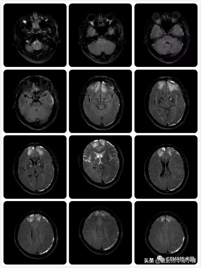
为什么想要去分析这个序列呢,是因为在一次值班中,遇到一个神经外科的病人,颅内有挫裂伤出血,神志有点不清楚,似是可以交流,但还是不配合,检查过程中还是无意识地乱动。听家属和陪同来的护工说,已经来了好几次了,都是因为躁动没做成而回去了。扫了下弥散,看到颅内有好多挫裂伤出血灶。遇到这样的病人,我通常都用机器自带的单次激发序列来试试,其中就有一个序列就是 SSh_FLAIR,用来扫压水。那么扫的效果怎么样呢?(总共18层 6mm/1mm,只显示部分)

由于这个病人一个劲乱动,还时不时地抬头,我们可以看到,扫出的图像感觉不是很连续,或者说相邻两幅图像之间有重复的部分。还可以看到第三行第二列的图像有部分脑脊液没有被抑制完全,而且可以看到前后两图比起来它的位置有所变化,即病人抬头了:

这也是我今天想要讨论的伪影。扫描时,只是将原始序列的层数与层厚有所改动,其他未改动。原始序列截图如下:







第一步: 详细阅读序列介绍信息:

首先序列的标题是SSh_FLAIR,全称解释为 Inversion recovery single shot turbo spin echo sequence with CSV ( 应为 CSF ) suppression and half scan,即单发激发反转恢复快速自旋回波联合半傅立叶采集序列,同时进行脑脊液抑制。
Full brain coverage within short scan time. 短时间内进行快速全脑覆盖扫描。
Info: 信息:
Long TR for good relaxation of all tissue magnetization. 使用长TR使所有组织得到充分的弛豫。
Long inversion delay time, optimized in relation to TR, for good suppression of signal of CSF. 联合选定的 TR 值选择最优的长反转时间 TI,以期较好地抑制脑脊液信号。
Long TE for good T2-weighting. 选取长 TE 以期为了获得较好的 T2 加权。
Single shot sequence: Maximum TSE factor. Linear profile order to reduce echo spacing and prevent bluring. 单次激发序列——选择最大的快速自旋回波链长度。为了缩小回波间隙和防止模糊效应选取线性 K 空间填充模式。
SENSE is used to reduce shot length. 采用并行采集SENSE技术进一步缩短回波链长度。
Minimum nr of packages = 4 to reduce flow related enhancement. 最小分包采集数目设置为4,以期减少流入相关增强。

Reduce refocus flip angle to reduce SAR. Intrinsic MTC-effects are reduced and T2-contrast in brain tissue is improved. 减小重聚翻转角可以减少 SAR 值,并且内在减小内在的磁化传递效应,并且可提高颅脑的 T2 对比。
SPIR fat suppression is used. 采用 SPIR 压脂。
Tips: 小技巧:
Scan time per slice is very short. Resulting images will usually be motion free even when patient movement occurs. 每一层的成像时间是非常短的,因此即使病人动了图像也不会产生明显的运动伪影。
The slice profile of the selective inversion prepulse is widened if more packages are selected. This reduces the likelihood of unsuppressed CSF to pulsate into the acquired slice during the inversion delay time. Scan time will increase with increasing number of packages. 如果选用的分包数目比较多,那么选择反转脉冲激发时的层轮廓将增宽,这将减少在反转延迟这段时间内末被激发的脑脊液进入将要采集的层面而产生“伪影”。值得注意的是,分包数目的增多将导致扫描时间的延长。
第二步: 结合序列成像组织属性理解序列结构:

可以看到这个序列的主体是反转恢复序列 IR,快速自旋回波 FSE 采集并且是单次激发 single-shot;Multi-slice多片采集技术减少成像时间;半傅立叶采集 Halfscan 加快成像时间;采用 SPIR 压脂减少可能产生的伪影。
下面结合 Geometry 几何选项卡和 info page 信息栏我们详细地来看看序列到底是怎么运行的:

(一)从整体上看是分四次扫描所有图像,即Packages=4(Minimum nr of packages = 4 to reduce flow related enhancement,关于这样的设置原理我们稍后讨论),再根据Slice scan order=default,那么可以计算出每个 package 具体扫哪几层:


