
我院心内一科在袁俊强主任,徐谭副主任的带领下,在信阳市率先引入IVUS,血管旋磨,FFR,生物可吸收支架等众多新技术后,再引入光学相干断层显像术(OCT)。目前已应用自主技术完成OCT检查多例,为冠心病患者提供更准确的诊断和更优质的治疗。
OCT又称“光学活检”,是血管内超声(IVUS)的光学同类技术,但与IVUS相比,高分辨率的OCT可在近似于组织学水平上,诊断和评价冠状动脉斑块,从而使医生更好地理解冠状动脉疾病的病理学特点,并针对不同患者的自身特点进行个体化治疗。



病例1 发现开口病变,精准植入支架
中年女性,劳力性胸闷多年,造影发现Guilding“嵌顿”现象,OCT发现开口严重狭窄,药物球囊治疗后效果良好。




病例2 及时发现ACS斑块,避免心肌梗死发生
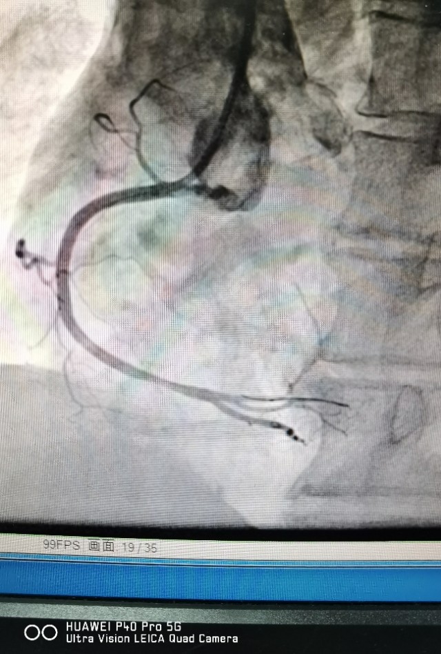
中年男性,反复不稳定心绞痛发作,冠脉CTA提示中重度病变,造影发现RCA弥漫病变,OCT发现冠脉内红色,白色血栓形成,随时可能发生心肌梗死!


植入支架后恢复良好,患者胸痛症状消失!


我院心内一科积极开展新技术,通过OCT对冠脉狭窄病变的检查,指导哪些病变需要放支架,哪些病变不需要放支架,做到有介入无植入,做到精准治疗冠心病,真正使患者获益。
