点击右上角立即关注,更多健康内容不再错过,不定期惊喜送给你
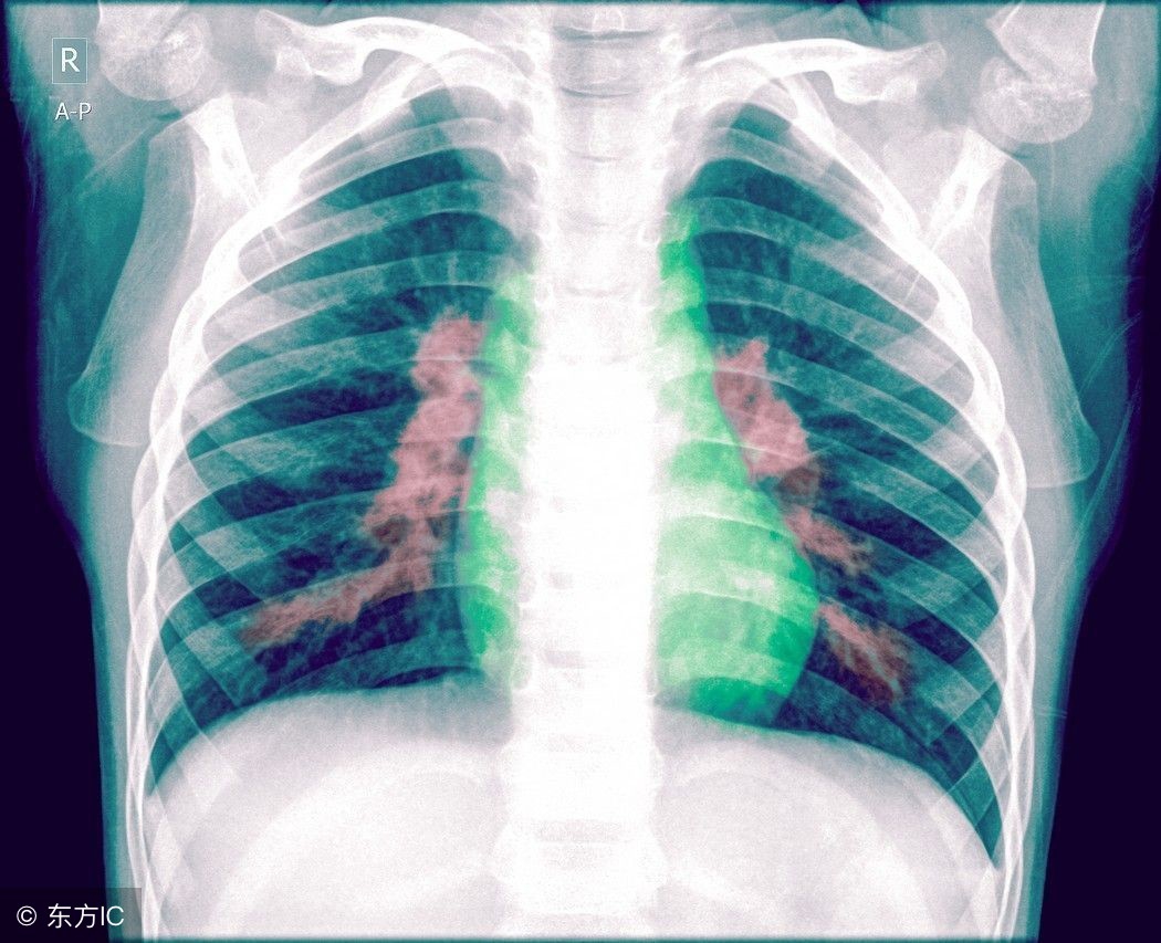
肺炎疾病是人们生活中常见而不陌生的了。要是人们患上肺炎疾病的刹那是很担心的,肺炎患者的饮食是会受限制的。不同的致病原可引起不同类型的肺炎。那么,如何鉴定宝宝得了肺炎呢?

如何鉴定宝宝得了肺炎一起来看看:
1、观察
肺炎宝宝精神状态、食欲特别不好,普通发烧的孩子烧退之后就会精神,但是肺炎患儿即使退烧也没精神,而且烦恼易怒。宝宝感冒发烧一般3天左右会好转,如果发烧时间长,持续5~7天时,家长一定要带宝宝上医院进检查了。
2、听
与普通的感冒咳嗽相比,肺炎患儿的咳嗽声音更为剧烈、频繁、有深度,而且有痰,家长们如果发现宝宝的嗓子里总有呼噜呼噜的带痰声,很有可能是肺炎。
3、看
首先看鼻翼,肺炎患儿的鼻子总是一扇一扇的。其次看胸廓,宝宝吸气时胸廓出现凹陷是肺炎的症状之一。家长们具体观察宝宝的上窝、肋间隙以及下(胸骨最下面)三个部位。

怎样预防肺炎如何来调养:
1.预防感冒,控制呼吸道感染。感冒会引起“老慢支”的急性发作,诱发哮喘发作。天气变化时应及时增减衣服;冬春季不到人多的地方,不与患感冒的病人接触;在天气变化时可以先服一些感冒药起预防作用。如有咽疼、喉痒、咳嗽等症状,选服一般抗生素治疗即可。
2.宜清淡饮食、忌肥甘厚腻食品。肺炎病人饮食宜清淡,原有哮喘病者,不可吃过敏食物;原有“老慢支”患者,不可吃油腻食品。平时应多吃青菜等绿色食品,以清肺化痰,减轻呼吸道梗阻,务使气道通畅,肺炎的症状也就可以缓解。
3.忌烟、酒及辛辣食物。吸烟可引起老慢支、哮喘症状的加重,而且吸烟者肺癌的发病率也高于不吸烟者。饮酒会使咳嗽加重,诱发哮喘发作。肺炎病人要自己主动戒烟、忌酒,家属也要及时提醒并加以监督。

4.环境合适,空气新鲜,劳逸适度。肺炎的病人由于通气功能和换气功能受损害,有不同程度的缺氧,特别是活动后缺氧加重。所以,这种病人居住条件和工作环境要温暖舒适,空气要新鲜,常开门窗多晒太阳。居室内如有负氧离子发生器、加湿器都可以使用。由于剧烈活动耗氧量增加,会使肺炎病人缺氧加重,所以肺炎病人应避免剧烈活动及重体力劳动,严重肺炎病人需要经常性吸氧,家中需要备有氧气袋或氧气瓶。如有合并肺源性心脏病,最好住院治疗。
肺炎的危害却是只增不减的,肺炎患者有时候被肺炎疾病整的不知所措,以免加重病情。
注:文中图片来自网络,如有侵权请联系删除