前言:
PCR方法是用不同菌株或基因型的已知DNA样本建立的,为了简化细粒棘球杆菌复合体的基因分型,我们开发了一种 单管多重PCR (mPCR),可以直接在煮沸的包虫液或碱性裂解的冷冻或固定的原始头节上进行,从而避免了经典的 DNA提取 。

以顺序方法建立mPCR,使用标准化的已知模板DNA和特定引物对开始,掺入其他引物对。在所有基因型/菌株特异性DNA样品上,每增加一个新的引物对进行PCR,以确认特异性,同时调整引物的摩尔量,以达到相当的扩增子强度。

为了减少可变参数并允许在实验之间进行比较,使用 DNA聚合酶 的基本mPCR条件:首先在94°C下持续3分钟,然后进行 25个循环 ,每个循环中在94°C下持续30秒,56°C下持续30秒,72°C下持续30秒,最后在5°C下延伸步骤持续72分钟。

使用这种设置,通过在mPCR混合物中添加不同量的模板DNA来确定灵敏度范围,mPCR的特异性通过以下方式进行测试:
(i)增加 PCR循环次数 ,(ii)使用来自不同棘球蚴基因型/菌株的混合DNA模板,(iii)
使用密切相关的绦虫属的模板DNA,或(iv)添加来自牛胸腺或狗粪便的外源DNA。

为了排除实验室特异性条件,在两个不同的实验室对13个样本进行了mPCR基因分型。为了评估来自不同材料的潜在问题,该系统使用来自不同DNA聚合酶进行了测试。
通过对42份已知来源和基因型的细粒桦虫复合物样品进行基因分型,进一步验证了mPCR性能, 随后对153份未知DNA样品进行了基因分型 。

此外,对从受感染狗的粪便中分离的棘球蚴卵中提取的DNA评估了mPCR,开发了直接对新鲜原头节(冷冻或固定)或包虫液进行mPCR的方法。
底漆设计
假设引物的设计是基于以下假设:一个特定的3′碱基足以导致基因型特异性扩增,因为Taq聚合酶缺乏3′–5′的校对活性,我们选择了引物,这些引物与菌株特异性结合上述靶标。
如果可能的话,我们选择含有一个以上 特定3′碱基的引物 ,但最终组中的五个引物与靶向核序列相匹配,只有一个碱基差异。
由于 基于单核苷酸多态性(snips) 的基因分型容易受到突变的影响而出错,因此我们为所有细粒埃氏杆菌复合物成员选择了两种基因型/菌株特异性探针。

我们还选择了另外两个探针:一个用于所有细粒棘球蚴复合体成员的通用探针,另一个用于全面检测所有已知棘球蚴物种, 包括细粒棘球蚴复合体、多房棘球蚴、沃格利棘球蚴、寡头棘蚴和希基库斯棘球蚴 。

因此,通过确定(i)棘球蚴属,(ii)与细粒棘球蚴复合体的隶属关系和(iii)复合物中的特定菌株或基因型,我们可以对每个样品进行三个级别的分化。
对于所有引物,我们选择了约55°C的Tm,并且对于每个引物对,预计需要不同大小的PCR产物,以便通过2%琼脂糖凝胶电泳轻松区分扩增子。

表1中列出了本研究使用的最终22种引物的完整列表,包括名称、mPCR混合物中的摩尔浓度、最终产物大小、 特异性(基因型)、引物序列(包括多态性位点)、引物长度、 靶基因(基因标记)、已发表的DNA靶序列的入藏号以及引物序列在其靶标中的相应定位。

移动链反应条件
最终mPCR的反应混合物包括100μM dNTP和0.05单位μl-1GoTaq DNA聚合酶,溶于1× PCR缓冲液(均为Promega),混合物中含有22个针对11个靶标特异性的引物,其摩尔浓度详见表1,对于标准基因分型,将5 ng的模板DNA添加到PCR混合物中。

