肺部GGO(磨玻璃结节)有误诊的可能性吗?

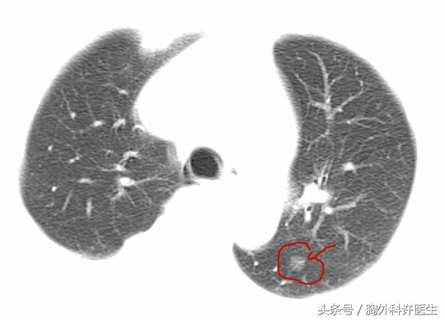
左下肺磨玻璃结节
首先需要说明的是,肺部GGO是肺部磨玻璃结节的英文缩写,是指影像学所见,并不是疾病性质的诊断,所以,从这个角度而言,GGO这个诊断只是确定在患者的CT片上可以见到磨玻璃结节,这点是明确的,不存在误诊之说。
对于磨玻璃结节而言,确定存在只是第一步,明确性质,指导后续随访或治疗建议才是最重要的。无论是医生还是患者,更关心的应该是这一点。
如果就GGO的性质诊断和实际的病理诊断而言,存在误诊就在所难免了。

先说说磨玻璃结节的几种常见病理性质吧。
一 炎症性结节
无论急性炎症还是慢性炎症,都有可能在清晰的肺野中出现局限性的斑片状阴影,如果表现为类圆形,就可以被当作磨玻璃结节。
两者区别在于,急性炎性GGO经过抗炎治疗后可以吸收消失,而慢性炎性GGO对抗炎治疗没有反应,会长期存在。
这类GGO虽说起因在炎症,但由于范围局限,不会表现出发热、咳嗽咳痰等呼吸系统感染症状。
二 不典型腺瘤样增生
简称AAH,是指肺泡壁和肺泡间隔增厚,正常的腺泡上皮细胞形态发生改变,肺泡部分萎陷,含气量减少。
AAH属于肺腺癌的一种癌前期病变,需要严密观察。但考虑AAH不代表它一定会发展到腺癌阶段。
三 肺部原位腺癌
简称AIS。肺的原位腺癌是指癌细胞沿着肺泡壁贴壁生长,没有影响到其他结构。
原位癌也属于浸润前期病变,关键是“原位”,待在老地方,没有“浸润”出去。再通俗点,原位癌就是刚开始萌芽的癌。
四 肺部微浸润腺癌
简称MIA,是一类早期肺腺癌(≤3cm),主要以贴壁方式生长,且病灶中任一浸润病变的最大直径≤5mm,不伴有浸润胸膜、血管、淋巴管或肿瘤性坏死。
MIA是肺癌从浸润前期病变(不典型增生和原位癌)向浸润性腺癌发展的中间阶段。
五 浸润性腺癌
这类磨玻璃结节一般有较多实性成分,已经正儿八经发展到腺癌这个阶段,它的大小、淋巴结情况、胸膜累及情况等综合构成其肺癌分期。
上面说到的这些病理诊断都有可能是磨玻璃结节(GGO)的真实身份,但是,仅从CT片的判断,即使有经验的胸外科专家也不能百分百保证能说对,最后的结论都得病理这个“金标准”说了算。
看片子最主要的目的其实是筛选可疑病例,一般来说,只有可疑病例,医生才会推荐手术。

那么,怎么拿到病理诊断呢?
对于GGO而言,可靠的病理诊断就是手术切除后的病理报告,穿刺标本误诊率高,不推荐。
这样看来,对于可疑的GGO来说,要么继续随访,继续猜测;要么下决心手术切除,让病理揭晓谜底。有些随访可能耽误病情,有些手术可能因为误诊造成过度治疗,这是现实。
真正的问题来了,既然不是每个病例都能拿到病理报告后再去手术,如果考虑GGO是癌前病变或者早期癌,推荐去做手术,手术后的病理报告为良性病变,这种情况是存在的,而且不少见。关键在于患者术前对病变的充分认知,医患之间充分交流,对可能的结果做到心中有数,才能坦然应对。
面对这种抉择,最考验一个人的思维方式了。其实,说出来也很简单,拿个天平衡量一下吧,是承担病变进展的风险还是承担微创手术的风险,哪个对你更难接受?
