
作者|谭友文
单位|江苏大学附属镇江三院
自身免疫性肝炎(AIH)常并发甲状腺亢进等免疫性疾病,而单纯甲亢也常有肝脏损伤,当这两种临床表现及生化学指标、免疫学指标均出现时,为临床的鉴别增加了困难。而谁因谁果,也决定了不同的治疗方案。
在临床上,我们遇到这样的一例病案,最终成功治疗,并整理成文章得以发表(Tan YW,et al. World J Clin Cases. 2019 May 26; 7(10): 1184-1190)。在这里分享给读者,请大家批评指正。
病例分享
患者,女,52岁,已婚,2018年4月因“皮肤瘙痒3月,乏力、纳减、尿黄半月”入院。患者病史特点如下:中老年女性,既往无肝炎病史,无肝炎家族聚集现象,无输血及血制品,无酗酒史,近期服用中药一月余(具体不详)。
生化全套检测结果如下:
(1)肝功能:总胆红素(TBIL) 223.3μmol/L、直接胆红素 164.4μmol/L、天冬氨酸转氨酶(AST) 1364 U/L、丙氨酸转氨酶(ALT) 521 U/L、碱性磷酸酶 153 U/L、谷氨酰胺转肽酶 68 U/L;乳酸脱氢酶 502U/L、胆碱酯酶 3KU/L、α-*丁酸羟**脱氢酶 321U/L、腺苷脱氨酶 56.3U/L、胆固醇 1.49mmol/L、尿素 2.64mmol/L、肌酐 32.9umol/L、尿酸 79.7umol/L、高密度脂蛋白 0.09mmol/L、载脂蛋白A 0.48g/L;余正常。
(2)病毒性肝炎标志物:阴性。
(3)血凝五项:D-二聚体定量 1621.72 ng/mL;余正常。
(4)甲功五项:促甲状腺激素 <0.005uIU/mL、FT3 28.6 pmol/L,FT4 81.273 pmol/L、抗甲状腺过氧化物酶抗体 316.1IU/mL。考虑甲亢。
(5)自身抗体检测:ANA为阳性(1:320),其他自身抗体均阴性;免疫球蛋白G 19.26g/L。
诊断:急性自身免疫性肝炎合并甲亢
治疗:临床给予常规保肝降黄,以及甲巯咪唑 10mg qd和心得安 10mg qd治疗。第二天加用甲泼尼龙 20mg。
入院后4天,消化道症状加重,并出现高热(39.8℃),心率160次/分。对症治疗,症状无明显改善,考虑甲亢危象。即刻予血浆置换1500mL+双重血浆分子吸附技术(DPMAS)治疗。人工肝系统治疗过程中,体温逐渐下降,心率下降。隔日继续人工肝治疗3次,2周后肝功能及甲状腺指标基本正常,遂出院。
出院后坚持甲泼尼龙8mg/日,甲巯咪唑 10mg qd治疗。出院后3个月,继续甲泼尼龙8mg/日维持治疗,并停用甲巯咪唑。大约40天后,出现疲劳、食欲不振和尿黄等症状。检查肝功能(TBiL 115.6μmol/L,ALT 473 U/L,AST 664 U/L)和甲状腺指标(TSH<0.005 mIU/L,FT3 13.6 pmol/L)异常,重新入院。
在第二天再次出现发热症状(38.5℃),为防止再次出现甲亢危象,给予甲基强的松龙(32 mg)和PE+DPMAS两次。

图1 患者首次入院肝功能指标变化

图2 患者再次入院肝功能指标变化
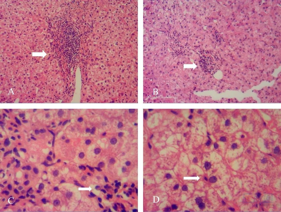
第二次入院,等病情稳定,进行肝组织学检查。病理如图3所示。

