
作者|张娟, 孙丽, 高润平
(吉林大学第一医院肝胆胰内科)
点评者|韩英
(空军军医大学附属西京医院)
一、病例介绍
患者男性,52 岁,因“皮肤、巩膜黄染7 天”入院。病程中无右上腹痛和体重减轻。既往史:类风湿关节炎病史2 年,否认肝炎病史,否认吸烟、酗酒史及特殊药物服用史。
辅助检查:TBil 344.5 μmol/L,ALP 300.5 U/L,AST 658.7 U/L,ALT 646.3 U/L。甲、乙、丙、戊型肝炎病毒抗体均阴性。EB 病毒、巨细胞病毒测定结果阴性。ANA 系列:抗平滑肌抗体(抗-SMA)、抗肝肾微粒体抗体(抗-LKM-1)、抗肝细胞胞质1 型抗体(抗-LC1)、抗肝- 胰抗体/ 抗可溶性肝抗原抗体(抗-SLA/ 抗-LP)均阴性。类风湿因子202 IU/ml(正常值< 15 IU/ml),CA19-9 671.92 U/ml(正常值<37 U/ml)。MRCP 扫描:肝内胆管扩张及肝门区胆管显著狭窄(图1-1A)。腹部CT 平扫:肝内胆管扩张,胆总管上段梗阻(图1-1B、C),邻近胆总管壁增厚(见图1-1C),提示肝门胆管癌(HCCA)可能。

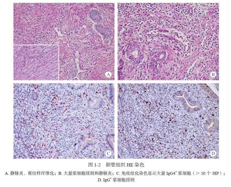
临床考虑为肝门占位性病变(肝门胆管癌可能性大)。入院第13 天,患者于肝胆胰外科行左肝叶、胆囊、胆总管切除术及右肝管空肠吻合术。送检胆管组织HE 染色显示静脉炎、席纹样纤维化(图1-2A)、大量淋巴浆细胞浸润和静脉炎(图1-2B)。免疫组化染色显示大量IgG4+ 浆细胞(> 50 个/HP)(图1-2C)和IgG+ 浆细胞浸润(图1-2D)。

IgG4+/IgG+ 浆细胞> 40%。送检左肝组织,HE 染色显示静脉炎和大量浆细胞浸润、界面炎(图1-3A、B),符合自身免疫性肝炎(AIH)组织学改变。免疫组化染色显示大量IgG4+ 浆细胞浸润(> 50 个/HP)(图1-3C)和IgG+ 浆细胞浸润(图1-3D),二者比值> 40%。

术后第15 天,血清学结果显示IgG4 13.40g/L(正常值0.03 ~ 2.01g/L)、IgG 27.2g/L。根据国际AIH 小组关于AIH 评分标准,该患者评分达17 分,可明确诊断为IgG4 相关性硬化性胆管炎(IgG4-SC)和IgG4 相关性自身免疫性肝炎(IgG4-AIH),遂给予泼尼松40mg/d 口服,4 周。患者皮肤、巩膜黄染和皮肤瘙痒症状消失。肝功能和CA19-9 降至正常范围。复查腹部CT 显示右肝管十二指肠吻合术后,肝内胆管正常(图1-4)。此后患者长期口服维持量的泼尼松(10mg/d)。随访6 个月期间患者病情无复发,无糖皮质激素不良反应。

