点击上方蓝色小字↑↑↑ ---- “ 干细胞者说 ”,加星标,长期关注本科普号。
人生小哲理 干细胞者说
静下心来
潜心研究
我们将走的更远
正文
本文聚焦间充质干细胞治疗膝骨关节炎软骨损伤。
编辑:小明月
来源:干细胞者说
骨关节炎(Osteoarthritis,OA)是一种退行性关节疾病,在中老年群体中发病率极高,主要表现为关节疼痛及功能障碍。其发病率位列非传染性疾病排名的前10位。在中国50岁以上的人群中有8.1%的人为有症状的膝骨关节炎患者,共计3000余万人。
间充质干细胞(MSCs)的治疗作用主要归因于其在炎症环境调控下发挥的免疫调节功能,可以用于治疗广泛的退行性和炎性疾病。如:溃疡性结肠炎、关节炎、GVHD、系统性红斑狼疮等。

1
MSCs治疗膝关节软骨损伤文章荟萃
这篇汇总聚焦于MSCs治疗关节炎。下面就为您列出在人体实验的间充质干细胞(包骨髓间充质干细胞和脂肪间充质干细胞)用于治疗膝关节炎的进展。
膝骨性关节炎的诊断很重要的一项是各种评分:
VAS主要评价疼痛;
WOMAC用于评价老年的膝关节炎;
Lysholm评分膝关节功能的可靠性、有效性、敏感性比较高。

膝关节炎
1
自体BMSC治疗膝骨关节炎的初步研究
(Transplantation, 2013)
参组人数:N = 12人(无对照研究)
治疗方案:关节腔内注射培养扩增的4*10^7个间充质干细胞BMSCs, 治疗后1年检测结果。
评价指标:VAS评分 | WOMAC评分 | 勒凯纳指数 | MRI
研究结果:接受骨髓间充质干细胞治疗的病人,其膝关节功能指标逐渐改善,改善率在1年内接近65%至78%,软骨质量也得到改善,其中11名病人软骨缺损面积明显减少。

上图为该研究的总结,复杂的我们就不看了,理想的治疗方案是我们基本达不到的治疗,可以看出MSCs治疗方案比传统方案更加接近理想治疗方案。
2
自体BMSC治疗膝骨关节炎六例
(Arch Iran Med, 2012)
参组人数:N = 6人(无对照研究)
治疗方案:关节腔内注射培养扩增的2~2.4*10^7个间充质干细胞BMSCs, 治疗后6个月,1年检测结果。
评价指标:MRI | VAS评分 | WOMAC评分 | 步行距离
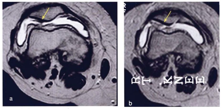
研究结果:关节内注射骨髓间充质干细胞6个月后,疼痛、功能状态和步行距离均提高。6名治疗组中3名患者在治疗前后的MRI比较可以看出,该治疗对于改善软骨厚度,修复组织延伸超过软骨下骨,以及减少软骨下骨的水肿是非常显著的。

上图a示意治疗前软骨,b为治疗后6个月软骨,箭头所示为软骨修复位置。
3
关节内注射两种不同剂量的自体BMSC与透明质酸治疗膝骨关节炎:多中心随机对照临床试验(Ⅰ/Ⅱ期)
(J Transl Med, 2016)
参组人数:N = 30人(随机对照实验)
治疗方案:关节腔内注射培养扩增的1*10^7(低剂量组)、1*10^8(高剂量组)个间充质干细胞BMSCs, 治疗后3个月、6个月、12个月检测结果。
评价指标:主诉 | VAS评分 | WOMAC评分 | 关节运动角度范围 | MRI
研究结果:治疗后VAS评分得到改善,WOMAC评分在6个月之后才得到改善。治疗后12个月后软骨的体积和质量都得到提高,并且高剂量组具有更好的改善效果。

上图中可以看出不论是低剂量组或者是高剂量组,VAS评分(疼痛指标)都是下降的。
4
异体BMSC治疗膝骨关节炎随机对照试验
( Arch Iran Med, 2012)
参组人数:N = 30人(随机对照实验)
治疗方案:关节腔内注射培养扩增的4*10^7个间充质干细胞BMSCs, 治疗后8天,3个月,6个月,12个月检测结果。
评价指标:MRI | VAS评分 | WOMAC评分 | 主诉
研究结果:与对照组相比,BMSCs治疗后疼痛显著降低,膝关节功能指数显著改善,而软骨损伤显著减少。

