的影像上,发现它们股骨的远端有一些淡白色的凸起。没错,那就是骨质增生,也被称为骨赘。
不过这种属于生理增生,不属于疾病的范畴,出现骨赘的原因是长期的骨与骨之间的碰撞摩擦,导致这个地方的成骨细胞和破骨细胞异常活跃,最终长出来一小块“骨赘”,然后这块骨赘在患者活动的时候卡压神经、软组织、血管,这能不疼吗?
患者在走平路时缺乏股骨远端和髌骨的撞击,因此没有任何症状。可是等到他们上楼梯的时候,骨刺和髌骨就撞到了一起发生了摩擦,患者就出现了剧烈疼痛。

二,什么样的人群容易得这种病?
经过临床统计,以下几类人需要小心或者预防骨赘磨损髌骨的问题。
1,马拉松运动员、爱好者
这类人入选的原因很简单,就是对膝关节的过度索取。当人们长期处于奔跑的状态时,髌骨和股骨远端以及胫骨之间的摩擦非常严重,因此有医生作出忠告,如果一个人从三十岁左右迷上跑步,每天跑半个小时,那么大约十年后,他的膝关节很有可能会报废。
即使最终报废的原因不是骨赘增生,也会出现前后交叉韧带断裂、半月板磨损的问题,所以马拉松爱好者、运动员,长跑运动员等和跑步相关的人员需要经常保养、关注自己的膝关节。
2,长期从事蹲起、负重的工作者
人体重量的90%每天都要积压在膝关节之上,因此当我们做功时,瞬间产生的压力对膝关节来说非常巨大。有科学家研究过,当我们跑步时,膝关节承受着大约三倍体重的重量,当我们做深蹲时,膝关节承受的重量是体重的7倍,如果负重做深蹲,那么膝关节承载的重量可以达到10倍以上!

因此经常从事蹲起工作的从业者很废膝关节。在2021年的奥运会中,中国体育健儿、举重界一哥石智勇轻松锁定胜局,但是从未有人想过他的腰椎盘和膝关节承受了多少它不该承受的重量。
据石智勇所说,他每天热身的重量是120公斤,可想而知他的膝关节每天要产生多少磨损。
所以举重界也是膝关节出问题的重灾区。还有那些长期蹲着的电焊工人、码头运货工人、挑担工人等都是该问题的高发人群。
3,女性
很多时候,我们发现女性是骨赘产生并且引发疼痛的主要人群,原因可能和她们经常做家务有关。
擦地板、叠衣服的时候一些女喜欢长时间跪坐在沙发上、地板上,还有些女性依旧选择蹲着洗衣服,久而久之她们更高发这种生理病变。
当然,一些女性热爱的运动也会导致这类问题的产生,比如瑜伽。瑜伽运动要求女性做各种折叠式运动、盘腿运动,久而久之会导致髌骨、股骨关节的磨损。

三,出现问题后该如何治疗?
最好的治疗当然是预防。如果你正在从事或者即将从事上文提到过的磨损膝关节厉害的职业,那么请你从现在开始关注自己的膝关节,减少做伤害它的动作,也可以购买一些膝关节营养液,为期补充必要的营养物质。
如果无法预防,让膝关节进入了磨损早期,该怎么办呢?
患者此时最明显的症状是上下楼梯时的膝关节疼痛,该症状出现后,患者应当减少不必要的上下楼梯减少膝盖磨损,也可以选择住底层楼房或者住有电梯的高层楼房。如果患者症状较轻,我们建议患者积极做康复运动,以此强化膝关节周围的肌肉,分担髌骨的压力。
如果进入了中期,那么此时患者的典型症状为久站、步行后均会出现髌骨区域的疼痛,且在影像图片上看到有骨赘的形成,那么此时应该选用打封闭针止痛,或者补充玻璃酸钠等方式及时处理,止痛后再想办法恢复膝关节的功能。

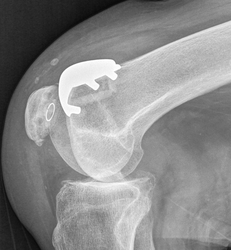
如果不小心步入晚期后,患者的疼痛只会更加强烈,此时患者只要产生运动,膝关节就会传来剧烈的疼痛,而且骨赘的增大还会影响患者膝关节的活动度。到这时,医生会建议你手术消除骨赘,或者采用髌骨关节置换手术一劳永逸。
总而言之,膝关节磨损还是要以预防为主,治疗为辅,希望大家都能拥有一个健康的膝关节。