很多小伙伴有过这样的经历:牙疼的翻天覆地、彻夜难眠,心想“一定要找个时间去看牙医!”
但一不疼了又想:“看牙医好可怕,还贵,还是以后再说吧…”结果牙疼没拖好,反而变本加厉!牙疼得睡不着觉,似乎没有尽头了!只能鼓起勇气终于去做了补牙!

不能补牙原因有三
一是蛀牙出现疼痛,说明牙髓受细菌感染,可能已经引起牙髓炎,这时得进行根管治疗;
二是蛀牙面积过大,复合树脂补牙往往没效果,补完没多久容易掉。
三是蛀牙引起牙根发炎,牙龈上还会长脓包,医生会拍片检查症状。

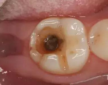
蛀牙到什么程度才能补牙,怎么肉眼辨别?
通常蛀牙有三种阶段,各位对号入座:
第一阶段:牙齿咬合面有黑线,大牙一般最常见,说明开始蛀牙了,牙釉质被细菌龋坏,但不痛不痒,会出现窝沟龋得及时补牙;
第二阶段:牙齿出现小黑洞,说明引起中度蛀牙,细菌腐蚀到牙本质,伴随着牙齿敏感,黑色腐败物质其实就是细菌的产物,这时候还可以再补牙;
第三阶段:牙齿超过一半烂掉,说明已经重度蛀牙,细菌伤及牙髓牙神经,还伴随着剧烈疼痛,牙神经病变这时得根管治疗处理,挽救伤痕累累的牙齿。


补完牙齿并不代表就能一劳永逸,没有好好保养牙齿,也是有可能再次脱落的!
小洞不补,大洞吃苦
俗话说:小洞不补,大洞吃苦。
蛀牙是牙齿健康的天敌,很多人从孩童时期就开始蛀牙,蛀牙不仅会导致牙齿疼痛而且长期蛀牙会龋坏牙齿,由浅入深的龋坏,牙齿里形成深深的牙洞,而此时只有及时的补牙才能防止蛀牙的进一步发展。
因此雅悦齿科小编提醒:补牙一定要趁早。

为何补牙要趁早
如果患了蛀牙(龋病)就应尽可能地早修补,因为龋洞经过修补后可以阻止龋病病变的发展,及早恢复牙齿的功能,保持牙列的完整。
若不进行及时治疗,病变就会越来越大,从浅龋发展到深龋,对冷热酸甜等食物刺激敏感;当损伤到达牙髓,引起牙髓炎,此时牙痛会十分严重。
当病变再进一步发展,会引起根尖炎、根尖周脓肿,甚至颌骨骨髓炎,牙齿脱落缺失。牙齿的龋坏、缺失,会影响咀嚼,加重胃肠负担,进而影响身体健康。

当然了,有人也说我补牙挺早的,但怎么后续还是会坏?这其实和医生的水平及患者日常的护理、习惯等有关的,并不能说明补牙补错了。
温馨提醒:
在日常生活中要注意口腔卫生,早晚刷牙,同时,应该定期看牙医,进行口腔检查和洁牙,及时去除牙菌斑和牙结石,减少牙菌斑和结石对牙齿的伤害。
如果觉得这篇文章不错,就请收藏或分享给好友吧。添加雅悦齿科为好友,学习更多爱牙护齿科学方法。公众号:yyck2001