上图所示,颜色越红代表软骨质量越差。可以看出治疗前(左边)的软骨大部分是黄色,治疗后蓝色明显偏多,表示治疗后软骨质量增加。
5
关节内注射自体BMSC对膝骨关节炎患者疼痛及膝关节功能的影响
(Int J Rheum Dis, 2017)
参组人数:N = 61人
治疗方案:关节腔内注射10ml的非体外扩增间充质干细胞BMSCs, 治疗后1周,1个月,6个月检测结果。
评价指标:VAS评分 | WOMAC评分 | X射线检查
研究结果:6个月后,治疗组的膝关节疼痛显著改善,生活质量显著提高。
6
骨髓吸取浓缩物治疗膝骨关节炎的随机单盲实验
(Am J Sports Med, 2017)
参组人数:N = 25人
治疗方案:关节腔内注射5ml的骨髓抽取浓缩物以及10ml的PRP, 治疗后1周,1个月,6个月检测结果。
评价指标:VAS评分 | ICOAP评分 | 主诉
研究结果:注射骨髓提取浓缩物之后,膝关节疼痛明显改善,但是与盐水对照组比较无明显差异。
7
关节内注射ADSC治疗膝关节炎的临床试验
(Stem Cells. 2014)
参组人数:N = 18人
治疗方案:关节腔内注射体外扩增1*10^7(低剂量组),5*10^7(中剂量组),1*10^8(高剂量组), 治疗后1个月,6个月检测结果。
评价指标:VAS评分 | WOMAC评分 | MRI
研究结果:注射脂肪来源的间充质干细胞ADSCs后,膝 关节疼痛明显改善,软骨的体积与质量明显增加。

上图可以看出从左往右随着治疗的变化软骨逐渐得到修复
8
ADSC注射改善膝骨关节炎症状
(Arthroscopy, 2013)
参组人数:N = 18人
治疗方案:关节腔内注射1.18*10^6个脂肪间充质干细胞,连同PRP以及关节镜清扫术, 治疗后1个月,6个月检测结果。
评价指标:VAS评分 | WOMAC评分 | Lysholm评分 | MRI
研究结果:WOMAC、Lysholm和VAS评分在治疗后改善。随后的分析显示,临床和放射学检查的改善与注射的脂肪干细胞数量有关。
9
ADSC治疗膝骨关节炎的临床疗效及二期关节镜检查
(Arthrosc, 2015)
参组人数:N = 30人
治疗方案:关节腔内注射4.04*10^6个脂肪间充质干细胞,连同PRP以及关节镜清扫术, 治疗后3个月,12个月,以及两年检测结果。
评价指标:VAS评分 | Lysholm评分 | 关节镜检查
研究结果:大多数患者在最终随访中的所有结果测量均有显著改善。在第二次关节镜检查中,14个(总共16个)的关节软骨没有退化,只有5例患者的Kellgren-Lawrence评分恶化。

上图a为治疗前关节镜检查结果,可以看出软骨存在缺损。图b为脂肪间充质干细胞联合PRP治疗,图c为治疗后结果,软骨得到了修复。
10
关节镜下评价ADSC移植治疗膝骨关节炎软骨损伤
(Am J Sports Med, 2014)
参组人数:N = 35人
治疗方案:关节腔内注射3.8*10^6个脂肪间充质干细胞,治疗后约24-36个月检测结果。
评价指标:IKDC评分 | 关节镜检查 | 主诉
研究结果:ADSCs治疗后能够显著改善膝关节骨性关节炎,BMI越高效果越差。

