自从上期的《警惕黑热病卷土重来!》发布之后,我们的咨询很是热闹:我儿子反复发烧会是黑热病吗?白蛉是什么?黑热病会人传人吗?……(新冠之后,群众对疾病的关注程度和科普素养绝对上了一个大台阶!)别着急,本期就把黑热病相关的常见问题一一为您解答。

什么是黑热病?
黑热病(kala-azar)又称内脏利什曼病(Visceral leishmaniasis),它是由利什曼原虫寄生人体或哺乳动物巨噬细胞引起的一种人兽共患寄生虫病。
黑热病只有我们省有吗?
利什曼病在世界上分布很广,黑热病是其中的一种,孟加拉、印度、尼泊尔、苏丹、埃塞俄比亚、巴西等是世界上流行较为严重的国家,而我国的利什曼病病例主要分布于*疆新**、内蒙古、甘肃、四川、陕西和山西六省。
得了黑热病会怎样?
长期不规则发热,脾、肝、淋巴结肿大和全血细胞减少性贫血是黑热病的三大症状,若不及时治疗,发病后1-2年常因病情恶化而死亡。
黑热病有特效药吗?
有特效药,葡萄糖酸锑钠(斯锑黑克)对绝大多数患者的治疗效果都非常好,所以只要早期诊断,正规治疗,大多预后良好。
黑热病会人传人吗?
黑热病是通过感染有利什曼原虫的雌性白蛉钉刺吸血传播的媒传寄生虫病(常见的媒传疾病还有哪些?疟疾,丝虫,登革热,黄热病,乙脑……)根据传染源不同,黑热病一般分为人源、犬源和自然疫源型,我省目前主要流行的是犬源型,即疫区通常犬的利什曼原虫感染率较高,并充当了主要的传染源(当然,身边绝大多数狗狗是健康的,请不要恶意伤害!)。
什么是白蛉?
白蛉(sand fly)成虫多为灰色,全身密被细毛,体长1.5-4.0mm,复眼大而黑,刺吸式口器较粗短,胸背隆起呈驼背状,翅狭长,停息时向后上方树立呈V字形,足三对,细长。

哪里会有白蛉存在?
白蛉的幼虫生活在土壤里,隐蔽、温湿度适宜、土质疏松且富含有机物的场所(如房屋、畜舍、厕所、窑洞、墙缝、洞穴等)适于幼虫孳生。成虫通常栖息于室内外阴暗、潮湿、避风的场所(屋角、墙缝、畜舍、地窖、窑洞、洞穴、桥洞、石缝、枯井等)。雌性白蛉多嗜吸人和哺乳动物的血。5-9月为白蛉的活动季节,6-7月是活动高峰,活动时间通常从黄昏到次日黎明。

▲白蛉适宜的栖息活动场所
怀疑得了黑热病怎么办?
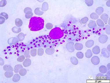
如果在流行季节被白蛉叮咬后出现发热,可以到医院进行血常规、B超等相关检查看是否符合黑热病的临床表现,但骨髓穿刺镜下发现利什曼原虫才能确诊该病。也可咨询省疾控中心寄生虫病所(0371-68089276 0371-68089220),对于疑似患者可进行黑热病抗体筛查以辅助临床诊断。

▲骨髓穿刺涂片镜下发现利什曼原虫无鞭毛体
如何预防黑热病?
预防措施主要是控制传染源、切断传播途径和保护易感人群。如及时治疗病人,加强对犬的管理,对病犬应做到早发现、早捕杀;消灭传播媒介白蛉;加强个人防护,防止白蛉叮咬等。在5-9月白蛉活动季节,建议居住于或进入有白蛉分布地区的人注意使用纱窗、蚊帐等防蛉设施,涂抹趋避剂等加强个人防护,对于病例比较集中的村落可实施溴氰菊酯滞留喷洒灭蛉,以有效阻断传播途径。
供稿 | 寄防所