
人的一辈子会长出两副牙齿, 一副是乳牙,另一副是恒牙。 乳牙是人类的第一副牙齿,除了行使咀嚼功能外,还起着引导颌骨、恒牙发育、建立正确咬合关系等重要作用!
“口腔健康 全身健康”!
遗憾的是,
我国儿童龋齿患病形势不容乐观。
1岁娃刚萌出的牙齿全烂掉 竟因妈妈孕期缺营养
前不久,四川大学华西口腔医院儿童口腔科的邹静教授门诊上,就来了一位非常让人心疼的小患者。

(图源:123rf)
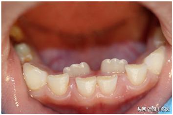
家住成都的佑佑(化名)才一岁零5个月,刚刚长出4颗牙齿,但就是这仅有的4颗牙齿让他的家人忧心不已。据佑佑妈讲:佑佑刚长牙齿时和别的孩子没有两样,但是很快,儿子洁白的小牙开始变黑,然后开始崩裂、一块一块脱落,这下家人慌了,才带他到医院求治。
经过邹静教授仔细的检查和问诊,佑佑被确诊为重症低龄儿童龋病。可这么小的孩子为什么会患有这么严重的龋病?家人百思不解。
本文专家

(点击查看大图)
邹静教授解释:很大的可能是佑佑妈妈孕期缺营养!佑佑现在口腔中的牙齿,是在妈妈孕期8~12周的时候开始形成和钙化,如果妈妈妊娠反应重、吃不进东西,钙磷、蛋白质缺乏,孩子出生后萌出的乳牙对龋病的抵抗力就差,就会导致佑佑这样的易患龋风险。
“如果这个娃娃的龋齿不治疗,会越拖越严重,进而导致牙髓感染、根尖周疾病的发生,破坏牙槽骨,甚至 影响后面恒牙的萌出及对龋病的敏感性 !这样使用一辈子的恒牙,就有可能一个接着一个地烂下去……”邹静教授说道。
龋齿不是“小病”,3岁童有一半都遭了
龋齿, 俗称蛀牙、虫牙,是由于细菌感染等多种因素作用下,牙齿发生的慢性、进行性破坏。
龋齿发生的四个关键因素是:易感的牙齿、食物中的糖、致龋细菌和作用时间。其中食物中的糖为细菌提供了生长代谢的底物,是龋病发生最关键的因素。

(图源:123rf)
据邹静教授介绍:2015-2016年第四次全国口腔健康流行病学调查资料显示,我国3岁组儿童的患龋率达50.8%,5岁组儿童患龋率更是高达71.9%,5岁组比2005年上升了7.8个百分比,十年前才66%,儿童患龋率呈低龄化、上升态势,儿童龋病预防工作任重道远。
“乳牙反正都会换掉,患了龋齿不用治”?
那么儿童龋病为什会呈上升、低龄化趋势?邹静教授表示:这和家长的认识误区有非常大的关系。

(图源:123rf)
比如现在有很多家长认为“反正孩子要换牙,乳牙烂了,等着它换就好了”、“孩子不吃糖就不会有‘虫牙’了呀”!其实这些都是家长们认识的误区。因为乳牙的健康与否,不仅直接影响着恒牙的萌出和身体生长发育,甚至会影响到孩子的颌面部骨骼发育,进而影响颜值!

健康的乳牙不仅有利于娃娃正常咀嚼、正常的营养吸收,还有利于孩子学习说话和发音,如果牙齿烂了说话漏风,说话就说不清楚。再说牙齿被蛀成“小黑牙”也影响美观,尤其前牙区的严重龋蚀会给儿童的心理造成一定的负性影响。因此乳牙如果出现龋齿,一定要及时治疗!
预防龋病第一做好口腔清洁,第二增强抵抗力
邹静教授介绍:孩子要预防龋病,可以从两个方面着手,第一有效清洁牙齿,第二增强牙齿抵抗力。乳牙的抗龋力来自于妈妈孕期的全身健康、良好的饮食和口腔卫生习惯,恒牙的抗龋力则来自于孩子出生后的全身健康状况、健康的乳牙列、从小培养的良好口腔卫生习惯及饮食习惯。

不同年龄段儿童如何进行口腔保健?
1.备孕期
孕妈妈采用正确的刷牙方法早晚刷牙 (巴氏刷牙法了解一下↓↓) ,使用牙线,提前管理口腔健康。给自己留半年时间,处理好自己嘴巴中没有治疗的虫牙、长不出来的智齿,再顺便进行一个牙周的基础洁治,免得怀孕时打急抓。

