
陈妈妈,我已经怀孕23周了,需要做脐血流检测吗?
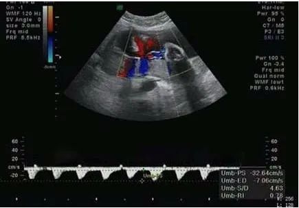
妊娠期为了保证母胎健康和宝宝正常的发育,所需要做的检查是很多的,一般当怀孕20周以后就可以做脐血流的检查,这也是检查项目之一。脐血流是指脐带中血液流动的情况,脐带中一般包括三条血管,其中两条是动脉,一条是静脉。脐血流是反映了这三条血管的情况,血流一般通过S/D来进行表达,S一般是指收缩期血流速度,D一般是指舒张期的血流速度。这个数值反映了脐带血流的阻力。数值越高反应血流阻力越大速度越慢。

S/D正常情况下和孕周相关,不能大于相应孕周的参考范围的最大值,如果大于相应孕周参考范围最大值,往往提示血流慢了胎儿可能存在缺氧或者血液供应不足的情况,这种情况有可能引起胎儿生长发育不全。因此在孕期做b超的时候一定要注意脐血流是不是正常,如果异常,应及时检查原因。
一般在20周以前检测脐血流意义不大,随着孕周的增加,脐血流呈下降趋势,脐血流正常值在24周时其平均值为3.5,上限为4.25,超过上限为异常。孕28周后S/D应小于3,从孕25周到41周,大多数 孕妈 的S/D比值几乎呈直线从2.8降至2.2左右。一般妊娠晚期S/D值小于或等于3.0...为正常。

脐血流检查只是看胎儿发育情况的一个方面,很多时候需要根据各种情况来综合评估判断,不是绝对的仅凭这一项就能判断胎儿宫内缺氧的,因为脐血流的检测值及其准确性也要受很多因素的影响,如胎儿的体重,胎盘的情况,测量的部位等等,如果孕晚期随着孕周的增加,S/D比值并没有规律的下降,反而出现了升高的现象。这就说明可能有胎儿发育不良、宫内缺氧、脐带绕颈等情况,如果只是高出一点点其实也可以不用治疗,只要观察就可以了,最重要的就是要听取医生的建议。
你怀孕23周是可以做脐血流检测啦!
(此处已添加圈子卡片,请到*今条头日**客户端查看)
