有粉丝私信留言,他在今年的体检中,有一项诊断是“肝内液性占位性病变”,他一看见“占位性”这个词就很紧张。想知道这个问题严不严重,以后会不会发展成肝癌。
也许是“胆癌色变”的威力,在平时的工作中我发现很多人看见诊断中出现“肝占位性”的字眼,就会自然联系到肝癌,或者害怕会不会发展成肝癌。甚至有些病友急病乱投医,吃了不该吃的药,做了不该做的治疗,白白花了冤枉钱。
那么这个“肝占位性病变”到底是什么个情况,严不严重,下面听我来一一细说。
先看看肝占位性病变的概念,是指通过影像学检查,在正常肝脏超声均匀回声或CT的均匀密度上,肝实质内出现的异常回声区或密度区。
这里有些专业术语大家可能不太好理解。我通俗地解释一下:
1、“肝占位性病变”是影像学检查的诊断,影像学检查主要包括彩超、CT、核磁、拍片等,影像学诊断不同于病理诊断,是不能对疾病的性质做出最终的确诊的。
2、整个肝脏组织的密度都是一样的,如果这一点不好理解,我们可以到市场上去看看猪肝,如果把猪肝切开,用肉眼都能看得出肝组织的质地都是均匀一致的,这就是超声描述的肝实质中等回声、回声均匀。
3、如果肝里面长了东西,不管是液性的、混合性的还是实质性的,那么它的密度势必跟肝脏原来的组织是不一样的。不同密度的组织反射的声波也不一样,投影出来的图像也不一样,像液性的不反射超声波,在图像上显示为无回声区,正常肝组织显示为中等回声,如果长的包块密度大,结构不均匀,就会显示出不均质的强回声,有些肿瘤的密度如果跟正常肝脏的密度一样或很相近,那么超声图像就没有对比,查不出来,造成漏诊。

哪些疾病会出现“肝占位”
1、肝囊肿
肝囊肿是肝脏常见的良性占位性病变,有报道称在人群中肝囊肿的发现率高达18%。
肝囊肿的诊断通常较简单, 普通的超声即可确诊 ,直径5mm左右即可被超声显示,典型的超声表现是,肝脏上显示的圆形或椭圆形无回声区 。
超过90%的肝囊肿没有任何症状 ,剩余不到10%的病人,偶有巨大肝囊肿压迫引起的症状,包括压迫胆管引起黄疸、压迫周围器官引起上腹饱胀不适或上腹疼痛。也有部分病人会出现囊内出血、感染、囊肿破裂,若出现,则可表现为腹痛、发热、休克等症状。
因为有个“肿”字,很多人把肝囊肿当做肿瘤看待,吃不下饭睡不着觉。其实肝囊肿就是肝脏上有个“水泡”。 大多数的肝囊肿是先天形成的,不属于肿瘤范畴 ,更不存在恶性一说,随着年龄的增长,囊肿会慢慢长大,但生长非常缓慢,如果单个囊肿大于10 cm,并且出现压迫症状,则需要考虑外科治疗。

多囊肝
2、肝血管瘤
肝血管瘤是最常见的肝脏良性肿瘤,通常在体检时被偶然发现,当您发现自己患有血管瘤时也不必惊慌,血管瘤并不是恶性肿瘤。
一般情况下,当血管瘤较小时,可无明显的临床症状,但当血管瘤增5cm以上时,可出现腹部包块、食欲不振、恶心、压迫症状等。
超声是临床上检查肝血管瘤最常用的一种影像学方法,可以有对肝血管瘤进行诊断和鉴别诊断。肝血管瘤的B超表现为高回声,部分呈低回声,当部分血管瘤呈低回声表现时,不易于早期肝癌区别,可采用超声血管造影或CT扫描检查进行鉴别诊断。
肝血管瘤为肝脏的良性肿瘤,较小且无临床症状的肝血管瘤可以定期观察,动态检测血管瘤大小变化等。肝血管瘤在超声扫描动态观察下,血管瘤往往长期形态大小无改变;当肝血管瘤较大时可出现压迫症状,引起上腹痛、阻塞性黄疸、胃肠道不适等临床表现,因此大于5cm的血管瘤建议咨询临床医生,及早进行相关治疗。

