病例展示
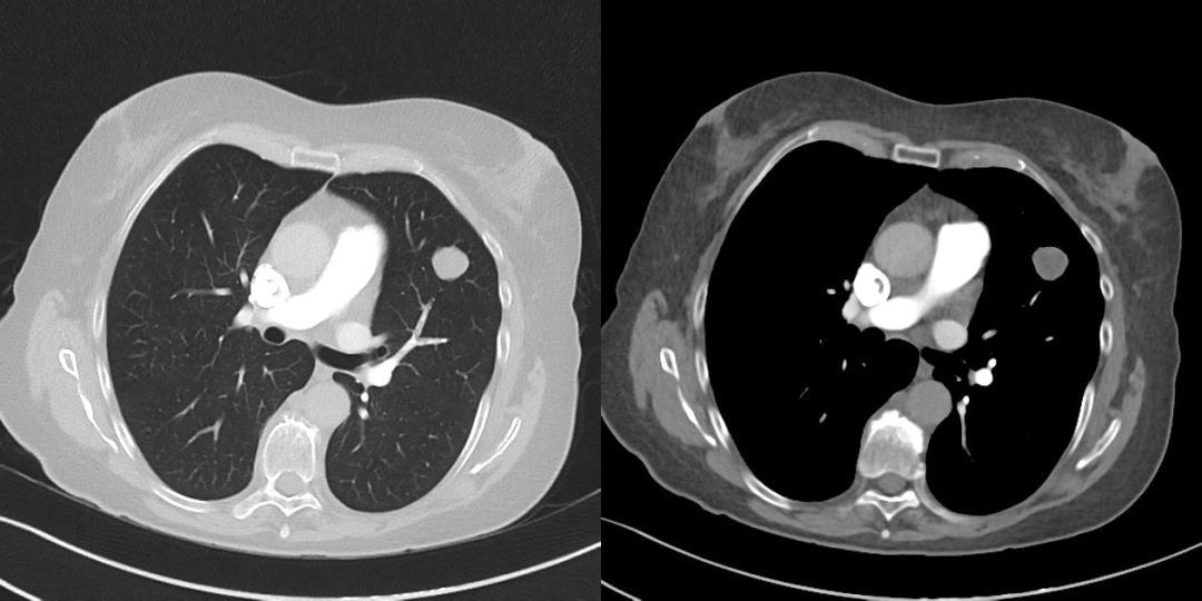
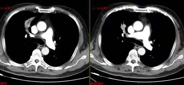
女性 13 岁 因发热、胸闷一周入院检查;一周前受凉发热后出现发热,最高体温达 38.4°,伴活动后胸闷,休息片刻可缓解;胸部 CT 平扫+增强图像如下;



