爱上邵阳客户端3月26日讯(通讯员 李文娟 孟天笑)近日,邵阳首例后腹腔镜保留肾单位手术患者在院泌尿外科顺利出院,这标志着该院泌尿外科在腹腔镜技术的重大突破,再次填补了邵阳在该技术领域的空白。
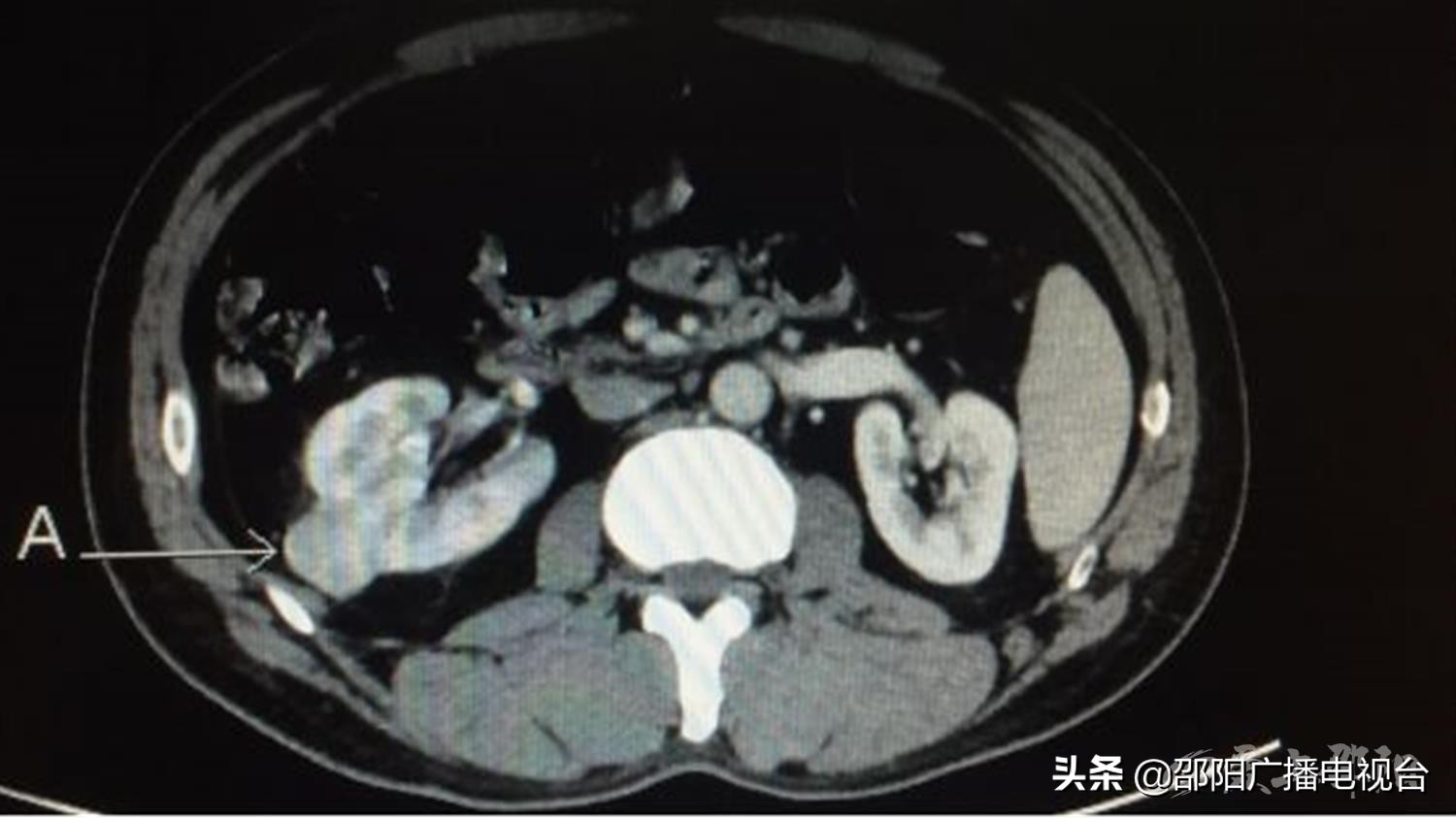
前段时间,王先生体检时超声发现右肾占位,来到我院泌尿外科治疗。术前CT提示右肾占位(26×28mm),考虑恶性肿瘤可能性大。手术团队根据术前检查准备了经腹腔及经后腹腔两套手术方案,科主任龙永福教授结合肿瘤位于背外侧的特点,认为后腹腔镜保留肾单位手术相较经腹腔途径更加直接和简易。
完成ERAS(加速康复外科)术前准备后,在龙永福教授指导和麻醉科及手术室密切配合下,由王建峰医师主刀完成了邵阳首例“后腹腔镜保留肾单位手术”。

肿瘤(26×28mm)位于右肾背外侧
手术中发现肿瘤位于右肾背外侧,充分显露肿瘤后用血管夹阻断肾动脉,由浅入深逐步将肿瘤完整切除并缝合右肾集合系统及实质,右肾热缺血时间约25分钟,术中出血少于30ml,术后病理肾嫌色细胞癌。术后按照ERAS,患者早期进食、拔除尿管及引流管,术后第2日侧卧位和半坐位,术后第5日下床活动并顺利按时出院。

邵阳市首例后腹腔镜保留肾单位手术患者出院时,与邵阳市中心医院泌尿外科主任龙永福教授(左1)、王建峰医师(右2)及护士长郑淑萍(右1)合影
龙永福教授介绍,肾细胞癌的发病率占成人恶性肿瘤的2%~3%,大部分为肾透明性细胞癌,在泌尿生殖系肿瘤中仅次于膀胱癌,居第2位。
由于肾癌发病较为隐匿,常因体检或其他疾病诊治过程发现,肾癌对放疗、化疗、靶向治疗等不敏感,其首选治疗方法是手术及远期随访,微创技术具有明显优越性。然而,传统腹腔镜多采用根治性肾切除术,患者术后生活质量欠佳,且不适合孤立肾患者。近年来,对于对肿瘤直径≤4cm的肾癌患者,
推荐保留肾单位手术(nephron sparing surgery, NSS),特别是后腹腔镜保留肾单位手术(RLPN),能够完整切除肾肿瘤,保留正常的肾脏组织,减轻肾功能损伤,减少对腹腔脏器的干扰及术后并发症,逐渐成为局限性肾癌的首选手术方式。
但RLPN术者面临后腹腔空间局限,肾脏热缺血时间不能超过30分钟,缝合技术要求高。因此,术者需要具备娴熟的腹腔镜操作技术及丰富的手术经验,这也是邵阳以往长期未能开展该手术的原因。
今年以来,该院泌尿外科不断填补邵阳腹腔镜术式空白,连续成功开展基于层面外科的腹腔镜*丸睾**下降固定及对侧开放鞘状突(PPV)环扎术、经腹腔途径腹腔镜肾盂离段成形术和腹腔镜右侧输尿管及回肠松解、狭窄段切除并端端吻合术。
同时,主动将ERAS理念运用于围手术期护理,有效促进了术后胃肠道功能早期恢复,缩短了住院时间,减少了住院费用,提高了患者满意度。