二、临床诊治思维过程
IgG4-SC 是近些年才被逐渐认识的多器官受累的炎症- 纤维化疾病,常伴有血清IgG4 水平升高和以胆管壁大量IgG4+ 浆细胞浸润、闭塞性静脉炎、席纹样纤维化为特征的病理组织学改变,对糖皮质激素治疗反应好。
该病多见于中老年男性,男女发病率约5∶1,临床症状以梗阻性黄疸及上腹部不适为主。根据胆管狭窄的分布模式,可将IgG4-SC 分为4 型:1 型,仅有肝外胆总管胰腺段狭窄;2 型,肝内胆管和(或)肝外胆管弥漫性多部位狭窄;3 型,肝门区胆管和胆总管胰腺段狭窄;4 型,仅有肝门区胆管狭窄。
3 型和4 型IgG4-SC 在临床表现和影像学改变方面与HCCA 非常相似,当CA19-9明显升高时,两者难以鉴别。正常胆管上皮细胞可表达少量CA19-9 并分泌到胆汁中,血清CA19-9 正常值< 37U/ml。胆管梗阻、胆管上皮损伤或胆管内压力升高均可引起血清CA19-9 升高。在IgG4-SC 和胆管癌的鉴别诊断中,CA19-9 水平没有明确的临界值,但当胆道梗阻解除后血清CA19-9 水平保持不变或仍> 90U/ml 时,提示恶性胆道疾病。
AIH是以肝脏慢性炎症和免疫学异常为主要特征的一种器官特异性自身免疫性疾病,其病因和发病机制尚不明确,女性易患,常伴有血清转氨酶升高、高丙球蛋白血症、血清多种自身抗体阳性,免疫抑制治疗有效。其典型组织学特征包括界面炎、汇管和汇管周围区浆细胞浸润、玫瑰花结形成。
1990 年,Czaja 等首次提出了自身抗体阴性AIH 的概念。据报道,在中国这种自身抗体阴性的AIH 占AIH 的10.2%。IgG4-AIH是以血清IgG4 水平升高、IgG4+ 浆细胞浸润为特征的AIH。2007 年Umemura 等首次报道了1 例IgG4-AIH,该病例AIH 积分为18 分,符合AIH 诊断,同时伴有血清IgG4升高,以及肝组织内大量IgG4+ 浆细胞浸润。然而,IgG4-AIH 是IgG4 相关性疾病的肝脏表现还是AIH 的一个亚型目前尚不清楚。
本文报道的患者表现出经典AIH 的典型组织学特征,但AIH 相关自身抗体阴性,同时伴有血清IgG4 水平升高及受累胆管和门管区大量IgG4+ 浆细胞浸润,IAIHG 评分达17分,既符合自身抗体阴性AIH 诊断标准,又符合IgG4-AIH 和IgG4-SC 诊断标准。
有研究表明:由于IgG4 和Fc 受体及补体的亲和力很低,几乎不形成免疫复合物,所以其启动免疫反应的能力有限。自身抗体阴性IgG4-AIH 的存在可能有如下的解释:①存在尚未被发现的或未被检测到的AIH 自身抗体;②常规自身抗体表达受抑制或表达延迟而未被检测到,具体发病机制仍需进一步研究。
三、诊疗体会
本例患者以黄疸为首发症状,入院后影像学检查提示肝门胆管占位性病变,继发肝内扩张,结合CA19-9 显著升高,考虑HCCA 可能性大,遂行外科手术治疗。然而结合术后胆管、肝脏病理及相关免疫血清学检查结果完全符合IgG-SC、IgG-AIH 诊断标准,后期经口服糖皮质激素治疗,患者临床反应良好。
作者认为,临床上遇到肝门胆管阻塞性疾病,特别是中老年男性患者要警惕IgG4-SC。要常规检验血清IgG4 水平,同时要结合患者影像学、其他血清免疫学指标、其他器官受累表现和对激素治疗的反应,进行综合评估。
即使行外科手术,术中也应进行快速病理检查,减少IgG4-SC 的漏诊。类固醇激素是治疗IgG4 相关性疾病有效的措施,首选泼尼松龙,治疗剂量为30 ~ 40mg/d,强化治疗4 周,以后按每周递减10% 的速度,维持剂量为5 ~ 10mg/d。大部分患者对激素治疗效果良好,通常激素治疗1 周可使黄疸及肝功能明显改善,治疗4 周胆管狭窄消失或减轻。但也有些患者激素治疗后胆管仍狭窄,部分虽经激素治疗有效但停药或减量过程中复发,所以在类固醇激素治疗过程中应监测血清IgG4 水平及相关化验指标。对于激素治疗无效或效果不明显的患者,使用其他免疫*制剂抑**,可明显改善IgG4-SC 的炎性活动度。
四、专家点评
目前关于IgG4 相关疾病与AIH 联系的报道较为罕见。我们知道,在AIH 诊断标准中包括血清IgG 水平升高,而Umemura 等发现有些AIH 病例中还存在血清IgG4 水平升高,或肝脏组织中IgG4+ 浆细胞浸润,由此提出“IgG4 相关AIH”的概念。IgG4 相关AIH 的临床病理表现与AIH 相似,但同时具有较高血清IgG4 水平及肝脏组织中大量IgG4+ 浆细胞浸润。
当AIH 患者血清中IgG4 > 135mg/dl 并且肝活检每个高倍镜视野IgG4+ 浆细胞> 10 个时,可诊断为IgG4 相关AIH,但也有学者认为每个高倍镜视野IgG4+ 浆细胞> 5 个即可诊断。
Amarapurkar 等的小样本研究发现,IgG4 相关AIH 组的患者年龄明显小于AIH 组,血清中ALT及AST 水平也高于AIH 组,但两者组织学严重程度无明显差别,且相比经典的AIH,IgG4 相关AIH 对激素治疗反应同样较好。此外,IgG4 相关AIH 患者也可合并其他IgG4 相关疾病,已报道的如自身免疫性胰腺炎、IgG4 相关肺部结节及胸膜病变,包括本例报道的IgG4 相关性胆管炎也属于此类情况。通过这些例子我们认为,在IgG4 相关疾病中,肝脏也是可能受累的器官,其病理改变除了IgG4 相关性胆管炎的肝内外胆管受累之外,还可以有界面炎、汇管和汇管周围区浆细胞浸润等表现。
总的来说,IgG4 相关的AIH 目前报道较少。那么,伴有IgG4 升高的AIH 是属于AIH 的一个类型或是IgG4 相关疾病的肝脏表现,其疾病间的联系和确切的临床意义等,还有待于进一步的观察研究。
以上病例摘自《肝脏疾病疑难与经典病例(第四辑)》
公众号“临床肝胆病杂志”首发