(二)再看 TR=12000ms(TR 给的还是很长的,序列信息提到 Long TR for good relaxation of all tissue magnetization),结合 Packages 数目,那么我们可以算出总体扫描时间为12000ms × 4 = 48000ms = 48s,与序列提供的Total scan duration 00:48.0 相匹配。
(三)再来看每一个 Package (即每一个TR时间内)是怎么扫描的,以第一个 Package 为例,扫描第 1,5,9,13,17 层面:
首先,在正式施加 180° 选择性反转脉冲前,至少有三个准备工作:(1)匀场 shim,匀场是为了获得更均匀的磁场,压脂效果好,对于组织成像也有好处;(2)施加空间饱和脉冲,即添加了饱和带,由几何选项卡可以看到饱和带是平行放置在定位框的足侧,即近心端,以期将血液进行饱和,避免造成血管搏动伪影;(3)施加脂肪频率选择脉冲进行压脂(SPIR fat suppression is used),以减少因运动带来的伪影。
然后再施加 180° 选择性反转脉冲,在序列介绍信息中有提到:The slice profile of the selective inversion prepulse is widened if more packages are selected. 那么在此序列中我们应用 4 个packages,那么每一层的层选择性 180° 反转脉冲的层选择轮廓将增宽。什么意思呢?就是,我们都知道,磁共振成像选择时,是通过射频脉冲的结合梯度一起选层的(通过脉冲频率带宽和施加梯度后氢原子核的共振带宽相相匹配),如果要选择第 5 层,那么其轮廓应该只包括第5层,但在这里不,它要增加其选择的范围,如下示意思图所示:
关于选层原理请戳链接:
[The Basics of MRI 6.5~6.6] 磁共振成像基本原理 6.5~6.6

为什么呢?因为 This reduces the likelihood of unsuppressed CSF to pulsate into the acquired slice during the inversion delay time. 即如果非常精准地选择所要成像的层面时,再等待所设的 TI 时间后就要进行信号的采集,这里如果有新鲜的未被反转的脑脊液流进入采集层面时就会导致还会有脑脊液信号。因此需要有一定的提前量来对外来的脑脊液进行控制。这就跟心脏 DIR-TSE 黑血成像时一样,在采集之前要先施加一个大范围的反转脉冲,而且这个脉冲反转的范围比成像范围要大(Non-slice selective),因为它将外面的新鲜的血液也进行反转,进行信号的衰减。我在机器上试了,当用原始序列,扫描 24 层,想要减少 packages 时,系统不让减少,最小为 4,但可以增加,比如 5,6;当我将 24 层改为 18 层时,系统所允许的最小 packages 数目为 3。系统对于此序列还是留有一定的保守的,以保证每一层的压水效果。但是,系统 180° 反转脉冲激发每一层时到底增宽了多少我们无从得知,恐怕这个在序列设计时会有所考虑。当然如果分包数目增加时,扫描时间即将增加,即 Scan time will increase with increasing number of packages.
在施加完 180° 反转脉冲后,等待组织弛豫。由于各组织的弛豫时间不同,当脑脊液纵向磁化矢量过零时,其他组织的弛豫已经基本全都恢复到正向,而且差不多都要恢复完全了。在这里设置的反转时间 TI=2850ms,是用来进行抑制脑脊液的,我们都知道要抑制谁的信号,就把 TI 设置成谁的纵向弛豫 T1 时间的 0.7 倍左右(一说 0.69,其实为 ln2),但这其实又与所使用的 TR 和 FSE 的最后一个 TE 相关,这将在《精读系列》里面写到。可以看到在序列描述中也提到了,Long inversion delay time, optimized in relation to TR, for good suppression of signal of CSF. 其中 optimized in relation to TR 即为这个意思。那么假设脑脊液在 3.0T 核磁上的T1=4163ms,那么 4163ms×ln2≈2885,与原始序列设置的2850相差不多。
在 180° 反转脉冲后,等待了2850ms 的反转时间后,则进行快速的 TSE shot 进行采集信号。从 info page 中可以看到,TSE es =5.3ms, TSE shot = 310ms,什么意思呢,就是回波间隙为 5.3ms, 每一层的采集时间才是 310ms,绝对亚秒级别的成像,也就是即使病人动了,也能够瞬间冻结图像,减少运动伪影的产生。那么到底采集了多少个回波呢?可以看到 TSE factor = 58, 即 58 个回波,为什么是 58 个呢?实际上,如果不用加速采集的话应该是相位编码数,即 154,但为了增加速度,我们设置了并行采集因子 SENSE =2.25,同时利用了半傅立叶 K 空间填充,其 Halfscan factor = 0.8 ,那么总的加速因子为 2.25×1.2=2.7 倍。那么用 154 除以 2.7 = 57.04,即 58。那么我们再来算一下采集的 TSE shot 时间,5.3 × 58 =
307.4,不等于 310ms,因为其中设置的 TE 设置的最短, 90° 脉冲激发后,要等待 ES/2=2.65ms 采集第一个回波,再根据 linear 的 K 空间填充顺序结合 Halfscan,那么可以得到其 TE =121ms。

