
肺曲霉菌病是由曲霉菌侵入肺组织所引起的深部真菌感染性疾病,是临床上较为常见的肺真菌病,成为免疫抑制人群和危重病患者的主要死亡原因之一。近年来,随着广谱抗菌药物的广泛使用、恶性肿瘤的增加、器官移植及免疫*制剂抑**、糖皮质激素的使用及各种导管侵入性操作的开展,肺曲霉菌病的发病率也逐年增高,目前曲霉菌已成为继假丝酵母菌之后引起侵袭性真菌感染的第2位条件致病真菌。
曲霉菌在自然界中广泛存在于水、土壤、空气、发霉的食物、衣服等易于生存的场所,其主要致病菌是烟曲霉菌,曲霉孢子经呼吸道入侵,可通过直接感染、变态反应、曲霉菌毒素中毒等机制致病。该病多继发于肺结核、支气管扩张症、肺脓肿、肺囊肿、恶性肿瘤化疗患者等,原发者较为少见,其临床表现无特异性,诊断较为困难,预后差、病死率高。
2008年美国感染病学会更新的曲霉菌治疗指南将其分为3型:变态反应性支气管肺曲霉菌病(ABPA)、慢性和腐生性曲霉菌病(曲霉菌球、慢性肺曲霉菌病)、侵袭性肺曲霉菌病(IPA)。
1变态反应性支气管肺曲霉菌病
ABPA 是一种非感染性、炎症性肺部疾病,以机体对寄生于支气管内的曲霉菌发生变态反应为主要特征。以儿童和青年多见,症状无特异性,常见有咳嗽、喘息、发热、胸痛等,典型的患者可咳出支气管树状痰栓,痰栓咳出后支气管痉挛症状常明显改善,多数患者同时伴有其他变态反应,如鼻炎、结膜炎、过敏性皮炎及对常见肺部变应原和花粉的敏感性增强。影像学表现上,暂时性改变为肺部的浸润影、痰栓及肺不张,永久性改变为中心性支气管扩张、支气管管壁增厚、肺大泡、胸膜增厚及肺纤维化等。
2慢性和腐生性曲霉菌病
肺曲霉菌球是寄生型肺曲霉菌病的常见表现,多出现于支气管扩张或空洞型肺结核患者中。临床表现为间断反复咯血,伴有咳嗽、胸痛,少数可出现致命性大咯血。典型的影像学表现为在厚壁或者薄壁空洞内可见边缘明确的均匀结节,伴有空气新月征。
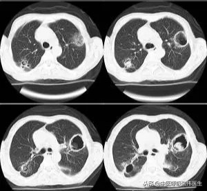
3侵袭性肺曲霉菌病
IPA是肺曲霉菌病中最常见且危害最严重的类型,病死率最高。常常累及肺组织以外的器官或形成曲霉菌败血症。常发生在免疫抑制的病患中,血液系统疾患及骨髓移植是侵袭性曲霉菌病的最危险因素。在机体免疫功能正常的人群中很少发病。临床表现非特异性,主要表现为发热、干咳、咯血、胸痛等,病变广泛时可出现呼吸困难。IPA早期CT可表现为特征性的晕轮征,图像上表现为围绕结节的密度高于肺实质但低于结节的环形带,不典型时表现为结节边缘模糊不清。
目前,我国的曲霉菌感染发病率呈逐年上升趋势,其危害性受到更多重视。早期诊断、及时合理用药是改善预后、降低病死率的关键。随着肺曲霉菌病研究的深入,快速、特异性强的诊断手段不断发展,新的抗曲霉菌药物不断研制,越来越多的肺曲霉菌病将被及时发现、诊断和有效治疗。