遇到这种病例您会如何考虑?需要考虑到哪些疾病谱呢?
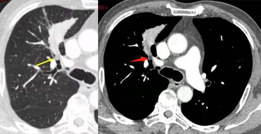
患者 13 岁小孩 女性 因发热入院,发现右肺上叶近肺门处椭圆形肿块,密度相对均匀,增强扫描未见明显强化,这种影像表现我们可以考虑哪些疾病呢?我相信第一个就会考虑支气管囊肿,因为病灶椭圆形、边界清晰,没有强化,从影像表现上来看,确实首先应该考虑。
但是,这个病灶的病理结果却并非支气管囊肿;
病理结果示: 右上肺肿物;肺组织 2 块,大小约 3.5×2.5×1.8 cm,切面灰白褐,部分区呈胶冻样,可见钙化,结合影像表现及免疫组化,考虑肺错构瘤。
肺错构瘤
肺错构瘤是肺内好发的良性肿瘤,占全部良性肿瘤的 60%-75%,绝大多数单发,偶见多发,男性多见(男女比约 3: 1),中老年人多见,大部分为 50-70 岁。
发病机制
有学者认为,肺错构瘤是胚胎发育过程中,即将发育成支气管的部分组织,因某些原因发生脱落、倒转等异常,被正常肺组织包裹,逐渐形成瘤样结构,现大多数学者认为肺错构瘤是来源支气管粘膜相关未分化间质细胞的良性后天性肿瘤,由软骨细胞、脂肪细胞等间质细胞及混杂的支气管粘膜上皮细胞组成。
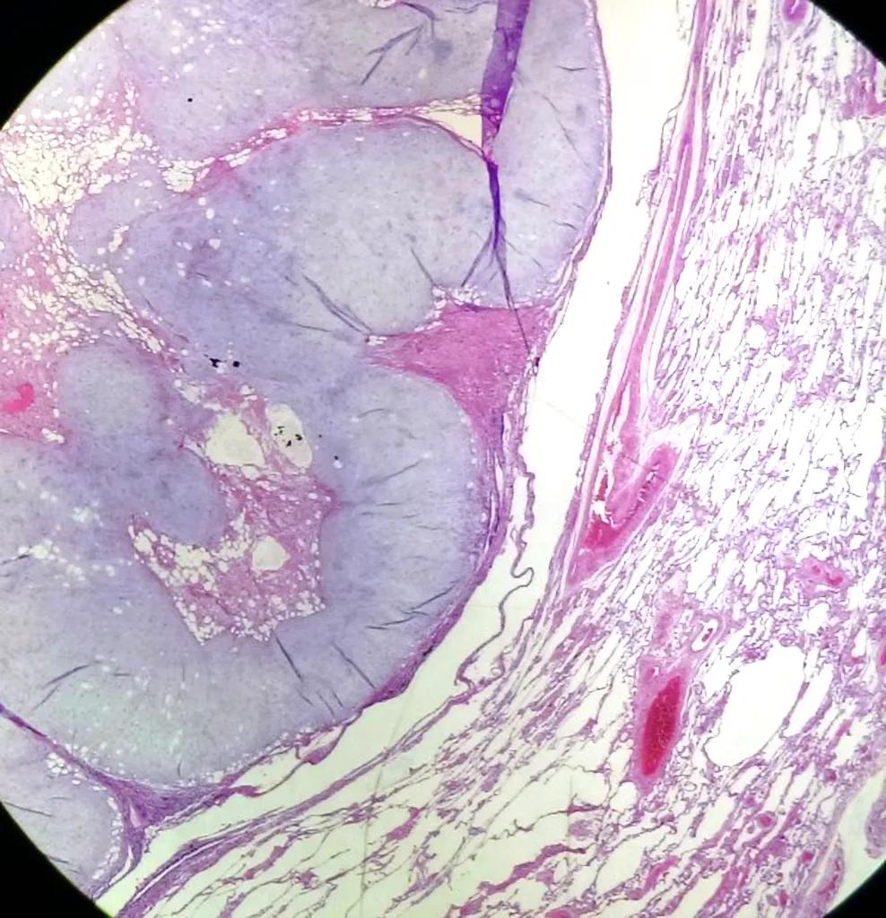
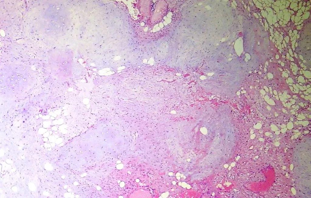
病理大体标本

镜下组织细胞

20x H&E: 病变是实性的,与周围的实质清晰地划定。
在低功率下,可以欣赏到软骨和脂肪组织的混合物。

临床表现
大部分患者是没有任何临床症状的,部分患者仅表现有咳嗽、咳痰或胸痛的表现,也有出现反复肺炎的表现。
影像表现
肺内错构瘤可以有肺实质内型和支气管内型及混合型,不同类型的影像表现不一;
一、肺实质内型最常见,一般没有症状,表现为圆形或类圆形肿块,边界清晰,边缘光滑或浅分叶,病变内可以出现脂肪成分、爆米花样钙化,此影像表现较为特异,但是有一般以上的病例没有脂肪也没有钙化,估给诊断带来困难,增强扫描一般均无明显强化表现。
二、支气管腔内型:病灶位于支气管腔内,边界清晰,可以看见蒂,支气管管壁正常、不会出现狭窄或截断情况;如果支气管阻塞后,其远端可以出现阻塞性肺炎或肺不张,此类型的错构瘤病灶内出现脂肪成分概率更大一些,这个是一个有力的诊断依据。
鉴别诊断
结核球、肺癌、支气管囊肿、炎性肌纤维母细胞瘤、硬化性肺泡细胞瘤等。
病例实战
CASE 1
男性 61 岁,因呼吸困难和胸痛就诊,胸片提示左肺内占位;

典型爆米花样改变的肺内错构瘤
CASE 2
女 71 岁 发现左肺结节多年,无明显症状。

病灶圆润、光滑,增强无明显强化。
CASE 3
支气管腔内可见低密度结节,边界清晰,增强未见明显强化。



来源:影像时间
【版权声明】本平台属公益学习平台,转载系出于传递更多学习信息之目的,且已标明作者和出处,如不希望被传播的老师可与我们联系删除
【版权声明】本平台属公益学习平台,转载系出于传递更多学习信息之目的,且已标明作者和出处,如不希望被传播的老师可与我们联系删除