每个反应在20μl的PCR混合物单管中进行循环条件如下:首先进行初始变性步骤,在94°C下持续3分钟,然后进行25个循环(94°C-30秒,56°C-30秒,72°C-1分钟),最后进行延伸步骤,在5°C下持续72分钟。
通过将2μl的PCR产物在10%琼脂糖凝胶中进行电泳分离,并通过溴化乙锭染色和随后的紫外激发进行可视化。
基因型特异性扩增子谱显示在图1中。mPCR的条件是根据预实验结果描述的,除非另有说明, 否则这些条件将从头到尾一直使用 。

DNA样本,DNA提取和DNA标准化
在含有 500 μM dNTPs和100.0单位μl的PCR混合物中 ,以05 nM的浓度添加一对针对细粒埃氏埃克罗丝复合物基因型/菌株具有理论特异性的单个引物对,该混合物中包含11× PCR缓冲液中的GoTaq DNA聚合酶。
作为模板,添加了5 ng相应标准化的DNA(DNA标准化和模板生成见下文)。每个PCR反应在20.0 ml的PCR管中进行,最终体积为2μl的PCR混合物。循环条件如下:首先进行初始变性步骤,在94°C下持续3分钟, 然后进行25个循环 (94°C-30秒,56°C-30秒,72°C-1分钟),最后进行延伸步骤,在5°C下持续72分钟。

接下来,在相同的条件下筛选产生单一和清晰的基因型特异性扩增子的引物对,以寻找其他基因型/菌株上的非特异性扩增产物。
使用相同的方法,测试检测所有棘球蚴属或仅检测细粒棘球蚴复合物成员的引物对,在此步骤中,被发现导致非特异性扩增子的引物对被丢弃,或通过去除5′-碱基来提高特异性,从而降低退火温度。

PCR的操作步骤如前所述,并根据表1选择了最终的 22个特定扩增子 的11个引物进行进一步研究。
在第二组初步实验中,将不同量的模板 (10 pg、100 pg、1 ng或5 ng) 添加到PCR混合物中,并应用25、30或40个PCR循环,以测试所选单个引物对的灵敏度和特异性范围,选择了使用25个循环和25 ng的模板DNA来建立mPCR。

在第二组初步实验中,通过将10 pg、100 pg、1 ng或5 ng的不同模板添加到PCR混合物中,并应用 25、30或40个PCR循环 ,测试所选的单个引物对的灵敏度和特异性范围,在具有5个循环的PCR设置中选择25 ng模板DNA来建立mPCR。

敏感性评估
通过改变标准mPCR混合物中包含所有22种引物的测试面板细粒E. granulosus复合物DNA的模板浓度来确定该方法的灵敏度。
为了进行该实验的读数,少量不同浓度的模板DNA必须产生清晰可见的条带,而大量模板则不应产生额外的或污迹状的产物。
这些前提条件和定义,我们确定了可行的模板范围, 从而产生了清晰的基因分型模式 。

特异性评估
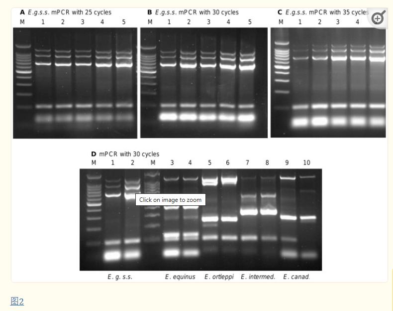
为了测试超过25个PCR循环对结果的影响,我们使用了不同棘球蚴菌株的5和250 ng模板DNA进行单独的mPCR实验。
这些mPCR实验分别进行了25、30和35个扩增循环,之后通过凝胶电泳筛选扩增子,以检测在循环数范围内可能出现的涂抹或非特异性产物,从而获得清晰的基因分型模式。

