以前我也经常也大家聊拇外翻的程度,也会依据拇外翻角度及合并症,把拇外翻大致分为轻中重度,到现在这个时候,我其实不是怎么主张把拇外翻来做分度了,因为不管多么大角度,只要没有合并多趾的并发症,基本都是一般的手术方案,当然,有的需要多个部位截骨,有的只是需要单根截骨就好了。
矫正拇外翻,恢复前足正常解剖结构和生理功能,大家好,我是专门做大脚骨拇外翻手术的李医生,欢迎来到我的频道,继续和大家分享我的大脚骨手术案例和拇外翻科普相关知识。
我们知道,有效的拇外翻手术需要做到第一跖列的截骨,一听说需要做断骨,需要截骨,很多朋友们就会有些害怕。截骨确实有一定的难度,尤其是正确的截骨手术。但如果不做截骨,或者你听说哪个医生有某种无需截骨的手术,要么是他做了截骨没有告诉你,要么就是他真没做截骨,如果不做截骨那这就是一个伪手术了。

拇外翻
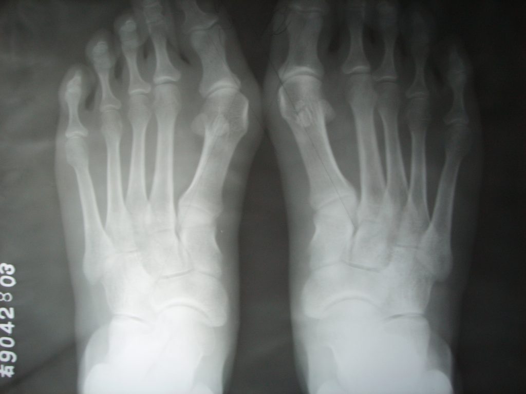
我们来看看轻度的拇外翻,临床上我们给许多轻度的拇外翻朋友们做过手术,也有人问:轻度拇外翻为什么也来做手术呀,这不是自找苦吃么?但其实对于拇外翻的困扰呀,拇外翻所带来的这个痛苦呢,只有拇外翻朋友们自己才明白。平时大脚骨局部的疼痛(拇囊炎的疼痛),穿鞋只能穿球鞋,穿宽松的,并不时尚的鞋子,运动后、穿紧致鞋子后的疼痛加剧等,都是拇外翻朋友们平时的苦恼。

拇外翻X光情况
通过影像学检查我们可以看到,其实类似这样的拇外翻并没有典型的骨赘形成,所以轻度拇外翻也不是单纯的把第一跖骨头给磨掉就行。和典型的拇外翻一样,如果想要有效矫正拇外翻,还是得做第一跖列的截骨,需要把跖骨和(或)趾骨给截骨,以此来达成有效矫正拇外翻的效果。
诚然,并不是每个拇外翻朋友都有条件来做手术,更不是每个拇外翻都需要手术。所以,如果你感觉现在自己拇外翻不算严重,然后你自己也不想做手术,那倒也不用太着急,平时注意穿鞋,尽量穿宽松的鞋子,如果可以,控制好体重,平时尽量少做剧烈运动、锻炼,跳舞等,少穿或者不要穿高跟鞋,这些都可能在一定程度上缓解拇外翻的快速发展。如果没有典型的不适,暂时不做手术也行;因为拇外翻而导致残疾不能走路的是很少见的,所以拇外翻并不是一个必须要做手术的疾病。

拇外翻手术
不过,拇外翻还是会随着年龄的增长而逐渐发展,当然,其发展还是较慢,如果你感觉拇外翻有发展,你想要追求更高品质的生活,你的时间条件和经济条件许可,那么更早手术矫正拇外翻,是更好的选择。
好了,今天关于轻度拇外翻改如何处理,以及轻度大脚骨是否需要手术,我就和大家分享到这里,觉得我的内容有用,请把我的内容转发给到身边有拇外翻的朋友,更多大脚骨拇外翻相关的问题,请在下方评论留言或者给我发私信。