3、肝脓肿
肝脓肿是细菌、真菌或溶组织阿米巴原虫等多种微生物引起的肝脏化脓性病变, 主要分为三个类型,分别是细菌性肝脓肿、真菌性肝脓肿、阿米巴肝脓肿,细菌性肝脓肿是最多的。
肝脓肿的主要症状是发热、乏力、消瘦、腹痛、腹胀等等,肝脓肿的症状并不是特别的典型,不会让人一有这些症状就联想到肝脓肿这个疾病,在出现这些症状了以后,要多留心,多考虑一下是否是肝脓肿的问题。
想要确诊肝囊肿,腹部超声检查就能够做到。
总之,肝脓肿是很多人都没有听说过的肝脏疾病,但是这种肝病的死亡率比较高,如果不做任何处理,死亡率能够高达30%,早早地发现,早早地治疗,才能避免这种严重后果出现。

肝脓肿
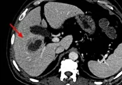
4、肝腺瘤
肝腺瘤是一种较少见的良性肿瘤,为含脂质富血供占位性病变,好发于长期服用避孕药的女性以及长期使用类固醇类药物的男性。
常见检查方法包括:B超、CT、MRI。
但对肝腺瘤诊断存在难点,尤其不易与分化较好的肝癌鉴别,确诊依赖活检和病理。
肝腺瘤易并发出血,甚至破裂,部分还可以出现癌变。

肝腺瘤
5、局灶性结节性增生
肝局灶性结节性增生(focal nodular hyperplasia,FNH)是一种较少见的良性肿瘤样病变,因缺乏典型临床表现及影像学特征及特异血清学检查,临床诊断十分困难。
超声特点:结节多位于肝右叶,呈类圆球状,边界较清,包膜不明显,可为低或等回声,低回声者多分布不均,高回声者多较均匀。病变也可由数个小结节融合而成。
在结节中央若出现强回声伴声影的钙化点,为较特异的征象。CDFI:肝局灶性结节性增生外部有一肝动脉彩色血流呈扭曲样进入病灶,并在病灶中央分支呈“开花状”或“轮辐状”血流。

局灶性结节性增生超声造影图
6、炎性假瘤
是一种极为少见的,由各类致炎因子引起,以炎性结节性增生为特征的非肿瘤性疾病。炎性甲流本身是一种慢性炎症性疾病,但影像学上出现肿瘤样改变。肝脏炎性假瘤属于肝脏的一种良性病变,一旦发现要定期前往门诊随诊。
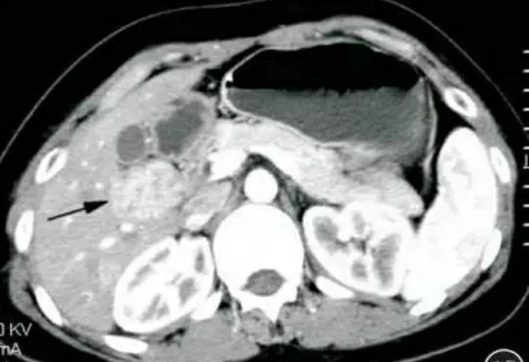
7、肝恶性肿瘤
令人谈之色变的肝癌。也是以"肝占位"的形式体现在影像上。肝癌包括原发性肝癌,肝脏转移癌。

原发性肝癌起病隐匿,早期缺乏典型症状。甚至有的患者肝癌已属晚期,有症状而自行就诊患者多属于中晚期,常有肝区疼痛、食欲减退、乏力、消瘦和肝肿大等症状。
超声所见:直径<3cm的肝癌结节常常包膜完整,癌结节内部回声高低不一,且具多变倾向,癌结节可有低回声结节、高回声结节、混合性结节,还可以是等回声结节。肝癌结节及其周围血供丰富,彩色多普勒超声能准确反映肝癌的血供情况。

肝癌超声声像图
人们在平日生活中一定要提高自我保健的意识,在出现身体不适症状后及时就医之外,对于平时体检中出现的“异常”诊断,首先不要过于紧张,应在正规医生的指导下做进一步检查,切不可因“自我感觉良好”而大意,应提起疾病的重视程度,做到疾病的早发现、早诊断、早治疗,提早干预,防止疾病不良发展。
专家提醒 腹部彩超检查对于普通人群和肝病患者来说都是一种经济、方便、无痛苦的检查肝脏健康程度的方式,通常用于定期随访和肝占位的筛查。#健康科普大赛#
(本文仅科普。作为临床诊断的依据,如有不适,请到正规医院就诊。)