病史:男性;年龄:60Y;主诉:患者头疼1月余,加重4天。
白细胞,红细胞升高,淋巴细胞减低。
图像:







影像描述:
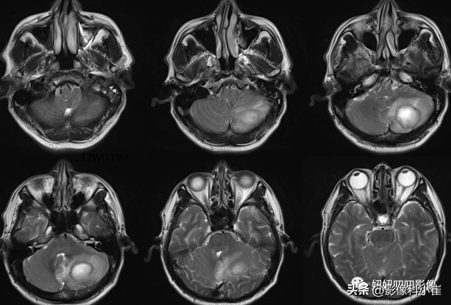
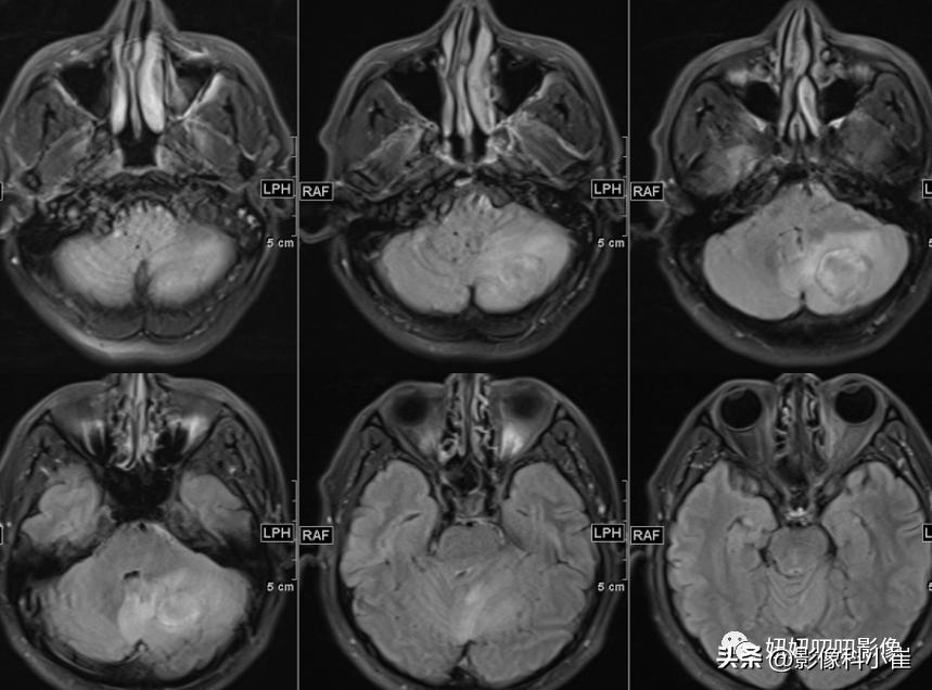
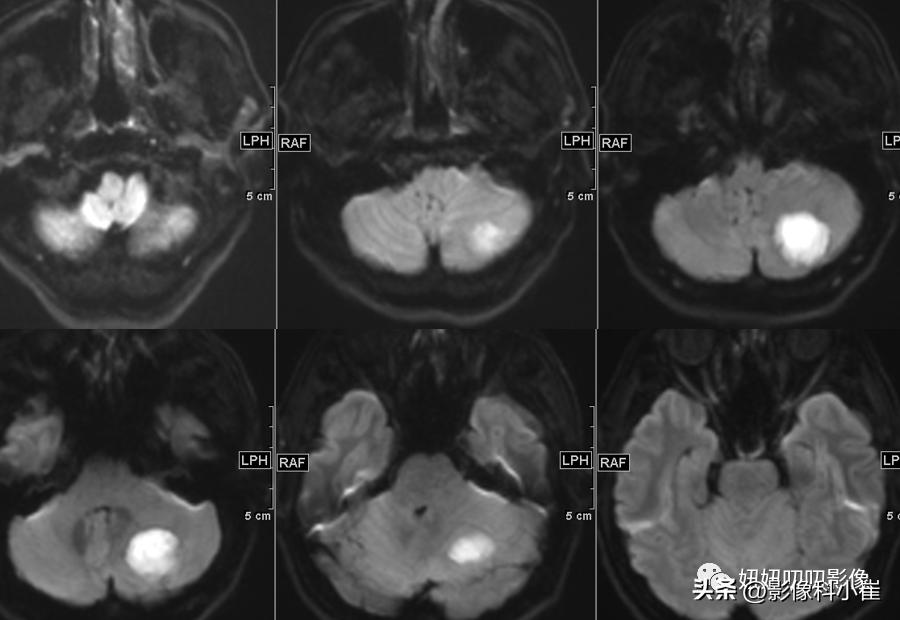
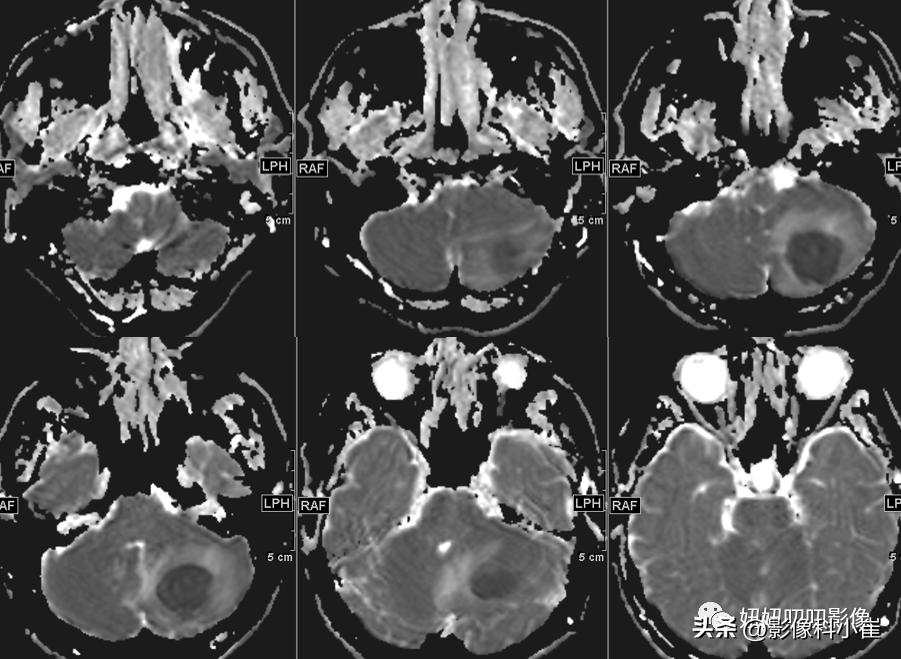
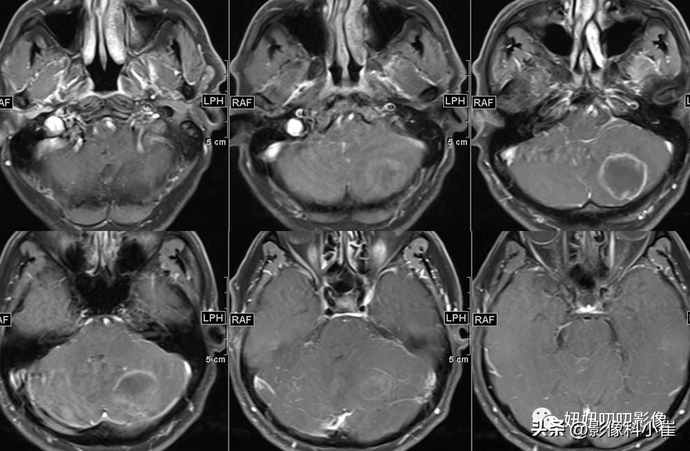
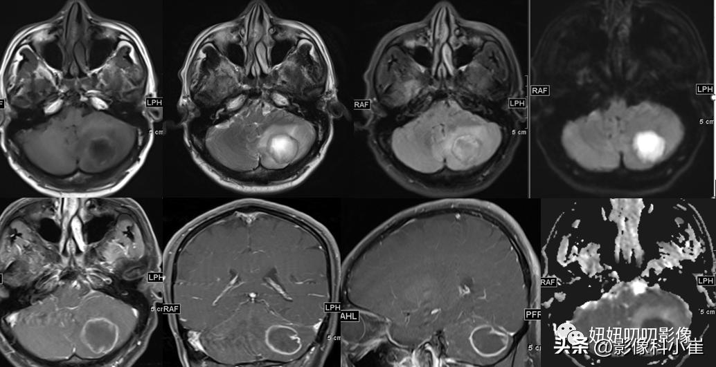
左侧小脑半球片状长短T1等长T2 异常信号,边界不清,大小约3.2X2.9X2.4cm,T2-Flair呈等高信号,周围见斑片状水肿带,DWI 示病变明显弥散受限,增强扫描可见不均匀环状强化。双侧放射冠、皮层下另见少许斑点状等长 T1、长T2 异常信号灶,T2 Flair 呈高信号,DWI未见明显弥散受限,增强扫描未见明显异常强化。第四脑室受压变窄,幕上脑室系统未见明显扩张。脑沟、脑裂略增宽。中线结构无移位。双侧筛窦、上领窦粘膜增厚。
学生发言:
看了看记录,这个早会我竟然没去,我干嘛去了?
这个病有意思,周边T2黑黑的,弥散受限这么明显,强化还是环形强化,从环形强化入手?转移,胶质母,脓肿。从弥散收入,淋巴瘤,脓肿,胶质母,T1还有出血,信号不均匀,边界清楚。其实看到出血觉得是胶质母,其实看看弥散的均匀度,和环状强化的边,并不是那么花环样子,加上白细胞高,可能还是脓肿。
老师总结:
病理是脓肿;
慢慢对比,看下边界,看下DWI的样子,自己慢慢品!!!

#打卡挑战局##妙笔生花创作挑战#