为了评估单独进行的mPCR实验中是否存在宿主源性污染,我们将5 ng的标准化细粒棘杆菌(G1)测试面板DNA(样品A部分)与两种不同浓度(1∶1至1∶200)的外源DNA(样品C部分)混合。
如果出现清晰可见的特异性扩增子,并且没有出现非特异性PCR产物,则说明基因分型是成功的。

mPCR 的灵敏度和特异性
研究中使用了不同浓度的细粒埃希菌复合物模板DNA(0.1 ng–1 μg)来评估mPCR的灵敏度,结果表明, 为了成功检测所有成员,需要使用5–250 ng的模板DNA 。
当使用较低或较高量的DNA时,可能会导致一些PCR产物的缺失或非特异性扩增,在推荐的模板DNA量范围内,检测限的确定在很大程度上取决于物种。
在某些实验中,使用较低量的DNA(0.1-5 ng)已足够,但这仅在使用高质量DNA的情况下才能实现(参见图3A)。

通过四种方式研究了mPCR测定的特异性:(i)增加PCR循环次数;(ii)使用来自不同棘球蚴基因型/菌株的混合模板DNA;(iii)应用密切相关的绦虫属的模板DNA;(iv) 添加源自牛胸腺或狗粪便的非相关 DNA。
增加循环次数对mPCR的特异性有影响,在应用高达250 ng归一化模板DNA的情况下,在25个扩增循环中 实现了特定的条带模式 ,但如图2,增加的周期数仍然允许基于最突出的条带进行基因分型。
在某些基因型中,应用30个或更长时间会导致涂抹或非特异性扩增子,所以对于mPCR,建议使用25个扩增循环。

为了测试与密切相关的绦虫种属的交叉反应性,使用10 ng模板DNA对 鼠绦虫、猪带绦虫、绦虫、绦虫和毛茛 进行mPCR,如图1C(泳道4-8)没有指示非特异性引物结合的产物扩增。
模拟从metacetodes或E. multilocularis卵中分离DNA期间发生的污染,将5 ng标准化的细粒E. s.s.(G1)DNA和来自 牛胸腺或犬粪便 的不同数量的DNA以不同的口粮混合,如图4,mPCR耐受200倍过量的外源DNA(图4).

使用新鲜、冷冻或固定材料的mPCR应用
为了避免耗时的DNA提取步骤, mPCR直接对包虫液(HF)和原头节进行了测试 ,当这些样品未经任何预处理直接使用时,mPCR失败。
对HF进行加热并离心,使用1-3μl上清液进行mPCR,可以扩增出完整的马蹄杆菌(G4)特异性条带谱。
使用包含较低或较高量的煮沸的HF上清液,或者包含新鲜、冷冻或固定的棘球蚴组织,并不能导致mPCR扩增产物(见图A;数据未显示)。

然而,采用碱裂解方法处理样品可以有效地对冷冻和/或EtOH固定的样品进行基因分型,但无法对固定在4%甲醛中的原头节进行基因分型。
当使用2μl稀释 1∶8或1∶10 的来自冷冻原头节的碱性裂解上清液进行mPCR时,可以检测到完整的细粒埃希菌s.s.(G1) 特异性条带模式 (见图B)。

使用2μl稀释1∶2或1∶4的EtOH固定原头节上清液可以检测到明显扩增的细粒埃希氏埃希菌(见图5C),超出这些条件范围的情况下,特定目标的扩增可能不完整或缺失。

需要注意的是,钙小体会干扰PCR,当固体棘球蚴材料离心后,位于管底部的钙小体未包含在沸腾或碱性裂解步骤中时,可以获得最佳结果。
结论:
通过应用包虫液或细胞棘球蚴材料作为mPCR的模板,该测试方法可以进一步降低对细粒棘球杆菌复合物进行基因分型的时间和操作难度。传统方法使用染色体DNA进行分型,而mPCR的使用明显简化了细粒棘球杆菌复合物种和基因分型这一相对复杂的任务。因此,这种方法是未来常规实践中的有用工具。

参考文献:
【1】 Hüttner M, 《非洲狮猫棘球蚴(Cestoda:Taeniidae)的遗传特征和系统发育位置》
【2】汤普森,《走向棘球蚴属的分类学修订》
【3】 Scott JC,《波兰人囊性包虫病例的分子遗传学分析:粒棘球蚴新基因型组 (G9) 的鉴定》
【4】 Saarma U,《基于核数据的棘球蚴属的新系统发育挑战了基于线粒体证据的关系》