(巴氏刷牙法要点 制图:云云)
2.怀孕期
合理补充维生素、矿物质及优质蛋白质。有些妈妈在孩子长虫牙后总抱怨,哎呀, 为啥我家孩子从来不吃糖或者每天都刷牙还是长虫牙啊! 这可能和孕妈的 全身健康、口腔健康 有一定关系哟 一旦发生孕期牙齿疼痛,记得去找牙医处理哦。盲目的忍痛和用药会危害自己和宝宝的健康。 如果孕期出现牙龈肿胀,可选择孕中期进行牙周治疗,但尽量避免全身应用药物。可进行牙体牙髓疾病治疗,但尽量避免剧烈疼痛而诱发流产和早产。
3.婴幼儿的口腔健康管理
首先需要明确的一点是,婴幼儿的牙齿刚刚萌出口腔时其矿化程度还不完善,非常容易因为不正确的喂养方式或者家长的忽略而出现龋坏。
这句话的意思是: 一旦牙齿萌出就可能长蛀牙!
牙齿萌出前: 应该使用正确的喂养姿势,喂奶后清水清洁口腔,每天早晚用干净的湿纱布或戴乳胶指套擦洗宝宝的嘴巴里面,让宝宝每天都沐浴在fresh的感jio里。
牙齿萌出后:1岁前停止奶瓶喂养。
实在不行就18个月停止。每天早晚使用合适年龄段的婴幼儿牙刷帮助宝宝刷牙。 在宝宝萌出第一颗牙齿时,带他/她去看儿童牙医并进行龋风险评估, 龋风险结果分为高中低三档,根据结果来选择是否使用含氟牙膏。

在宝宝还不能站立时, 用 如图↑ 这个姿势帮他/她刷牙,一是为了好刷,二是为了固定孩子扭来扭去的身体。
4.学龄前及学龄期的儿童口腔健康管理 学龄前期是乳牙龋坏的发生高峰期。 5、6岁左右,六龄牙——第一恒磨牙萌出。这是第一颗新长出来的恒牙,而不是被替换掉的乳牙,常常被认为是乳牙而受到忽视。当孩子的六龄牙萌出后,带他/她去做窝沟封闭。
坚持培养良好的饮食习惯, 多吃富含纤维的食物,不要像老年人一样吃得软糯糯,会不利于颌骨发育,颌骨发育不够、长牙齿的空间不够,就会造成歪瓜裂枣的牙齿排列,就会出现现在临床上经常见到的新牙长出来,乳牙还没掉的情况。
注意纠正学龄前儿童的口腔不良习惯, 如吮指、咬下唇、吐舌、口呼吸、偏侧咀嚼等,避免因为这些不良口腔习惯引起的错合畸形的发生。

口呼吸不良习惯引起的上前牙前突(龅牙) ↓↓

家长需要站在儿童身旁或身后协助刷牙到6、7岁, 对于中-高龋风险的孩子,建议使用豌豆大小的含氟牙膏刷牙,并帮助孩子每天使用牙线清洁牙齿邻面。


带你认识中国第一个儿童口腔专科
作为中国第一个儿童口腔专科,华西口腔医院儿童口腔科成立于1948年,并于2013年获批为国家临床重点建设专科,同时也是中国西部儿童口腔疑难病诊治中心,中国儿童口腔专科医师规范化培训基地,中国儿童口腔医学继续教育培训基地,中国儿童口腔医学研究的GCP中心。

(图源:123rf)
学科亚专业涵盖儿童口腔常见病及疑难病,在全国率先设立儿童错合畸形早期矫治特色门诊和运动护齿特色门诊。
诊疗范围包括: 建立儿童口腔健康档案,儿童乳牙及年轻恒牙各型龋病、牙髓病及根尖周疾病、牙发育异常及各型牙外伤的序列治疗,乳牙早失间隙管理,儿童口腔不良习惯破除,儿童乳牙列及混合牙列错合畸形早期矫治,咬合发育管理及年轻恒牙列的正畸治疗。
针对特殊儿童、低龄不合作及齿科恐惧儿童的全麻/镇静下儿童牙病综合治疗,儿童多生牙、阻生牙拔除术,儿童唇舌系带修整等。

(△点击图片直达医生科普工作室)
「诊途」是四川名医100%原创打造的全新精准寻医产品,汇集了华西医院、省医院在内的四川一流名医及其团队,全方位展示其所擅长的疾病亚专业,包括最新的医学信息、专家团最新的坐诊动态,帮助你找对医生,找准医生。
「诊途」今年将倾力打造100个名医科普工作室,邀请名医及其团队带来最权威、科学和专业的健康科普知识,所有疾病知识都将由名医团队审核发布。
本文为「成都商报四川名医」原创,未经授权禁止全文或部分转载。如需授权请联系:(028) 6998 2578

文/编辑:Mkiki 制图:云云图片来源:医生供图 123rf 生命时报部分内容参考:儿童口腔健康管理