本文转自公众号:保肛专家傅传刚
专家简介:傅传刚,教授、博士生导师、主任医师,同济大学附属东方医院胃肠肛肠外科主任。擅长结直肠癌的诊断、传统开腹与3D腹腔镜微创手术以及综合治疗,尤其在低位直肠癌的保肛和局部晚期、复发性结直肠癌的手术方面成绩卓越,在国内外具有广泛影响。在国际上首创“直肠拖出式经括约肌间吻合器切除吻合术(PISTA)”,”3D腹腔镜结直肠肿瘤腹部无切口切除术”等,使结直肠手术更加微创,术后快速康复,低位肠癌保肛率明显提高,绝大多数患者避免做永久性人工肛门,术后局部复发率明显降低。另外在结肠镜诊断和治疗方面有较深的造诣。是国内PPH手术治疗重度环状脱垂痔的开拓者之一;在慢性顽固性便秘、直肠脱垂等疾病的诊治方面有较深的造诣。
什么是手术后肺炎?手术后肺炎是指由于手术后肺通气不足、膈肌活动差、咳嗽反射受损或受抑制支气管痉挛和脱水,引起支气管分泌物滞留导致肺不张,进而发生肺部感染(肺炎)。目前术后肺炎缺乏统一的诊断标准。
国外常用的术后肺炎的诊断依据如下:
(1)起病于术后24小时;
(2)发热(体温≥38.5℃);
(3)外周血白细胞计数>10000/mm3;
(4)胸片和胸部CT示胸部斑片状阴影、肺不张和胸腔积液等;
(5)痰或气管吸出物培养出细菌。术后肺炎是最常见的术后院内感染,占术后院内感染总数的42.9%。术后肺炎的发生率与患者曾接受的手术类型有关,据统计,上腹部手术后肺炎的发生率约为28%,下腹部手术后肺炎的发生率约为11%。

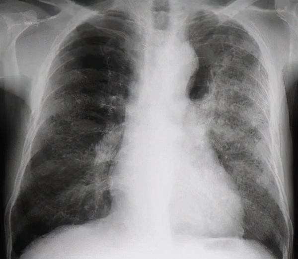
图-1:胸片示双肺可见斑片状阴影,左肺尤为明显

图-2:胸部CT示右下肺炎性物质积聚引起肺不张,周围可见胸腔积液
大肠癌手术为什么容易出现肺炎?
1. 呕吐与误吸:大肠癌手术需要行气管插管全身麻醉和留置鼻胃管。在全麻、意识受损、气管插管或鼻胃管留置等情况下,误吸率达10%,进而诱发吸入性肺炎。
2. 年龄:大肠癌患者以老年人为主,老年患者一般基础疾病多,全身营养情况较差,器官功能减退。
3. 手术部位和手术时间:上腹部手术后肺炎发病率最高,这可能与手术部位靠近肺部,咳嗽时切口疼痛的发生率更高,胸腔积液的发生率更高有关。手术历时越长,术后肺炎发病率越高。
4. 长期卧床:大肠癌术后,患者可能需要较长时间卧床,使呼吸道分泌物难以咳出,积聚在中小气道内,成为细菌的良好培养基,极易出现肺部感染。
5. 免疫功能低下:恶性肿瘤的患者,全身免疫系统已处于异常状态,手术的打击进一步使自身防御机制受损。
6. 其它因素:包括慢性支气管炎、肺气肿、慢性阻塞性肺病;吸烟;免疫因素;肺不张;糖尿病;心功能不全,肥胖,术中肺挤压及术后住院时间或重症监护时间,医源性因素(如术前放、化疗及各种侵入性操作更增加了发生感染的风险)等。
术后的肺炎应当如何预防?
术后肺炎主要发生在中老年
尤其是既往有呼吸系统基础病变、术后长时间卧床、咳痰不畅的患者。因此术前应对患者呼吸系统情况进行详细了解及评估,指导患者进行呼吸锻炼,并采取相关手段进行预防。有吸烟、急慢性呼吸道感染、慢性支气管炎、肺气肿等病史的患者,术前应戒烟、进行呼吸功能锻炼,并有针对性进行以控制感染、解痉平喘、化痰和支持疗法为主的综合性治疗,达到满意的肺功能状态再行手术。一般经过1~2周的准备,可有明显效果,治疗前后应进行肺功能检查对照。内科综合性治疗应持续到术中和术后。
1、戒烟。据统计吸烟病人术后肺炎的发生率约为非吸烟者的4~6倍。吸烟使小气道阻力增加,肺免疫功能降低。长期大量吸烟者,常伴有慢性支气管炎和肺气肿等。
有报道术前戒烟6~8周,呼吸道纤毛粘液转运系统功能改善,术后肺炎明显减少。
2、呼吸功能锻炼。术前教会病人深呼吸、咳嗽排痰,可降低气道阻力,减少感染机会,增加呼吸肌力,是防治术后肺炎的有效方法。方法是深吸气至肺总量,屏气3~4s后连续咳嗽3次将气呼出,必要时辅之以翻身拍背、抗感染、舒张支气管、化痰等疗法。吹气球也是一种比较简便的锻炼呼吸功能的方。
3、半卧位:术后患者在允许情况下应采取半卧位(头部抬高30°~45°)以减少误吸。
4、早期翻身、拍背、咳嗽:术后早期协助患者定时翻身、给予患者拍背及鼓励咳痰,尽可能避免积坠性肺炎的发生。
5、及早治疗肺部感染。一旦发生呼吸道感染,应及时做痰培养及药敏试验,同时针对呼吸道常见菌群进行经验性用药,必要时根据药敏结果调整药物。并给予解痉、平喘和化痰的药物。合并慢性支气管炎、肺气肿或哮喘病人有支气管痉挛时,主要使用茶碱类配合溴化异丙托品和(或)β2受体激动剂吸入,哮喘病人还应同时使用糖皮质激素吸入。吸入剂有不同的给药方法,包括定量吸入器(MDI)与经贮纳器吸入、干粉定量吸入和水溶液雾化吸入,可酌情选用。痰液粘稠者,可同时用盐酸氨溴索口服或雾化吸入、静脉注射。