图3 肝活组织检查结果
病理解读:大多肝小叶炎症及坏死不明显,约2个汇管区轻中度界面炎,炎症细胞浸润,以单个核细胞为主,高倍下可见数个浆细胞浸润,汇管区周围可见气球样变肝细胞,并呈玫瑰花结样排列。见淋巴细胞穿入,散在小叶炎症。中央区炎症未见。未见明显胆管反应与增生,血管无异常。Fe、Cu、HBsAg等均阴性,未见明显纤维形成。
第二次修正诊断:甲亢合并免疫性肝损伤
第一次诊断AIH的依据
第一次发病未能行肝组织学检查,第二次发病时肝组织学检查纳入,进行综合判断。有简易评分标准和改良评分系统两个评分系统:
(1)这个患者简易评分7分(ANA,+2分;IgG,+2分;病理,+1分;排除病毒性肝炎,+2分),>6分,诊断AIH。
(2)改良评分20分(女性,+2分;ALP/ALT<1.5,+2分;IgG 1.18倍,+2分;自身抗体,+3分;肝炎标志物,+3分;药物使用史,阴性,+1分;饮酒史,+2分;肝组织学,+3分;其他免疫性疾病,+2分),≥16分,明确诊断为AIH。
第二次修正诊断的依据
1. 第一次考虑AIH可能后,即予甲泼尼龙治疗,但病情仍然进展,主要症状为甲亢危象症状;
2. 在出院随访期间,坚持甲泼尼龙维持治疗,仍然出现第二次病情的复发;
3. 第二次病情的复发显然与停用甲巯咪唑有关;
4. 病理非典型的AIH表现,病理表现与临床表现分离:临床表现及生化指标严重,甚至危象,但肝脏病理损伤轻微。

图4 DPMAS流程图(原创制图)
试用DPMAS治疗甲亢危象的成功经验
此案例最后能成功发表,关键是使用血浆置换联合DPMAS,这种新的血液净化系统治疗甲亢危象。
传统的甲亢危象治疗手段包括:抗甲状腺药物和碘131治疗,但这些治疗手段难以在极短时间内迅速清除导致甲亢危象的激素水平,且抗甲亢药物本身具有肝毒性,若应用于伴严重肝功能损伤的病例,会存在更大风险。
血液净化技术,尤其是血浆置换,已在上世纪70年代就成功应用,取得了很好的效果,这种方法可以迅速清除体内的甲状腺激素。但血浆置换需要大量血浆,理论上,要清除体内一半的甲状腺激素需要约6000 mL的血浆量,这在一定程度上限制了单纯血浆置换的应用。
DPMAS是BS330胆红素吸附和HA330-II血液灌流的联合应用。BS330胆红素吸附器中的树脂对胆红素有特异性,通过静电力和亲脂性吸附胆红素和胆汁酸。HA330-II血液灌流器中的树脂是一种具有大孔结构和大表面积的相对广谱吸附剂,通过范德华力和骨架分子筛吸附大分子毒素(如炎症介质IL-6和IL-10等)。两种吸附剂的结合能迅速清除胆红素、抗体、甲状腺激素和炎症介质等有害物质,减轻炎症,改善患者的免疫功能。
随访结果
目前,给予患者甲泼尼龙8mg+甲巯咪唑10mg维持治疗,病情稳定,生化指标、IgG水平正常。
谭友文
主任医师 博士
江苏大学硕士生导师
江苏大学附属镇江三院肝科主任

医脉通专栏作者
参考文献:
You-Wen Tan, Li Sun, Kai Zhang, Li Zhu. Therapeutic plasma exchange and a double plasma molecular absorption system in the treatment of thyroid storm with severe liver injury: A case report. World J Clin Cases 2019 May 26; 7(10): 1184-1190.
DOI: 10.12998/wjcc.v7.i10.1184

本文为作者授权医脉通发布,未经授权请勿转载至其他平台。欢迎读者分享至朋友圈。