日本霓虹直通车近日发布文章,整理了部分在中国国内较难诊断的疑难杂症,其中就有PSC和PBC(原发性硬化性胆管炎(Primary sclerosing cholangitis PSC)、原发性胆汁性胆管炎(Primary biliary cholangitis PBC)均属于罕见病)。
文章称,我们在过去接触了大量来自中国的患者,其中有不少属于疑难杂症。此类疾病不仅对患者本人造成极大的困挠,对专业医生来说,由于接触得少,在临床工作中往往会出现漏诊、误诊可能。因此,我们将总结这一年中所遇到的各种疑难杂症,结合具体病例,为大家介绍日本关于此类疾病的认识,供各位读者参考。
原发性硬化性胆管炎(Primary sclerosing cholangitis PSC)、原发性胆汁性胆管炎(Primary biliary cholangitis PBC)均属于罕见病,如果不是本专业医生,大多不会对这两种疾病有太多认识。即使是专业医生,要轻易作出正确诊断也绝非易事。去年在很短的时间内正好接触了PSC和PBC两例患者,印象深刻。这两例患者,他们分别在国内各大顶级医院就诊,但诊断之路却颇为曲折,均有被误诊的情况。其中,最终被诊断为PSC的患者在这之前还曾一度被诊断为PBC.由此可见,PSC和PBC两者鉴别诊断亦是一大难点。鉴于此,我把这两种疾病放在一起,为大家介绍日本对于这两种疾病的认识。
【原发性硬化性胆管炎】
一、概述
PSC为肝内外胆管多发性、弥漫性狭窄致慢性胆汁淤积的肝脏疾病。组织病理学特征为胆管周围环状纤维化及炎症细胞浸润,典型病例呈向心性洋葱皮样纤维化改变。常伴有溃疡性结肠炎、克隆病等炎症性肠病。因进行性肝纤维化最终导致胆汁淤积性肝硬化,同时合并胆道癌者亦非罕见。2018年据日本厚生劳动省发布的《难治性肝胆疾病相关调查研究》显示,全国患者数约2300人,患病率为1.8/10万,男女比率1:0.9,好发年龄20~40岁及65~70岁。
二、病因
病因尚不明确,因常合并有炎症性肠病,推测大肠粘膜防御机能下降,细菌持续通过门脉系统侵入肝脏而致病可能,同时存在自身免疫异常、遗传学异常可能性。
三、症状
早期常无异常,或仅有肝功能异常,随病情进展,可出现黄疸、皮肤搔痒、及肝硬化、肝性脑病等症状。
四、诊断
厚生劳动省《难治性肝胆疾病相关调查研究》小组诊断标准(2016版)
1.大项目
A.胆道影像学检查
1)特异性胆管征象
2)非特异性胆管征象
B.持续性胆汁淤积相关血液检查异常
2.小项目
a.合并炎症性肠病
b.肝脏病理检查 洋葱皮样损害及小叶间胆管纤维化、慢性胆汁淤积表现(细小胆管增生及纤维化)

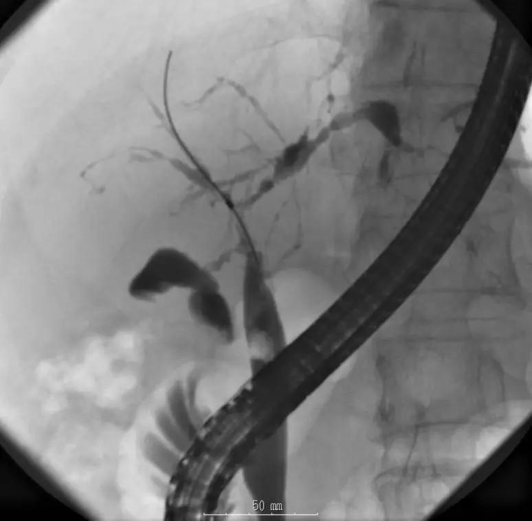
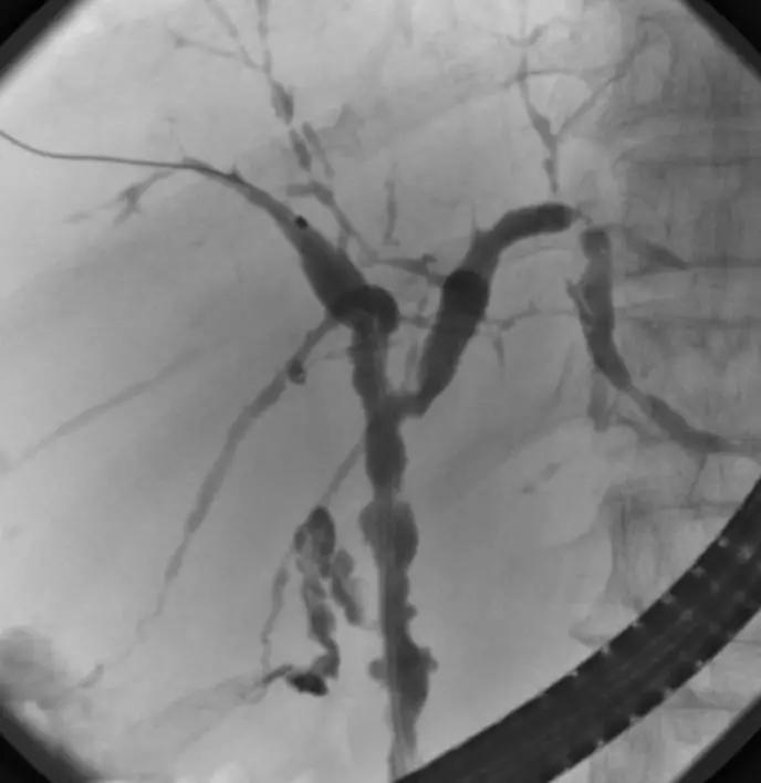
3、PSC影像学表现(日本厚生劳动省官网提供)

ERCP:胆管狭窄与扩张交互,呈串珠状改变


多发短小狭窄,胆管环状受累

PTCD:胆管呈边缘不整羽毛状

ERC:胆管壁呈憩室样突出
五、治疗
目前,尚未有对PSC取得较好疗效药物。临床常用熊去氧胆酸、苯扎贝特改善生化学指标;如出现胆管狭窄,可行内视镜下胆管扩张术;肝硬化、肝功能衰竭患者肝移植为唯一根治方法,但移植后PSC的再发率仍较高。
六、预后、护理、饮食、营养
PSC好发于年轻人,总体术后不良,但病情的进展个体差异较大,有诊断后急速恶化者,亦有数十年无明显进展者;早期无需限制脂质饮食,如出现黄疸等症状,进展至肝硬化期则需制定周详营养计划。