上图中A-C为51岁男性膝关节镜,D-F为54岁女性膝关节镜。A/D为治疗前,白色示意软骨,浅黄色示意裸露的骨。B/E为间充质干细胞注射。C/F为治疗后的关节镜检查。
11
髌下ADSC治疗膝骨关节炎
(Knee, 2012)
参组人数:N = 25人
治疗方案:关节腔内注射1.89*10^6个脂肪间充质干细胞、PRP以及联合关节镜清扫,治疗后约3个月,16个月检测结果。
评价指标:VAS评分 | Lysholm评分 | X射线
研究结果:在ADSCs治疗后,疼痛显著减轻,膝关节功能改善。
12
膝关节内注射ADSC(SVF)和PRP治疗骨性关节炎
(J Transl Med, 2017)
参组人数:N = 10人
治疗方案:关节腔内注射脂肪来源基质成分ADSVF和PRP,治疗后1周,1月,6月,1年,1.5年,2年检测结果。
评价指标:WOMAC评分 | MRI
研究结果:治疗后,2年后WOMAC评分也得到改善。6分钟内步行距离也显著增加。60%的病人的软骨体积增加。

如上图所示,左图为治疗前,右图为治疗后,白色“+”处示意软骨增厚。
13
ADSC治疗严重膝骨关节炎Ⅰ期剂量递增试验
(Stem Cells Transl Med, 2017)
参组人数:N = 18人
治疗方案:关节腔内注射2*10^6(低剂量)、10*10^6(中剂量)、50*10^6(高剂量)个脂肪间质基质细胞SVF,治疗后约6个月检测结果。
评价指标:VAS评分 | WOMAC评分 | Lysholm评分 | MRI
研究结果:在ADSVF治疗后,疼痛显著减轻,没有发现不良反应。

上图是治疗前后的核磁对比,如之前的一样,颜色越蓝,代表软骨质量越好。可以看出治疗后软骨质量明显提高。
14
关节镜下注射SVF注射治疗骨关节炎微骨折的临床观察
(Stem Cells Transl Med, 2016)
参组人数:N = 30人
治疗方案:关节腔内注射1*10^6个ADSCs混合SVF以及PRP,治疗后约6个月,12个月,18个月检测结果。
评价指标:VAS评分 | WOMAC评分 | Lysholm评分
研究结果:治疗组与对照组比较,WOMAC评分降低,VAS和Lysholm评分更高,表示膝关节疼痛和功能均得到改善。
15
ADSC与BMSC在体外骨关节炎模型中软骨生成能力的增强
(J Cell Physiol, 2016)
参组人数:N = 6人
实验方案:2.5*10^5个ADSCs与BMSCs在1ml培养基中培养,1月之后观察。
评价指标:软骨特异性基因 | 炎症因子表达
研究结果: 脂肪来源的间充质干细胞ADSCs比骨髓来源的间充质干细胞BMSCs更具有软骨分化的能力。
3
小结与展望
国内,用于治疗膝骨关节炎的细胞产品“CBM-ALAM.1异体人源脂肪间充质祖细胞注射液”已经获得IND批件,直接从Ⅱ期临床试验开始。
国际上,获批用于治疗膝骨关节损伤的治疗相关的细胞产品,包括:
-
比利时TiGenix公司开发的产品ChondroCelect(自体软骨),用于膝盖软骨修复。
-
韩国Medi-post 公司开发的产品Cartistem(脐带血间充质干细胞),用于治疗退行性关节炎和受损的膝盖软骨。
国内外大量临床前研究和临床研究已经证实,脂肪、脐带、脐带血和骨髓等组织来源的间充质干细胞(MSCs)在膝关节炎治疗中是安全和有效的。膝关节炎也因此成了干细胞走向临床应用的重要突破口之一。
作为干细胞应用的理想种子细胞,间充质干细胞来源非常广泛。因其安全性及有效性也已有广泛的临床研究支持,其新药研发临床试验和临床研究也一直备受瞩目。
相信不久的将来,间充质干细胞将作为药品正式进入临床应用,不仅可以改善膝关节炎患者的生存质量,整个再生医学产业也将迎来巨大的机会。
间充质干细胞治疗糖尿病足溃疡,大有可为
相关科普:
如何看待间充质干细胞治疗的安全性问题?
如何看待微环境对间充质干细胞治疗的影响?
如何看待“干细胞治疗卵巢早衰”?
如何看待“PRP与干细胞的联合使用”?
如何看待干细胞微环境影响干细胞再生能力?
袁宝珠:对间充质干细胞是否姓“干”的若干思考‘
间充质干细胞治疗糖尿病足溃疡,大有可为
间充质干细胞有望修复半月板损伤?
间充质干细胞与移植物抗宿主病
间充质干细胞与人类软骨再生
— END —
干细胞者说
- 科普 情怀 责任 -