前天(2020年1月1日)急诊入院的四川省达州市的张先生,于今天成功接受了两种原创性新手术治疗。他是因为“良性前列腺增生”,于去年4月在四川省达州市宣汉县中医院行“经尿道前列腺电切术”,术后留置导尿管1个月,拔管后仍然排尿不畅,3个月后发生严重并发症“膀胱颈挛缩”,又分别于7月和10月做了两次“经尿道膀胱颈电切术”,总共三次手术失败。2天前发生排尿困难加重,排尿呈滴沥状,疼痛难忍。达州市人民医院诊断为“膀胱颈挛缩,前尿道狭窄,右侧急性附睾炎”,不能治疗。患者慕名急诊前来我诊室求治。
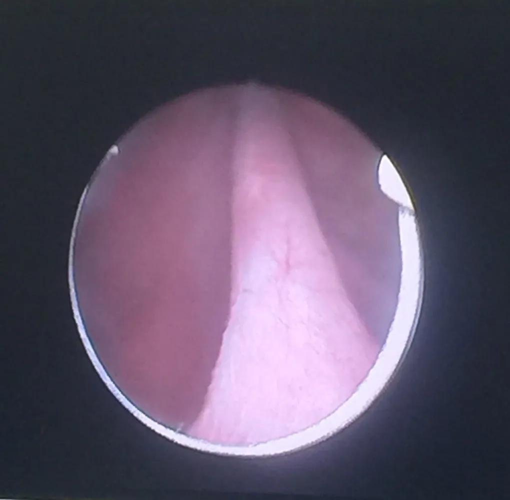
通过术前准备,今日在硬膜外麻醉下进行两种原创性新手术治疗。首先进行张家华教授发明的“直径匹配性递增性尿道内切开术”,术中发现“复杂性前尿道狭窄”,长度2.5厘米,F14小号尿道内切开镜不能通过(图一),插入0.8毫米导丝后,分别用F14小号、F20中号、F24大号尿道内切开镜,直角针状电极,纵行切开前尿道狭窄段。然后进行张家华教授发明的“张氏膀胱颈成形术”,术中发现膀胱颈挛缩仅有2毫米小孔(图二),F14小号尿道内切开镜不能通过,用直角针状电极纵行切开5点位、7点位、12点位三条纵沟,换F26电切镜再次切开膀胱颈,进入膀胱,发现膀胱有树根状小梁形成(图三)用琴弦状电极电切新鲜创面凸起组织,挤压膀胱,排尿通畅,留置F22导尿管。根据我们的经验,一个月后拔管,扩张尿道4—5次,康复治疗7天即将治愈,复发率仅仅2—5%(国内外其它医院的通行冷刀尿道内切开术和激光尿道内切开术复发率40—50%,膀胱颈电切术复发率30—40%)。

图一 前尿道狭窄

图二 膀胱颈挛缩小孔已经切开

图三 膀胱内树根状小梁形成