导语
一位朋友通过微信咨询:我的叔叔是一名50多岁的公务员,以前从没有得过肝炎,但在最近的一次体检中,B超检查报告清楚地写着“肝内小结节性病变”这个会不会是肝癌早期的意思啊?
这种咨询不是个例,随着经济发展和人们健康意识的增强,健康体检已经可以普及到很多。所以经常有不少因为体检发现肝脏结节的人来门诊咨询,搞不懂影像学描述的肝内结节到底要不要紧?会不会是肝癌?需不需要治疗呢?也有些人自己跑到百度上去搜索,结果五花八门,查来查去,越查越害怕,越查越没底。
这里,我作一个解释:肝脏结节或者肝脏占位性病变是医学影像诊断中的专门名词,通常出现在B超、CT、磁共振等影像学检查结果中,通俗理解就是发现肝脏有一个“小东西”,跟正常组织不一样,这只是一种描述性的诊断,并不是肝癌的代名词。

1 肝脏结节都包括什么呢?
它是一个统称,可分成良性和恶性两类。
(1)良性的结节
常见的有肝囊肿、肝血管瘤、局灶性结节增生等。它们一般生长缓慢,对人体健康来讲影响小,无需特殊处理,一般只需要定期随访即可。但是如果过大的结节产生压迫症状,可以考虑手术治疗。

(2)恶性的结节
也是我们常称的恶性肿瘤。主要包括肝细胞性肝癌、胆管细胞性肝癌、胃肠道、胆囊、乳腺等转移性肿瘤。恶性肿瘤呈浸润性生长、生长迅速、容易发生转移,对生命危害大。发现后一定要及早治疗,不能耽误。

2 肝脏结节都是怎么发现的?
(1) 筛查手段
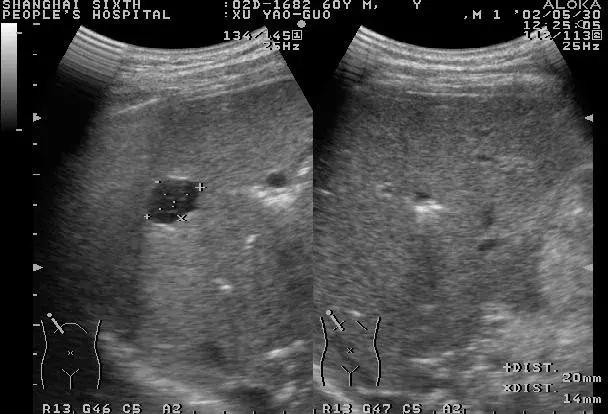
超声检查是肝脏影像学检查首选的方法,具有价廉、便捷、无创等优点。常规超声能显示肝脏大小形态,肝内实质结构、管道系统、血管走向与分布,明确有无肝脏结节、具体的大小与部位、初步鉴别结节的良恶性,适用于常规体检和结节的定期复查。

值得一说的是,随着超声技术的发展,彩色多普勒超声可以诊断直径小于1cm的病变,在有经验的单位,准确率可达90%以上。
(2) 进一步确诊手段
发现肝脏结节后,首先要定性论断,即确定病人肝脏占位的性质,是良性还是恶性。
对于B超不能明确诊断的,建议做增强CT扫描或MRI检查,对于高度怀疑肝细胞癌的可行“肝动脉造影”检查。
各种影像学检查不但可以配合定性论断,还可以进行定位论断,也就是进一步确定肝脏结节在肝脏上的位置、大小、数目及其与周围组织的关系,为进一步治疗方案提供依据。
同时还需要检查肿瘤标记物(重点是甲胎蛋白)的含量,必要时可进行多次检测,并配合肝功能化验、肝炎病毒指标检测。
3 肝脏结节会有症状吗?
肝脏的良恶性结节一般来讲都是没有什么明确症状的,只有当这些结节增长很大的时候才会有右上腹的不适,所以单纯靠主观症状无法判断结节的好与坏。
而一旦出现肝区胀痛、右上腹有肿块、不明原因的消瘦、腹胀、腹泻、间断性发热、乏力等明显症状才来就诊,多已属于晚期。
所以定期体检非常重要,诸如“我没有什么不舒服,就不需要检查”的想法要不得。

4 发现肝脏结节后该如何办?
发现肝脏肿块后,首先了解是否有腹痛、腹胀、乏力、纳差、体重减轻、大便习惯改变等症状。既往有无肝病史,饮酒史,输血史,女性有无口服避孕药物的情况,既往家族有无肝癌病史。
进行体格检查,了解有无皮肤、巩膜黄染,肝大、脾大、腹水征,腹壁静脉曲张,下肢浮肿等情况。
进行抽血检查,包括血常规、肝功能、凝血功能、肝炎传染病指标、肿瘤标志物(甲胎蛋白AFP、癌胚抗原、CA199)等。
最后,应该由肝胆外科医生合理安排影像学检查,力争尽可能确诊结节的良恶性质。
5 肝脏结节该怎么定期复查?
如果影像学检查不能明确诊断,建议定期3到6个月再次行影像学检查,并再次行肿瘤标志物,肝功能等检查,观察肿瘤有无增大,肿瘤标志物AFP是否上升等。

如果高度怀疑肝脏恶性肿瘤,而常规影像学检查难以明确,建议行“穿刺活检”,必要时做腹腔镜下肝活检。如果肿瘤长在肝脏边缘,或长在肝脏重要血管旁(预计继续增长恐切除困难),恶性肿瘤难以排除的可直接手术切除或射频消融后随访。
特别是现在腹腔镜手术技术已经非常成熟了,一般这种小的肝脏结节都有机会可以用腹腔镜切除,并且达到活检的目的。

6 哪些人的肝结节容易恶变?
恶性肿瘤的发生通常有一定的肝病基础。肝癌家族史、慢性乙肝患者、肝硬化患者、既往有肿瘤病史都是高危人群,需要定期去医院复查。
总之,对于体检报告上描述的肝脏结节,患者还需要到医院再查查。明确良恶性后,区别对待:良性结节定期查,恶性结节早治疗。

END