那么在 180° 反转脉冲后激发第 1 层后,过不也多久就会激发第 5 层,接着 9,13,17 层面,当然这个激发和采集都要在一个 TR 内完成,可以算出 5×310ms=1550ms,可以看到其值比 TI 时间 2850ms 要小不少,那么由于序列设置了 acquire during delay = yes,那么在第一层的 TI 等待间隙就可以对同一 package 中的其他层进行 180° 反转脉冲激励。
关于反转恢复序列 MS 多片采集模式可以参考如下链接:
【磁共振成像序列研究】T1W_IR(续)
至此,不仅序列结构搞得很清楚,而且序列的每个时刻都也搞清楚了。下面我们先把序列示意图画出来:


下面我们再来研究下,TSE 信号采集这一部分的序列特征。

序列介绍中提到可以通过 refocusing control 参数进行重聚翻转角的调控,以进行减少 SAR 值和减少 MTC 效应。但是原始序列中并没有优化这一参数。
序列还可以做哪些优化呢?由于病人比较容易躁动,为了保证采集内容的完整,我们可以设置 0 间隔(原始序列即为 0 间隔,5mm/0mm)或者负间隔(比如 6mm/-2mm),由于 TR 很长,再结合分多包采集,那么这完全是可以的。
看原始序列包,我们可以看到厂家还提供了一个序列,SE-FLAIR-EPI 序列,通过 EPI 进行采集,那么扫描将更快。飞利浦机器开放度很大,其实我们可以通过其他 TSE 序列手动改成这些序列,这将对我们思考序列结构比较有帮助。那么,通过其他序列修改成 SSh-FLAIR 会给使用一个 Package 扫描所有层面吗?180° 反转脉冲还将加宽吗?可以试试!
第三步: 最后,我们来探讨一下一开始提到的伪影的形成的原因。
由序列的研究可知,是先施加 180° 反转脉冲,等待 TI 时间再进行信号采集。那么由于运动,就产生了部分被反转,部分未被反转。以后面的被反转为基准来看,那么前面的就是未被反转,由于病人运动的维度不只是 2D 平面内晃动,而是 3D 空间的乱动,抬头,扭动等。那么很容易导致脑脊液未被反转的空间组织进入成像范围,这将导致脑脊液呈高信号。正是由于施加 180° 反转脉冲时会动,采集图像时也会动,而且都是3D维度的运动,那么最终得到的图像的空间是两者的相交。

可以看到未被 180° 脉冲激发的组织进入了采集范围。当然这只是模式图,在扫描时病人的运动可能更复杂,我记得在后面的扫描过程中,病人都脱离线圈了,从线圈中滑出来了……
总结: SSh-FLAIR 这个成像序列不难分析,而且结构相对比较简单。在实际工作过程中一般也不会用它。但它不失为对临床坚持要做的躁动病人成像时的一个补充。技术、参数性的伪影其实不难分析,而机器设备数据处理相关的伪影还是比较难的,一个需要我们不断积累,二个还需要我们打铁还需自身硬,多多了解设备硬件结构,图像重建相关知识,再者对于图像质量控制这一块要多加了解,毕竟,好的质控是好的图像的开始。我感觉平时技术员对于图像质量控制这一块的了解好像不足,这一块主要是工程师的工作内容,但它对于我们更好地理解磁共振成像设备、分析伪影将更加有帮助。学无止境,技术员,诊断也要学,设备工程也要学,技术更要搞好,可谓绝对是复合型人才。
【摘录】 CTMR技术园